
【Ankle-足底疼痛—足底筋膜炎】
足底跖腱膜炎(Plantar fasciitis):又称足跟疼痛综合征,它是引起足底及足跟痛区域常见的原因之一。
跖腱膜炎的发生可能有以下原因:
(1)步行时,跖趾关节背伸,牵拉跖腱膜,从而牵拉跟骨结节。随年龄增大、身体的肥胖,足部肌肉、韧带力量减弱,跖腱膜牵拉跟骨结节的力量增大,长期、反复牵拉使跖腱膜发生退变,引起疼痛。
(2)跖腱膜跟骨止点处的骨膜炎和跟骨内侧结节的微型疲劳骨折。
(3)穿软底鞋和过度运动也可能是跖腱膜炎的原因之一。
(4)此外,其他一些情况如胫骨内翻、跟腱挛缩、跟骨外翻、足旋前畸形,中、老年人的足部肌腱、韧带发生退变后足弓的改变等,都将使跖腱膜承受更大的应力,长期慢性的牵拉可使局部腱膜发生退变引发跖腱膜炎。
临床表现
1. 大部分足跟痛患者年龄为40~70岁,且通常正常足弓单侧发病。肥胖是易患因素之一,当患者体重过重时,症状更难控制。
2.跖腱膜炎的疼痛往往出现在睡醒后或者在长时间休息后负重的最初几步。疼痛可能在继续活动后减轻甚至完全缓解,但再持续长时间活动后又可出现或加重症状,个别患者症状可持续一整天直至晚上休息后才减轻。
3.足跟的内侧足底处的疼痛和局限性压痛(最常见的体征)
4.疼痛程度变化很大。轻度疼痛时可能会以感觉僵硬为主,如果损伤加重,疼痛会加剧,甚至出现“搏动性疼痛”以及“刀刺样”痛。
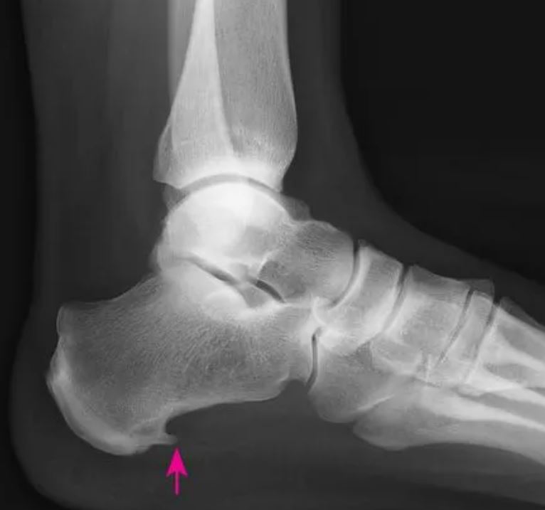
影像学检查
1.X线检查:多无阳性所见,部分患者可见跟骨结节跖侧有骨刺。
2. MRI检查可见跖腱膜增厚、水肿。MRI可清楚地显示软组织与骨性结构,可以有助于不典型足跟痛或顽固性足跟痛的诊断。
治疗
包括保守治疗+手术治疗
保守治疗:内服外用消炎止痛药(外用:扶他林乳膏、贴膏; 口服:西乐葆、双氯芬酸钠缓释片等;中药类型的消炎止痛药物)、温水或中药泡脚、局部按摩理疗、拉伸练习、筋膜枪或冲击波治疗、PRP富血小板血浆注射等。
一般保守治疗对90%以上患者治疗有效,但由于治疗时,不能确定何种方法有确定的效果,常常需要几种方法综合使用:
(1)穿用软而厚底的鞋子
如旅游鞋,避免穿硬底鞋子。可自制并穿用在患者的鞋垫上将跟跖侧压痛点处的鞋垫切成空洞样或特制的足跟垫,以减少跟部受到撞击性冲击的活动。肥胖患者减轻体重。
(2)跟腱、跖腱膜牵拉锻炼
跖腱膜的适度牵拉有助于炎症消退。临床研究发现,每天反复的跟腱、跖腱膜牵拉锻炼使83%的患者解除了疼痛;故这一方法成为减轻跖腱膜炎患者疼痛有效的治疗方法之一。
跖腱膜牵拉锻炼方法:
掰脚腕+踮脚跟
1患者坐位,屈膝,将患侧足跟置于床面上,踝关节背伸,用手将5个足趾向背侧推压,维持30秒,反复5次;
2跟腱牵拉锻炼,站于斜面板或台阶上,身体直立,使跟腱受到牵拉。
(3)封闭治疗
对疼痛严重的患者可服用非甾类消炎止痛药物。若以上药物治疗不能奏效,可局部应用皮质激素注射治疗;
每周注射一次,3~4次为一疗程,理论依据是其能降解退变组织、减轻疼痛和引起恢复反应,风险包括跖筋膜断裂和足底脂肪萎缩。
(4)使用辅助器具
包括夜间夹板和足部矫形器。疼痛较重时,可用夜间支具固定踝关节5°-10°背伸以防止踝关节跖屈,减少足底筋膜的挛缩,以减轻疼痛。
配合穿用定制足部矫形器能减少足部承重时足底筋膜的负重,有效支持内侧足弓,从而减少对足底筋膜的压力;研究显示,两者一起使用时治疗效果更为显著。
(5)石膏固定
严重疼痛上述治疗失败的患者,可用短腿石膏固定足踝关节于中立位1月。石膏固定治疗的效果主要来自在石膏固定期间强制性的休息。
(6)体外冲击波疗法(ESWT)
相关研究认为体外冲击波疗法对足底筋膜炎的有效率达到80%,体外冲击波治疗跖腱膜炎的具体机制尚不清楚,相关研究认为是震波可促进肌腱和骨交界部新生血管增殖,局部血运增加,加快了局部炎症的消退。
应注意ESWT的禁忌证包括任何类型的血友病,凝血障碍疾病,恶性肿瘤或者骨骺未闭。
(7)PRP治疗
手术治疗(少数保守无效果者可考虑)
跖筋膜切断术:一些顽固疼痛的病例经过所有非手术治疗后症状仍持续存在,就应当考虑手术治疗。美国AOFAS指出选择手术治疗之前至少应经过6个月到1年的保守治疗。