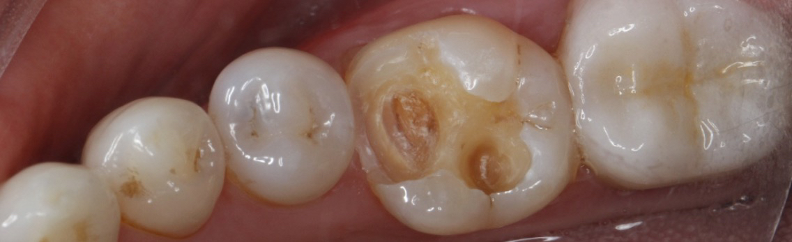
患者因长期忽视口腔卫生,导致一颗后牙出现龋坏,进食时常感到酸痛。经检查发现,龋坏范围较大,但尚未伤及牙髓,医生建议采用嵌体修复。
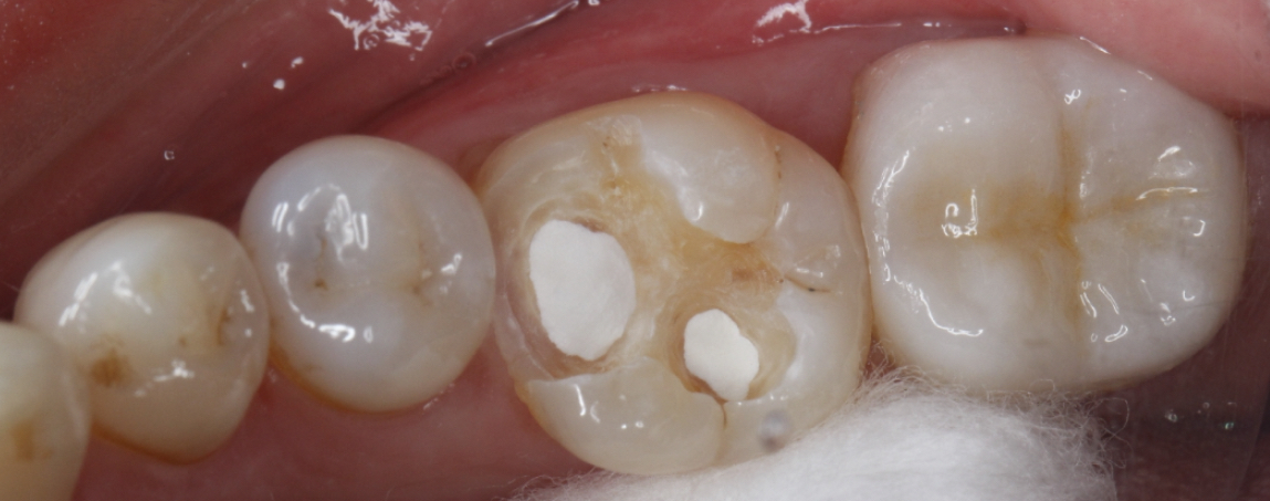
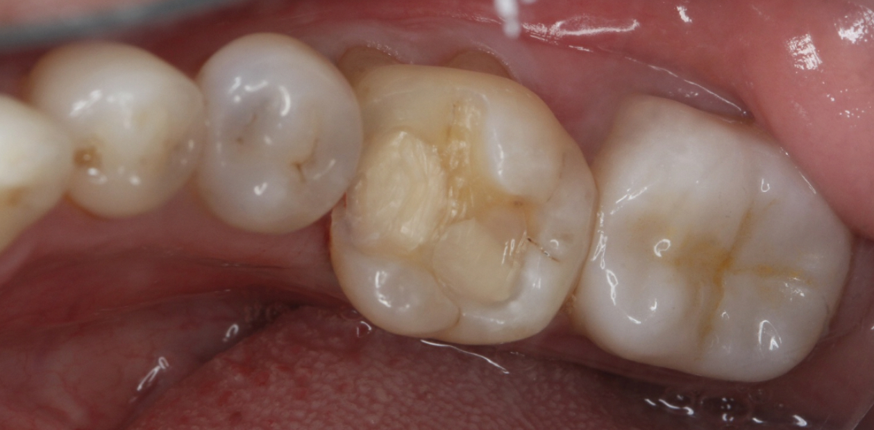
嵌体修复是一种精准的修复方式,特别适合像患者这样龋坏较深但无需根管治疗的情况。该患者选择了西诺德全瓷嵌体修复,去龋坏,IROOT-BP间接盖髓+光固化玻璃离子+3M流动树脂垫底。基牙预备,排龈,精修,然后CEREC扫描,获取牙齿模型,定制出与缺损部位完全匹配的陶瓷嵌体。嵌体制作完成后,医生将其粘接固定在牙齿上,恢复了牙齿的形态和功能。
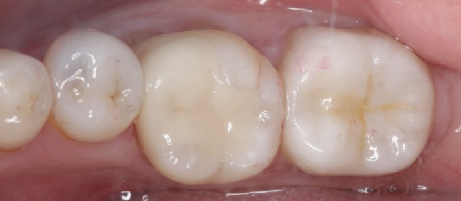
修复后,患者的牙齿不仅外观自然,咀嚼功能也完全恢复。嵌体修复因其密合性好、耐用性强,能有效防止继发龋的发生。患者表示,嵌体修复不仅解决了他的牙齿问题,还让他更加重视日常口腔护理。
嵌体修复是治疗龋坏牙齿的理想选择,既美观又实用,帮助患者重拾健康笑容!





