什么是洁牙?
洁牙,又称“洗牙”或“牙齿清洁”,是指由专业牙医或洁牙师使用特殊器械去除牙齿表面的牙菌斑、牙结石及色素沉积的过程。洁牙不仅能清洁牙齿,还能预防牙周病、龋齿等口腔问题,是维持口腔健康的基础措施之一。
为什么需要洁牙?
即使每天刷牙、使用牙线,仍然会有部分牙菌斑残留在牙齿表面,尤其是牙龈边缘和牙缝等难以清洁的部位。这些牙菌斑会逐渐钙化,形成坚硬的牙结石,刺激牙龈,引发牙龈炎、牙周病,甚至导致牙齿松动脱落。洁牙可以有效清除这些有害物质,保持口腔健康。
洁牙的常见方法
1. 超声波洁牙
利用高频振动的超声波洁牙机头,震碎牙结石并冲洗干净。这是目前最常用的洁牙方式,高效且舒适。
2. 手工洁牙(刮治)
牙医使用手动刮治器(如洁治器、刮匙)精细清除牙结石,适用于牙周炎患者或牙龈下结石较多的情况。
3. 喷砂洁牙
通过高压气流混合细小的碳酸氢钠颗粒,清除牙齿表面的色素(如茶渍、烟渍),使牙齿更光滑亮白。
4. 抛光
洁牙后,牙医会用抛光膏和橡皮杯打磨牙齿表面,减少菌斑的附着,使牙齿更光滑。
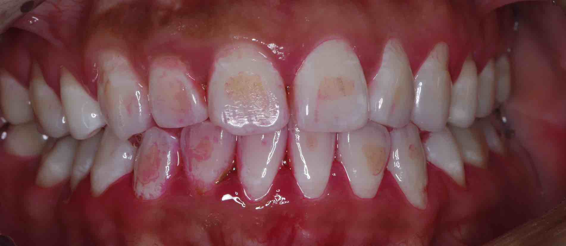
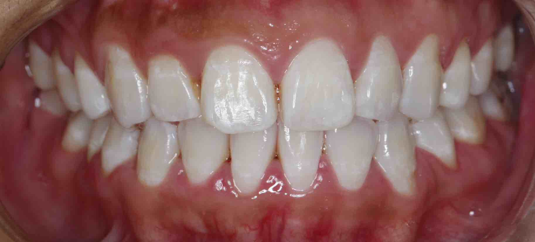
洁牙会伤害牙齿吗?
很多人担心洁牙会磨损牙釉质或让牙齿变松,其实这是误解。**正规的洁牙不会损伤牙齿**,牙釉质的硬度远高于洁牙器械。如果洁牙后感觉牙齿松动,通常是因为牙结石长期堆积压迫牙龈,去除后牙齿暂时“失去支撑”,但这是牙周组织恢复健康的必经过程。
洁牙的频率
健康人群:建议每6-12个月洁牙一次。
牙周病患者:根据医生建议,可能需要每3-6个月进行一次洁牙和牙周维护。
吸烟、喝咖啡/茶较多者:可适当增加洁牙频率,防止色素沉积。
洁牙后的注意事项
1. 避免冷热刺激:洁牙后1-2天内,部分人可能对冷热敏感,建议避免过冷或过热的食物。
2. 认真刷牙和使用牙线:洁牙后仍需保持良好的口腔卫生,防止牙菌斑再次堆积。
3. 戒烟限茶/咖啡:减少色素沉积,保持牙齿洁白。
4. 如有不适及时复诊:若洁牙后牙龈出血、疼痛持续不缓解,应咨询牙医。
洁牙 ≠ 牙齿美白
洁牙的主要目的是去除牙结石和菌斑,恢复牙齿本身的颜色(可能略微变白),但无法改变牙齿本身的色素(如氟斑牙、四环素牙)。如果需要美白牙齿,可以选择冷光美白、贴面等其他方式。
总结
洁牙是预防口腔疾病的重要手段,定期洁牙能有效减少牙龈炎、牙周病和龋齿的发生。不要等到牙齿疼痛或牙龈出血才去看牙医,养成良好的洁牙习惯,才能拥有一口健康坚固的牙齿!
爱护牙齿,从定期洁牙开始!** ✨

