一、 烤瓷冠的优缺点
· 优点:
1. 性价比高:在提供足够功能和强度的修复体中,价格最具优势。
2. 强度可靠:金属基底能提供良好的支撑力,尤其适用于后牙负重区域。
3. 技术成熟:应用数十年,临床技术非常成熟、稳定。
· 缺点:
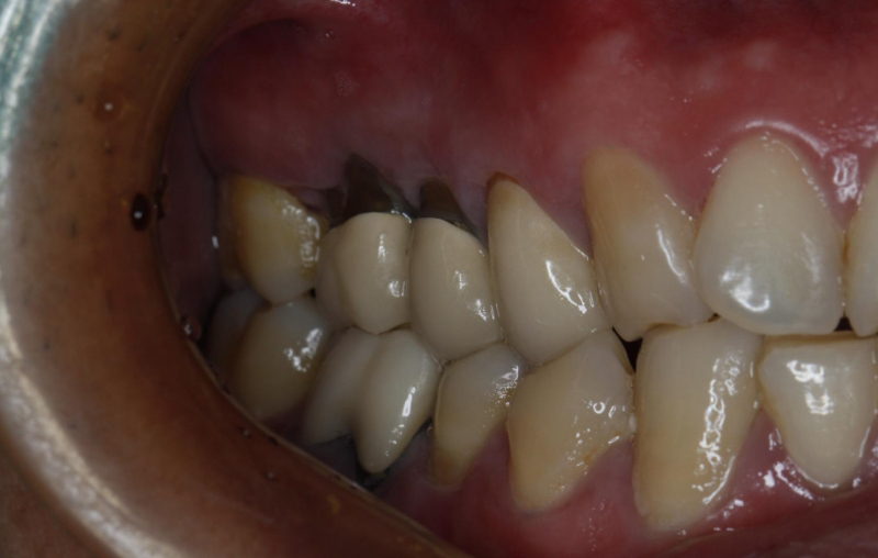
1. 美学缺陷:最突出的问题是戴用数年后,牙龈萎缩可能导致冠边缘露出金属“黑线”,影响美观。前牙修复尤其明显。
2. 过敏风险:非贵金属合金可能引起牙龈着色、过敏或轻微炎症。
3. 影响影像学检查:为未来可能的头部、颈部影像学检查带来不便。
4. 崩瓷:瓷层与金属结合处是薄弱点,不当咬合力可能导致瓷层崩落。
二、 全瓷冠的优缺点
· 优点:
1. 卓越美学:媲美真牙的色泽和透光性,是前牙美学修复的金标准。
2. 生物相容性最佳:不会刺激牙龈,有利于牙龈健康,长期稳定性好。
3. 不影响医疗检查:做磁共振、CT等检查无需担忧。
4. 精度高:多采用数字化切削制作,边缘密合度通常极佳。
· 缺点:
1. 价格昂贵:通常是烤瓷冠价格的1.5-3倍或更高。
2. 对医生技术要求高:预备牙齿时需要更多的空间,对粘接技术的要求也更高。
3. 材料选择有讲究:高透的玻璃陶瓷强度稍弱,多用于前牙;高强的氧化锆通透性稍差,多用于后牙。现在也有高透氧化锆等改良材料。
---
如何选择?给您的建议
这是一个需要结合位置、预算、健康需求和个人期望的综合决策。
1. 从美观优先角度考虑:
· 前牙区域(门牙、尖牙):首选全瓷冠。特别是玻璃陶瓷类(如E-max),能实现以假乱真的效果。
· 后牙区域(磨牙):如果预算充足,氧化锆全瓷冠是强度和美学兼顾的优选。如果更看重经济性且牙龈位置较深不易露金属边,烤瓷冠仍然是可靠的选择。
2. 从健康安全角度考虑:
· 如果已知对金属过敏,或非常关注生物相容性,必须选择全瓷冠。
· 如果未来有频繁进行头部影像学检查的可能性(如神经系统疾病患者),建议选择全瓷冠。
3. 从经济预算角度考虑:
· 预算有限,且修复牙位在后方:高质量钴铬合金烤瓷冠是合理的折中选择。
· 预算允许,且追求长期综合效果:投资全瓷冠在美观、健康和长期价值上通常回报更高。
最终重要提示
维护是根本:无论多好的牙冠,都需要良好的口腔卫生(刷牙、使用牙线)和定期检查(洗牙、复查),避免用其咬过硬食物(如螃蟹壳、坚果壳),才能使用长久。



