贴面修复前牙缝隙:美观与功能的精准解决方案一、前牙缝隙的成因与治疗选择
前牙缝隙(牙间隙)可能由遗传因素(如牙齿大小与颌骨不匹配)、不良习惯(如吐舌、咬笔)、牙周病导致牙齿移位或先天缺失牙等原因引起。修复方式包括:
- 正畸治疗:适合缝隙较大或伴有牙齿排列问题,但周期较长。
- 树脂充填:微创但易染色脱落,适合小缝隙。
- 瓷贴面:兼顾美观与持久性,是中等缝隙的理想选择。
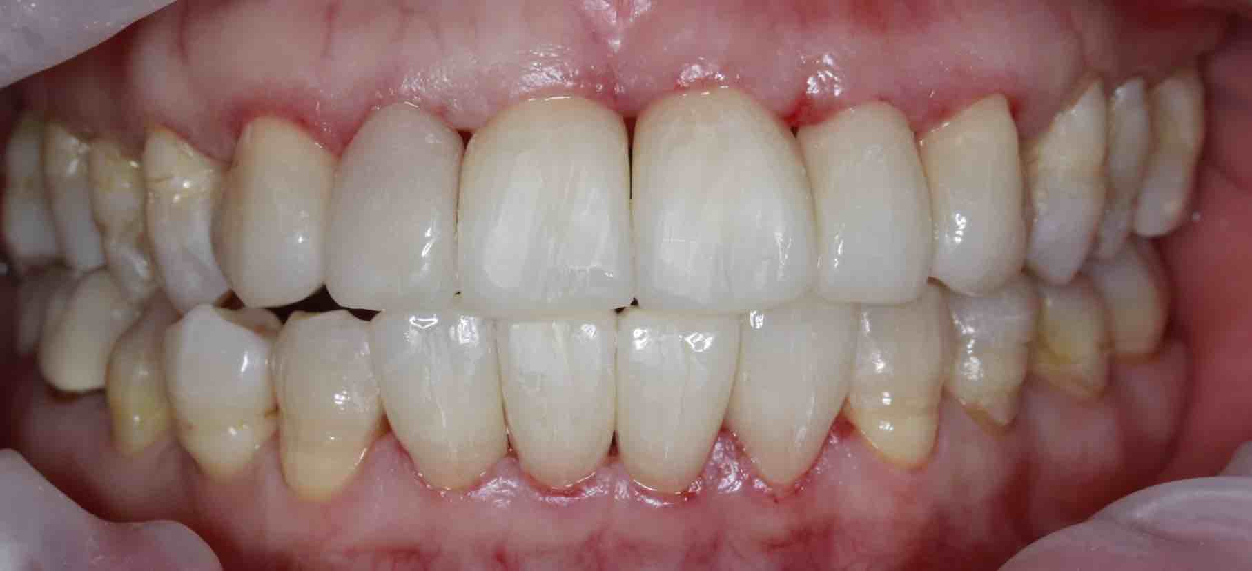
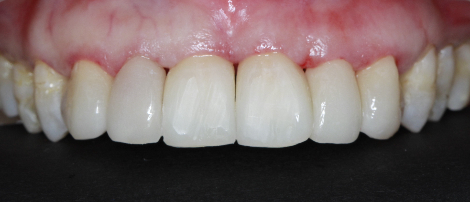
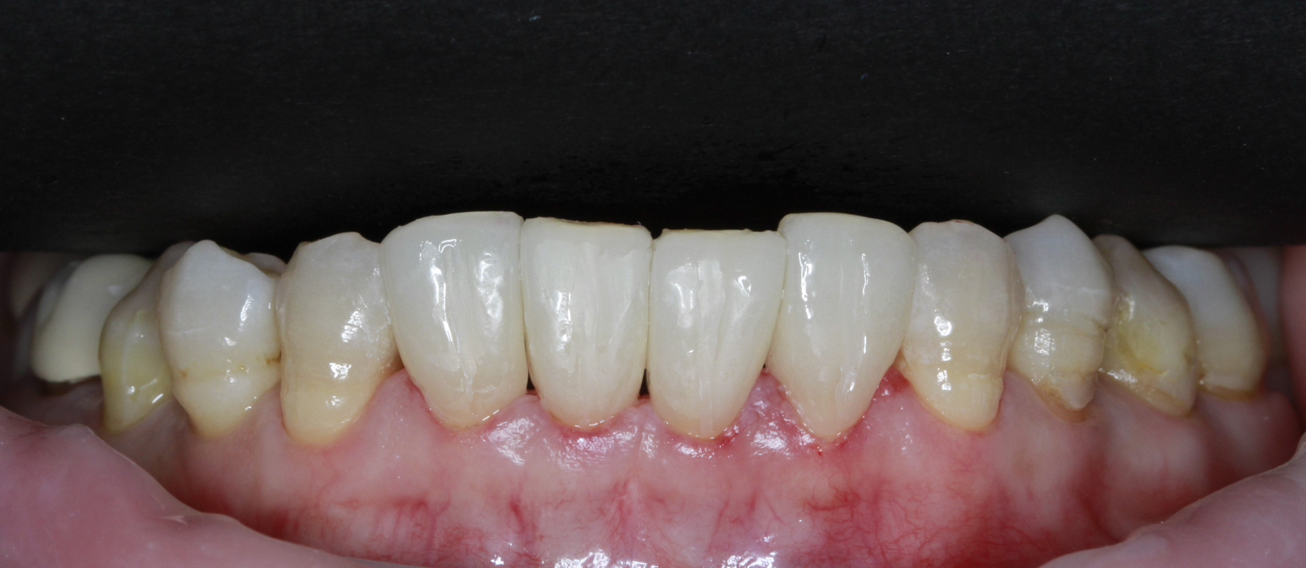
二、瓷贴面修复的优势
1. 美观性
超薄瓷贴面(0.3-0.7mm)可精准调整牙齿形态、颜色,半透明性与天然牙釉质接近,尤其适合对美学要求高的患者。
2. 微创性
相比全冠修复,贴面仅需磨除少量唇侧釉质(甚至可免磨牙,如“微贴面”技术)。
3. 持久性
优质瓷贴面使用寿命可达10-15年,抗染色性强于树脂。
三、贴面修复的适应症与禁忌症
- 适应症:
1-4mm的中等牙缝(过大缝隙需结合正畸或设计更宽贴面)。
- 牙齿形态异常(如锥形侧切牙)。
- 轻度牙齿排列不齐的掩饰性治疗。
- 禁忌症:
- 严重牙体缺损或龋坏未控制者。
- 夜磨牙或咬合过紧患者(需评估咬合关系)。
- 牙周病未稳定者。
四、标准化操作流程
1. 术前评估
- 拍摄X线片排除根尖病变。
- 硅橡胶取模或口扫设计微笑线。
- 比色(推荐使用VITA 3D-Master色系)。
2. 牙体预备
- 唇侧定深切割(0.3-0.5mm),邻面一般不过接触点。
- 边缘设计:龈上或齐龈(避免龈下边缘引发炎症)。
3. 临时贴面
对于需试戴患者可用树脂制作临时贴面评估形态。
4. 粘接技术
- 37%磷酸酸蚀釉质15秒,冲洗干燥。
- 选用光固化树脂水门汀(如Variolink Esthetic)分层固化。
五、常见问题与应对策略
- 术后敏感:多因过度备牙导致牙本质暴露,建议术前评估牙髓状态,必要时脱敏处理。
- 边缘微渗漏:严格隔湿操作,使用橡皮障。
- 贴面折裂:避免暴力咬合,夜磨牙患者建议佩戴.六、术后维护建议
- 避免啃咬硬物(如冰块、坚果)。
- 使用非研磨性牙膏(如含碳酸氢钠)清洁。
- 每年复查边缘密合度及牙周状况。
总结
瓷贴面以微创、仿生和持久性成为前牙缝隙修复的主流选择,但需严格把握适应症。数字化设计(如CAD/CAM)与粘接技术的发展进一步提升了修复精度,建议患者结合口腔整体情况与医生共同制定方案。
对于“黑三角”问题,可通过贴面结合牙龈成形术改善。



