邻面龋,顾名思义,就是发生在两颗相邻牙齿接触面(邻面) 的龋坏,俗称“牙缝里蛀牙”。
它是所有龋齿类型中最隐蔽、最不易被发现的一种。因为龋坏的位置藏在牙缝里,肉眼直接观察非常困难,早期通常没有任何疼痛感,等到出现自觉症状时,往往已经发展得比较严重了。
1. 位置隐蔽:日常照镜子根本看不到,除非蛀洞非常大。
2. 早期无症状:初期可能只是牙釉质表面的白垩色斑块,不痛不痒。
3. 容易漏诊:如果不用专业的工具(如X光片)检查,甚至连牙医都可能在肉眼检查时漏掉早期的邻面龋。
4. 进展迅速:牙缝处容易塞牙,食物残渣和细菌形成的牙菌斑长期滞留,酸性物质持续腐蚀牙齿,一旦突破牙釉质,速度会加快。
其根本原因与其他龋齿一致,但牙缝这个特殊位置加剧了风险:
口腔清洁不到位:这是最主要的原因。普通刷牙只能清洁到牙齿的外侧面、内侧面和咬合面,但对牙缝几乎无能为力。牙线或牙缝刷使用不到位,牙菌斑就会在牙缝间堆积。
· 喜食甜食/酸性食物:糖分是细菌的最爱,它们分解糖产酸,腐蚀牙齿。
· 牙齿排列不齐:牙齿拥挤会导致牙缝更难清洁。
· 唾液分泌较少:唾液有中和酸性、清洁牙齿的作用。口干者风险更高。
1. 塞牙:某个牙缝突然开始容易塞食物,而且清理后仍有不适感,可能是蛀洞造成的“楔形”空间。
2. 牙齿颜色变化:对着光仔细看,可能发现相邻牙齿的牙缝处有透黑、发灰或褐色的阴影。
3. 冷热刺激敏感:喝冷水或吃热食时,某一牙缝处感到短暂的尖锐酸痛。
4. 牙线易磨损或断裂:使用牙线时,在某个特定位置牙线总是起毛、拉丝甚至卡断,说明牙面上可能存在粗糙的蛀洞边缘。
5. 口腔检查与X光片:这是最可靠的方法。牙医会用探针辅助检查,并能通过拍摄根尖片或咬翼片来清晰地看到牙缝之间的龋坏程度,在X光片上,龋坏处会显示为黑色阴影。
根据龋坏的深度,治疗方式不同:
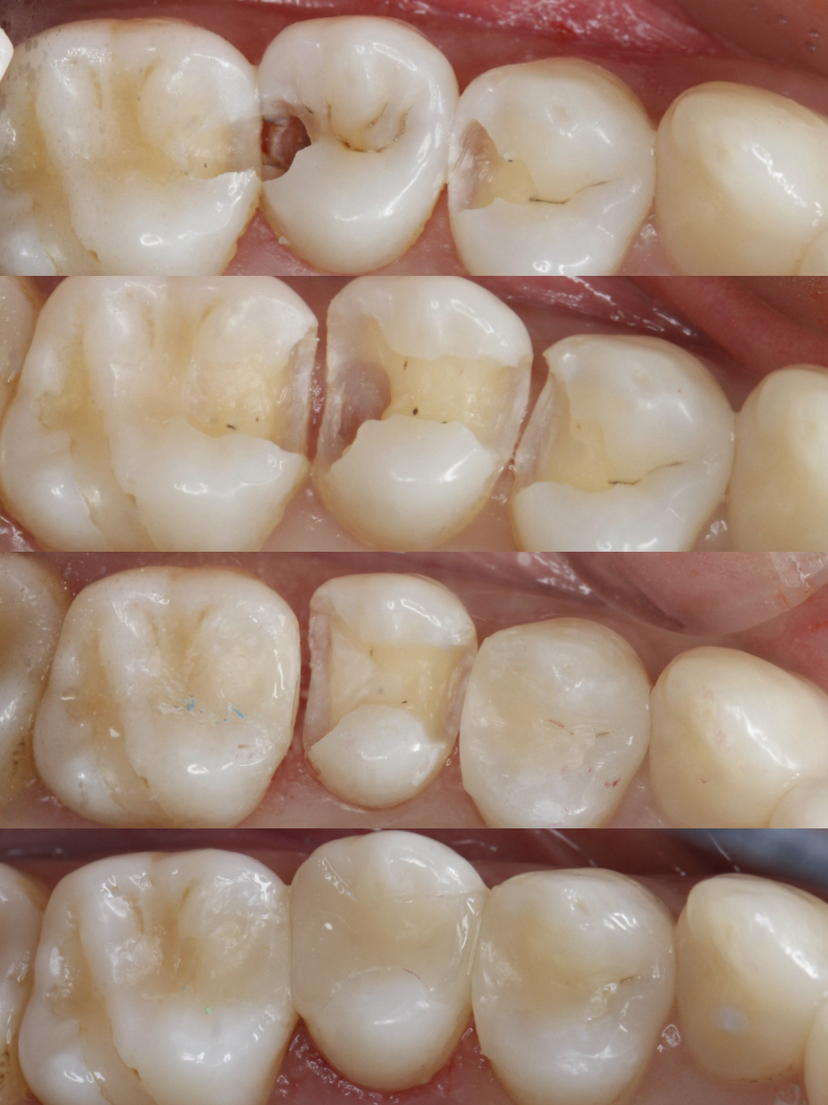
· 浅层/中层邻面龋:
· 补牙(充填治疗):是最常见的治疗方法。医生会磨除腐坏的牙体组织,然后用树脂材料进行填充。现代牙科技术可以做到非常美观,与牙齿颜色几乎一致。
· 深层邻面龋(已近牙髓):
· 根管治疗 + 牙冠:如果龋坏已经感染牙神经,会引起牙髓炎,出现自发痛、夜间痛。这时需要先进行根管治疗(抽神经),彻底清除感染,最后再做一个牙冠(牙套)保护起来,防止牙齿劈裂。
· 非常广泛的邻面龋:
嵌体修复:如果龋坏导致牙体组织损失过大,甚至无法支撑一个普通的填充物,可能需要进行嵌体修复。嵌体是通过数字化扫描,口外由技师制作而成,然后由医生粘接到牙齿上,在形态、硬度上都比直接填充更优越,堪称“高级定制版的补牙”。
预防邻面龋,仅靠刷牙是远远不够的,必须做好牙缝清洁。
1. 正确使用牙线(首选!):每天至少使用一次牙线,是预防邻面龋最有效、最经济的方法。将牙线放入牙缝,呈“C”形包绕一侧牙面,上下刮除菌斑。
2. 牙缝刷:对于牙缝较大的成年人或牙龈萎缩的人,牙缝刷是更好的选择,清洁效率更高。
3. 冲牙器(水牙线):可以作为辅助工具,冲走食物残渣,按摩牙龈,但不能替代牙线或牙缝刷来刮除牙菌斑。
4. 含氟牙膏和漱口水:氟化物可以增强牙釉质的抗酸能力,促进再矿化,帮助修复非常早期的龋坏。
5. 定期口腔检查与洁牙:每年1-2次去看牙医。专业洁牙可以清除顽固的牙结石,而定期拍摄X光片(通常1-2年一次)是发现早期邻面龋的“火眼金睛”,能将其扼杀在摇篮里。
邻面龋就像一个沉默的刺客,躲在暗处悄悄破坏你的牙齿。战胜它的秘诀在于:
不要等到牙疼才去看医生,那时往往为时已晚,治疗起来更复杂,费用也更昂贵。从现在开始,认真使用牙线,给你的牙缝也洗个澡吧!
