
小儿外科是一个很特殊的专业,很多人认知下的小儿外科,就是割割包皮、补补疝气、扯扯蛋(隐睾手术)这些“小儿科”手术而已。麻雀虽小五脏俱全,实际上,“小”儿外科也有“大”手术!
话说一个12岁半的女孩,因肥胖来内分泌科就诊,幸运的是遇到了一位好犀利的医生,隔着厚厚的肚皮,就发现了孩子腹部有一大肿瘤(备注:肿瘤与肥胖无关)。
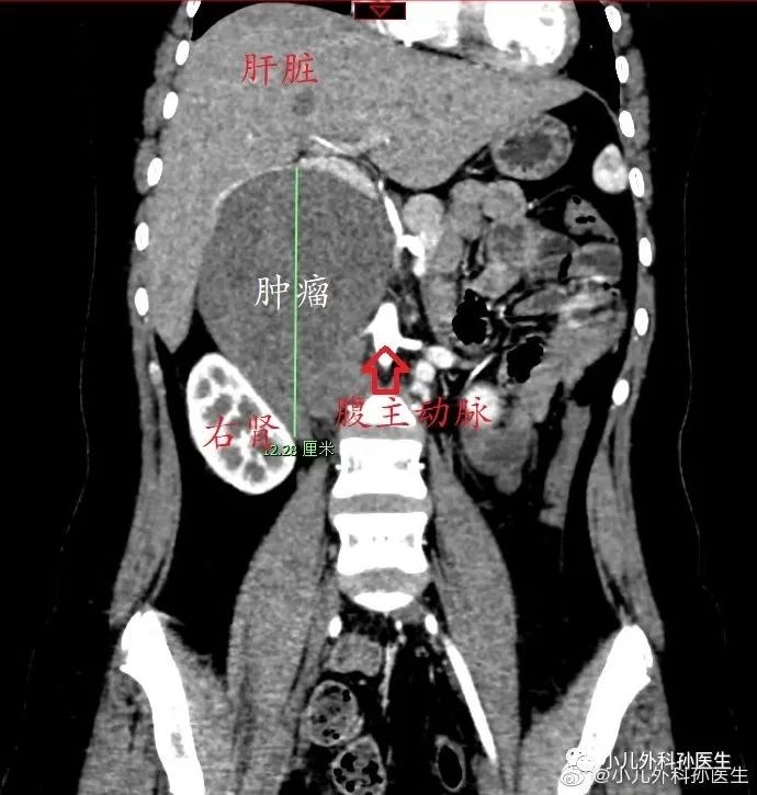
CT检查清晰显示了肿瘤及与周围组织器官的关系。肿瘤起源于腹主动脉和下腔静脉之间,这个位置的肿瘤首先考虑是来自于腹膜后的交感神经节。
手术前,我对着电脑屏幕一张张看CT片,追溯一条条大血管的来龙去脉,最终在放射科主任的各种影像重建下,基本上搞清楚了这些位置关系。
肿瘤把下腔静脉推到右侧腹,半包绕了下腔静脉、腹主动脉和右肾动脉,最严重的是完全包绕了左肾静脉,个个都不好惹。
全院肿瘤协作组的多学科会诊,认为这必是一场恶战,相关兄弟科室大力支持,ICU、血库、手术麻醉科、病理科
兄弟严阵以待。感谢!
穿上手术服,就像穿上了这套拆弹的防护装。
肿瘤像个巨大的石头,卡在盘根错节的血管之间,我带了三个助手,仿佛在到处是地雷的丛林中摸索突围。手术就像扒开泥土,显露树根并保护,发现石头依然纹丝不动,最终把石头敲成几块后才得以从树根的捆绑中取出。
足足八个小时的手术!台上四个人,包括一名女医生,中途都没有离开过一分钟,不吃不喝,更没有上厕所。
这种手术绝对堪比拆弹!看电影时,没有人会去揣摩拆弹兵的心理。但是在手术台上,我感受到了。除了勇气和责任,甚至还有怀疑人生。如果不慎引爆,主刀医生至少要灰头土脸。
如果可以,以后还是不要再扛着自己的脑袋做拆弹兵了,就割割包皮、补补疝气、扯扯蛋吧。
有惊无险,化险为夷,峰回路转,一切顺利。术后腹膜后引流管出血量很少,没有乳糜漏,复查CT显示两个肾脏工作良好,甚至连腹壁3.5cm厚的脂肪层也没有液化,十几厘米的切口也是甲级愈合。病理证实为:节细胞神经母细胞瘤,周围多发性淋巴结转移,恶性成分占1%,良性成分占99%。希望孩子后面在肿瘤科也一切顺利。
此处本应该有点掌声。外科医生很容易被所谓的成就感所满足。
儿童实体瘤
意外和癌症是导致儿童死亡的两大主因。
很多人很惊讶于儿童也会患癌症,大多人会误以为恶性肿瘤是只有中老年人才会得的病,这种观念导致了很多儿童肿瘤被过晚发现,从而错过了最佳治疗时间。
并非所有的肿瘤都是癌症。恶性的肿瘤才叫癌症。良恶性说的只是肿瘤细胞对机体的侵袭能力而言。癌症可以危及生命,这一点众所周知,其实,某些良性肿瘤也照样可以危及生命,比如位置不好,或者出现继发病。
习惯上,大家会把癌症分为两种主要类型:实体肿瘤和血液肿瘤。儿童血液肿瘤主要是白血病,虽然淋巴瘤也可以有实体,但仍归属于血液肿瘤科。
恶性实体瘤的两种主要类型是肉瘤和癌。肉瘤:是血管,骨骼,脂肪组织,韧带,淋巴管,肌肉或肌腱中的肿瘤。癌:是在上皮细胞中形成的肿瘤,在皮肤、腺体和器官内膜中都有上皮细胞。许多类型的实体瘤,无论是肉瘤还是癌,都经常需要通过手术治疗。
实体瘤约占儿童所有癌症的30%,早期往往都是隐匿起病。儿童中最常见的实体瘤是脑瘤。其他常见的还有:神经母细胞瘤、肾母细胞瘤、肝母细胞瘤、生殖细胞肿瘤、横纹肌肉瘤、视网膜母细胞瘤、甲状腺癌、骨肉瘤和尤因肉瘤等等。
儿童实体瘤的治疗分属于不同的专科,往往又需要多学科的协作。
早期诊断和规范治疗才是提高儿童实体瘤存活率的关键。
千万别给孩子省那点儿童保健检查的钱,特别是腹部超声,我个人推荐作为孩子常规的体检项目。给自己的孩子花点钱,没检出毛病,更开心。
我是孙医生,那个一直致力于把手术做到极致,一直致力于重建医患信任的Dr.SUN。
直接点下面的“阅读原文”进入医疗咨询!