
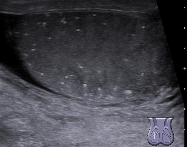
睾丸微石症
睾丸微石症是一种超声诊断的睾丸异常情况。可见于1.5%至5%的正常男性,而在生育力低下的个体中可高达20%。它是无症状的非进行性疾病。病因不明,但这种情况在一小部分人群里与睾丸癌有关,如隐睾,腮腺炎,不育和上皮内生殖细胞瘤样病变。典型的睾丸微石症被定义为在一个或两个睾丸里每视图中有五个或以上的回声灶,而有限的睾丸微石症被定义为仅有一个或以上回声灶,还达不到典型睾丸微石症的标准。在80%的情况下,两个睾丸都受到影响。
对于那些没有症状也没有睾丸生殖细胞肿瘤危险因素的个体,微石症无关于睾丸癌风险。然而,一个大样本的meta分析表明,对于与睾丸生殖细胞肿瘤危险因素相关的个体,根据活检结果,诊断睾丸生殖细胞肿瘤或睾丸原位癌的风险大约一共增加8至10倍。
对于有睾丸生殖细胞肿瘤或有这些危险因素的睾丸微石个体,是否应该进行睾丸活检以排除存在睾丸原位癌(也被称为不典型的导管内生殖细胞瘤形成),仍有广泛争议。此外,仍不清楚睾丸微石症的存在,是否会影响到对睾丸生殖细胞肿瘤个体进行辅助化疗或监测的决策。
对于睾丸微石症,不能治愈,也没有什么治疗措施,但是,可以通过超声来监测患者,以确保其没有发展出其它问题。对于那些没有症状、偶然被确定有睾丸微石症的人,建议重视睾丸检查随访。
睾丸微石症和睾丸癌之间有联系吗?
睾丸微石症是一种罕见的情况 – 睾丸超声检查时被诊断 --- 睾丸内一簇钙化。多项研究曾表明睾丸微石症和睾丸癌之间有关系。不过,目前还不清楚睾丸微石症是否是睾丸癌的独立危险因素。
大多数关于睾丸结石的研究所涉及的男性,都是因为某些其他原因才做了睾丸超声检查,如肿胀,疼痛或不育。在这些研究中,似乎睾丸微石和睾丸癌之间有很小的关联。然而,对没有症状的健康男性的研究表明,睾丸微石症比睾丸癌常见得多。结果,研究人员认为,对于其他方面健康的人,睾丸微石症不太可能会增加睾丸癌的风险。
如果您有睾丸微石症,你的病史可能会影响到医生的随访建议。例如:
•你是健康的,没有症状,也没有睾丸癌的危险因素。无需进行其它检查。然而,你的医生可能会建议你定期做睾丸的自我检查,如果你发现任何异常肿块就看医生。
•您有其他睾丸癌的危险因素。如果您有其他睾丸癌的危险因素,比如先前有睾丸未降(隐睾),你的医生可能会建议密切随访,每年一次睾丸超声扫描。
中山大学附属第一医院小儿外科
孙俊杰医生
Department of Pediatric Surgery, the First Affiliated Hospital of Sun Yat-Sen University
Dr. SUN Junjie