前牙美学修复

卢松林医生 发布于2026-01-10 09:36 阅读量209

本文由卢松林原创

贴面修复前牙缝隙:美观与功能的精准解决方案一、前牙缝隙的成因与治疗选择



前牙缝隙(牙间隙)可能由遗传因素(如牙齿大小与颌骨不匹配)、不良习惯(如吐舌、咬笔)、牙周病导致牙齿移位或先天缺失牙等原因引起。修复方式包括:



- 正畸治疗:适合缝隙较大或伴有牙齿排列问题,但周期较长。



- 树脂充填:微创但易染色脱落,适合小缝隙。



- 瓷贴面:兼顾美观与持久性,是中等缝隙的理想选择。



二、瓷贴面修复的优势



1. 美观性



  超薄瓷贴面(0.3-0.7mm)可精准调整牙齿形态、颜色,半透明性与天然牙釉质接近,尤其适合对美学要求高的患者。



2. 微创性



  相比全冠修复,贴面仅需磨除少量唇侧釉质(甚至可免磨牙,如“微贴面”技术)。



3. 持久性



  优质瓷贴面使用寿命可达10-15年,抗染色性强于树脂。







三、贴面修复的适应症与禁忌症



- 适应症:  



1-4mm的中等牙缝(过大缝隙需结合正畸或设计更宽贴面)。  



  - 牙齿形态异常(如锥形侧切牙)。  



  - 轻度牙齿排列不齐的掩饰性治疗。  



- 禁忌症:  



  - 严重牙体缺损或龋坏未控制者。  



  - 夜磨牙或咬合过紧患者(需评估咬合关系)。  



  - 牙周病未稳定者。  



四、标准化操作流程



1. 术前评估



  - 拍摄X线片排除根尖病变。  



  - 硅橡胶取模或口扫设计微笑线。  



  - 比色(推荐使用VITA 3D-Master色系)。  







2. 牙体预备



  - 唇侧定深切割(0.3-0.5mm),邻面一般不过接触点。  



  - 边缘设计:龈上或齐龈(避免龈下边缘引发炎症)。  







3. 临时贴面



  对于需试戴患者可用树脂制作临时贴面评估形态。  







4. 粘接技术



  - 37%磷酸酸蚀釉质15秒,冲洗干燥。  



  - 选用光固化树脂水门汀(如Variolink Esthetic)分层固化。  



五、常见问题与应对策略



- 术后敏感:多因过度备牙导致牙本质暴露,建议术前评估牙髓状态,必要时脱敏处理。  



- 边缘微渗漏:严格隔湿操作,使用橡皮障。  



- 贴面折裂:避免暴力咬合,夜磨牙患者建议佩戴.六、术后维护建议



- 避免啃咬硬物(如冰块、坚果)。  



- 使用非研磨性牙膏(如含碳酸氢钠)清洁。  



- 每年复查边缘密合度及牙周状况。  



总结



瓷贴面以微创、仿生和持久性成为前牙缝隙修复的主流选择,但需严格把握适应症。数字化设计(如CAD/CAM)与粘接技术的发展进一步提升了修复精度,建议患者结合口腔整体情况与医生共同制定方案。 



对于“黑三角”问题,可通过贴面结合牙龈成形术改善。  



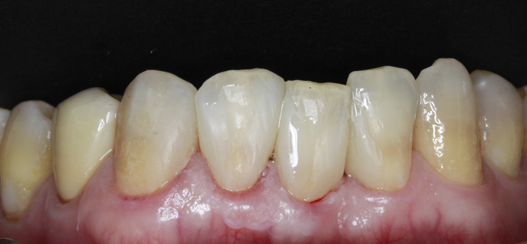
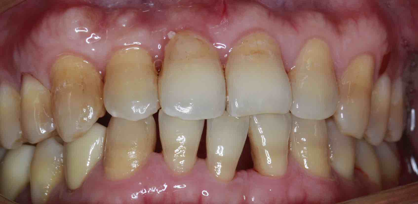
图片发自160医护App



图片发自160医护App



图片发自160医护App



图片发自160医护App
相关疾病: