
髋关节异常响声!?——原来是髋关节“密封垫”漏气!
深圳市第二人民医院
运动医学科 运动医学钟名金博士
王先生是一位运动爱好者,在体育活动中不慎滑倒导致髋部扭伤,随即出现髋关节疼痛肿胀,经过休息、理疗处理后髋关节疼痛感有了很大缓解,但每次蹲下起立时髋关节里总是发生一声闷响,偶尔还会髋关节“卡锁”感。经过多家医院就诊,却一直找不到病因。为此,王先生来到深圳市第二人民运动医学科就诊,经仔细体查和单侧髋关节核磁检查最终找到了困扰王先生的病根——髋关节盂唇撕裂,并接受了髋关节镜微创手术治疗,经过一段时间的康复练习已经恢复如常。
什么是髋关节盂唇?
髋臼周缘有一圈纤维软骨,像嘴唇一样,被称为髋关节盂唇,它像一个密封圈一样使股骨头和髋臼之间维持负压,这对于降低关节磨损非常重要。髋关节盂唇撕裂就像水龙头、高压锅的“密封垫”破损,将无法起到密封的作用,关节外周的气体就将进入髋臼窝内,活动髋关节时出现异常的闷响,甚至疼痛、绞锁。
什么情况容易造成髋关节盂唇撕裂?
髋关节盂唇撕裂的因素包括创伤、退变、发育不良和髋关节撞击。髋关节盂唇撕裂最常见于前方盂唇,其次后外上方,后方盂唇撕裂少见,而且撕裂的部位通常为盂唇-髋臼软骨移行区。髋关节盂唇撕裂后将改变髋关节的生物力学机制,增加关节应力,最终导致骨关节炎(关节老化)的加速发生。
髋臼盂唇撕裂后怎么办?
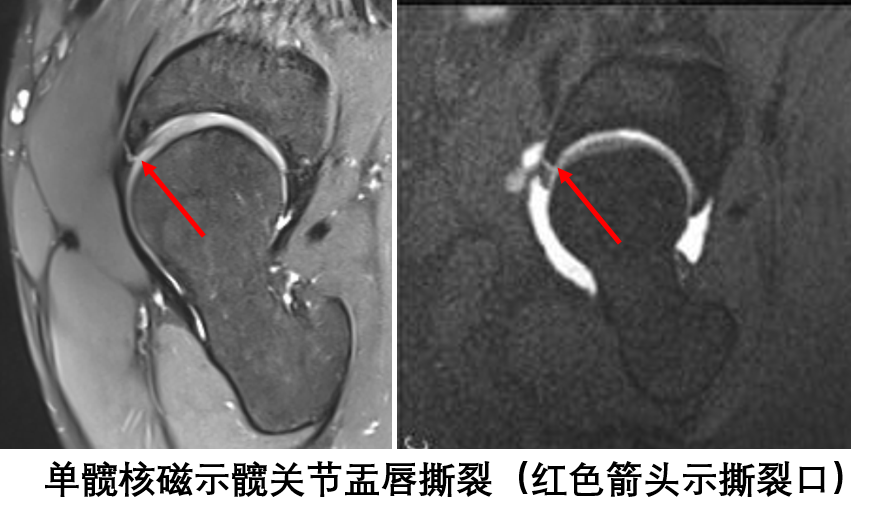
髋臼盂唇撕裂后早期需要拄拐使髋关节不负重,辅助止痛和理疗,促进盂唇的自身修复。但是髋关节盂唇就行膝关节半月板一样,血管分布相对匮乏,自身愈合能力有限。所以,一旦诊断为髋臼盂唇撕裂,应该积极手术治疗,最大程度的修复盂唇,恢复“密封圈”的功能。目前诊断髋关节盂唇撕裂主要依据单髋核磁检查。
髋关节盂唇撕裂可以微创手术吗?
以往髋关节盂唇撕裂需要切开手术,这种手术方式创伤大、出血多、并发症多、恢复慢,患者很难接受。目前髋关节盂唇撕裂完全可以通过关节镜微创手术治疗(只需2个0.5cm的切口,基本不出血,术后第二天即可下地活动),关节镜下可以直接探查盂唇撕裂的部位、程度和类型并进行修补缝合。
髋关节镜操作要求高,技术存在一定难度,医生的学习曲线长,全国开展髋关节镜技术的医院也屈指可数。因此,需要进行髋关节镜手术的广大髋关节疾病患者应该早期到运动医学专科医院就诊治疗,以免延误病情。