这是最严重的情况,但处理得当,牙齿很可能被成功再植。
1. 找到牙齿:捏住牙冠部分(白色在口腔里的部分),不要触碰牙根。
2. 清洁牙齿:如果牙齿脏了,用纯净水或牛奶轻轻冲洗,不要搓洗、不要用肥皂、不要消毒。
3. 保持湿润:这是关键!最佳方法是:
· 放回牙槽窝:轻轻地将牙齿插回原来的位置,咬住干净的纱布或手帕固定。
· 含在口中:如果无法放回,可以放在舌下(注意别吞下)。
· 泡在牛奶或生理盐水中:这是次选方案。
· 切忌干燥:千万不要用纸巾包裹牙齿,干燥会彻底杀死牙根表面的细胞。
4. 立即就医:黄金时间是30分钟内,越快越好!立即前往口腔医院急诊或综合医院口腔科。
根据牙齿损伤的不同程度,修复方法也各不相同。
· 表现:牙齿感觉酸痛、松动、位置改变(嵌入、突出或侧移)。
· 修复方法:
· 医生会进行X光检查,评估牙根和牙槽骨情况。
· 复位固定:将移位的牙齿复位到正确位置,然后用特殊的牙科夹板与邻近的健康牙齿固定在一起,维持数周待其愈合。
· 定期观察:即使没有移位,也可能需要定期复查牙髓(牙神经)活力,因为外伤可能造成牙神经“休克”甚至坏死。
这是最常见的外伤类型,根据缺损大小和是否露髓,处理方法不同。
· 表现:牙齿缺角、断裂。
· 修复方法:
· 树脂充填(补牙):
· 适用:缺损较小,且未暴露牙髓(牙神经)。
· 优点:快速、便宜、磨牙少、一次完成。
· 缺点:时间久了可能变色、磨损。强度相对较低。
· 瓷贴面/嵌体:
· 适用:中等程度缺损,希望获得更美观耐用的效果。
· 优点:颜色稳定,美观度高,强度优于树脂。
· 缺点:费用较高,需要磨除部分牙体,制作需要时间。
· 全冠修复:
· 适用:缺损很大,或经过根管治疗后牙齿变脆。
· 优点:能全面保护剩余牙体,恢复形状和功能。
· 缺点:需要磨除较多的牙体组织。
· 表现:牙齿断裂处可见红色小点,接触时疼痛明显或出血。
· 修复方法:
· 根管治疗(抽神经):必须首先进行根管治疗,清除感染的牙髓,防止后续发炎疼痛。
· 桩核冠修复:根管治疗后,牙齿会变脆。通常需要在牙根内打入“纤维桩”以增加强度,然后在外面做一颗“牙冠”来保护它。这是恢复严重缺损牙齿的标准方法。
1. 饮食:修复后初期(尤其是固定期间),避免用受伤牙齿啃咬硬物(如骨头、坚果、螃蟹壳)。
2. 口腔卫生:认真刷牙,使用牙线,保持口腔清洁,预防牙龈炎和龋齿。固定期间清洁要更仔细。
3. 定期复查:这一点至关重要! 即使当时修复得很好,外伤的远期影响也可能在数月甚至数年后出现,如:
· 牙髓坏死、根尖发炎。
· 牙根吸收(牙根慢慢“融化”)。
· 牙齿颜色变灰、变暗。
· 儿童可能影响恒牙胚发育。
4. 遵医嘱:严格按照医生要求的时间拆除固定装置、复查拍片。
· 运动护齿:在进行篮球、足球、滑板、拳击等高风险运动时,佩戴定制式运动护齿器。
· 交通安全:乘坐交通工具务必系好安全带,骑行时佩戴头盔。
· 家居安全:家中地板使用防滑垫,浴室铺防滑垫,避免湿滑摔倒。
· 纠正不良习惯:不要用牙齿开瓶盖、咬硬物。
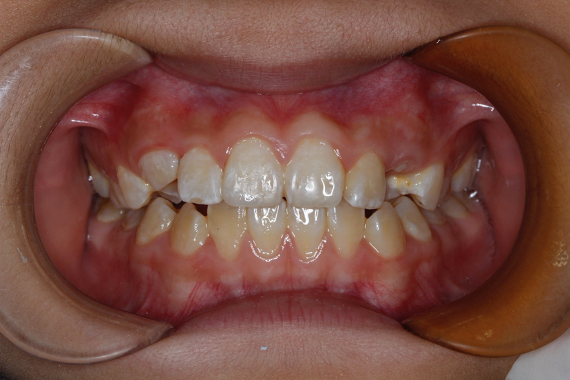
该患者年轻恒牙前牙外伤,切缘缺损,未露髓。根尖周无低密度影像。最终树脂修复,牙齿形态完善。后期定期观察。

