
【踝——运动之痛:跟腱钙化】
运动医学钟名金博士 副主任医师 硕士生导师
刘翔,大家耳熟能详的名字,也是中国体育的骄傲,确因跟腱伤病退出北京奥运会的比赛,让国人遗憾。那到底是什么原因导致的呢?
今天给大家讲一讲踝关节运动止痛——跟腱钙化肌腱炎!
1、 跟腱的解剖
跟腱位于脚背后部,由腓肠肌和跟腱腓肠肌组成,起到使足部向下弯曲和脚背屈曲的作用。跟腱长约15厘米,直径约1.5厘米,是人体最大、最强的肌腱之一,承受着人体每一次的跳跃、奔跑和走路等活动。
2 跟腱止点炎
跟腱止点腱炎指在跟腱止点(跟腱与跟骨结合部,腱骨结合区域)处的足后跟疼痛。开始在活动多后感到疼痛,之后可转为持续性疼痛。检查可见跟腱止点部外观正常或增大,局部压痛。
在运动员、跑步爱好者、肥胖人群和久坐人群中,常常会有脚跟后方疼痛的情况,让病人单足提踵困难或引发疼痛包括一系列累及跟腱止点( 包括跟骨后上部及邻近区域 )的跟腱病,如:跟骨后滑囊炎 、跟腱后滑囊炎 、Haglund畸形 、跟腱止点腱周炎 、跟腱止点炎 、全身性肌腿端病。
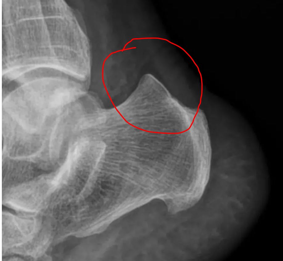
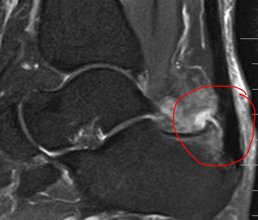
3 跟腱钙化
跟腱钙化是指跟腱部位的钙成分出现沉积。
跟腱钙化是肌腱钙盐沉积导致,钙化的跟腱在X光下会表现为高亮度,和骨骼的亮度是相接近的。如果患者长时间进行剧烈运动,或进行繁重体力劳动等,都容易反复牵拉跟腱部位的胶原纤维,从而引起局部组织韧带损伤,出现跟腱钙化。在出现跟腱钙化后,可能表现为不能长时间站立、走路疼痛、跟腱水肿等症状
。
4 跟腱炎如何治疗
在没有形成钙化前,属于跟腱止点及肌腱周围的炎症,一般引起疼痛为主。这种情况下多保守治疗。
通过休息、减少活动、冷敷、足跟抬高(牛仔靴、高跟鞋或使用矫形器),解除鞋的压迫 、服用非甾体抗炎药( NSAIDs )、肢体制动等;
发病3-6个月后,以上方法无效,可给予物理疗法 如冲击波 筋膜枪等按摩理疗有一定效果,注重离心训练(伸缩肌肉使跟腱延长)、交叉训练、伸展运动、冲击波治疗等,经过12周的训练后症状有可能消失。
跟腱痛点注射封闭治疗(激素如倍他米松等)可以缓解症状,但长期封闭治疗会增加钙化形成及跟腱断裂的风险。
如果跟腱炎性引起肌腱撕裂超过50%以上的就应该手术治疗,缝合肌腱或做跟腱止点重建手术。
还有一种跟骨形态畸形:Haglund综合征—Haglund病是指跟骨后上部异常突起,跟骨后上方和跟腱之间的滑囊在反复的机械撞击下产生的炎性症状。 这种情况下保守治疗无效也应该手术治疗,磨除骨刺。
5 跟腱钙化的治疗
跟腱钙化时,如果无明显症状,要注意适当休息,可以选择热敷、针灸等方式促进局部血液循环,缓解不适。也可以在医生指导下使用双氯芬酸二乙胺乳膏、塞来昔布胶囊等抗炎镇痛药物。
如果症状得不到缓解或加重,也可以选择在正规医院通过手术切除跟腱钙化部位,从而缓解此症状。手术中使用缝合锚重建跟腱止点,建议使用双排锚钉构建来增加强度。术后恢复性锻炼至少需要9个月。