给牙齿穿上一件“美颜滤镜”:聊聊牙齿贴面
是不是常常羡慕明星们那一口整齐、亮白、仿佛会发光的牙齿?心里默默想着:“这基因也太好了吧!”
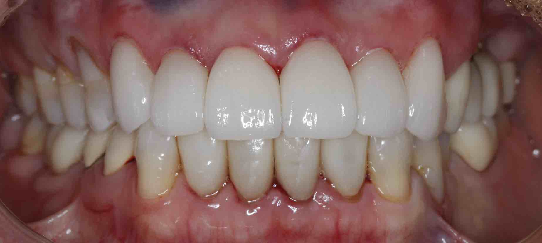
其实呀,除了天生的,很多明星的秘密武器就是——牙齿贴面。它就像是给牙齿穿上了一件高级定制的“隐形盔甲”,或者一个永久的“美颜滤镜”,瞬间就能让笑容升级换代。
今天,咱们就来亲切地聊一聊这个牙齿美容界的“网红”。
想象一下,你家装修时贴的瓷砖或者墙纸。牙齿贴面的原理也类似,就是在你原本的牙齿表面,粘贴上一层非常非常薄的人工瓷片或树脂片。
这层薄片是专门根据你牙齿的颜色、形状定制的,贴上后就能完美覆盖掉原本牙齿的所有小缺点。它超薄的程度,甚至可以媲美隐形眼镜!所以完全不用担心会变成“钢琴键”或者厚厚的“假牙”。
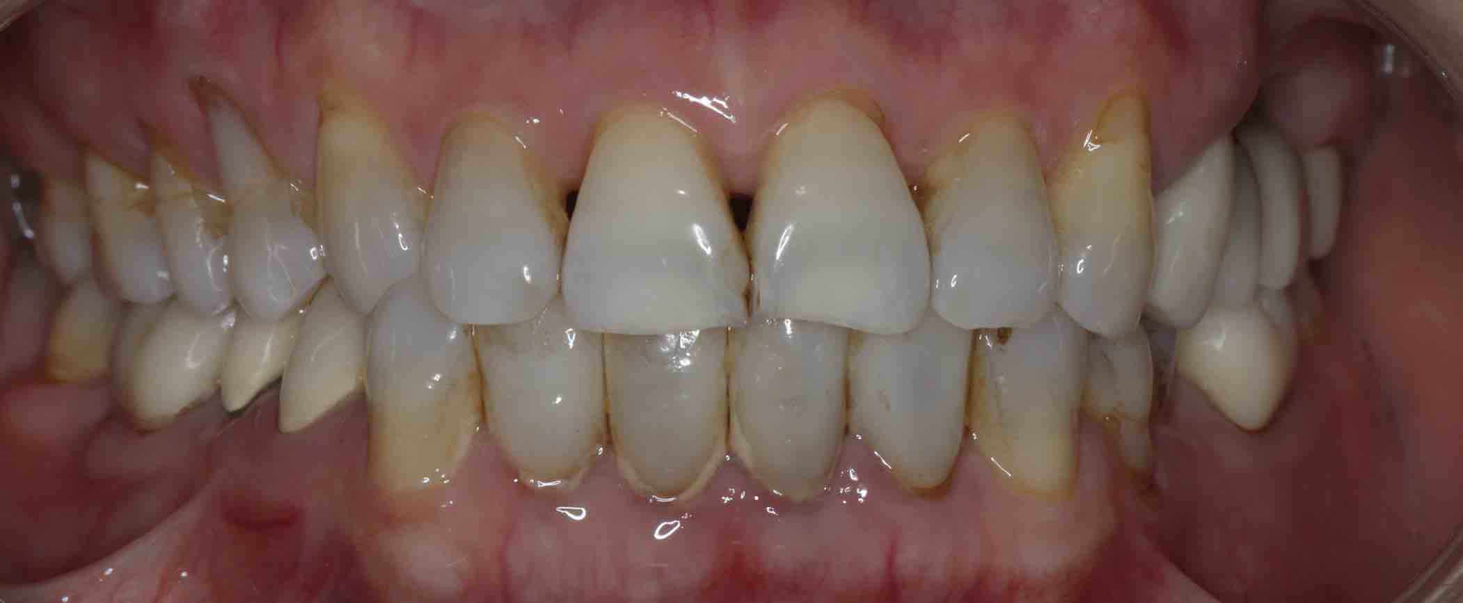
· 颜色问题:比如四环素牙、氟斑牙等天生色素牙,或者怎么刷都刷不白的顽固色渍。

· 形态问题:牙齿有裂缝、缺了一小块、或者形状不美观。



· 排列问题:牙齿有轻微的歪斜、缝隙大(如牙缝),但又不想经历漫长的戴牙套时光。

· 长度问题:牙齿磨损变短,或者笑起来露牙龈太多,希望牙齿看起来更长一些。
注意啦! 如果你的牙齿非常不整齐,或者有严重的口腔疾病(如牙龈炎、蛀牙),需要先治疗好才能考虑贴面哦!
总而言之,牙齿贴面是一项非常成熟和有效的牙齿美容技术。 它不能盲目跟风,但绝对是解决特定牙齿问题的“利器”。
如果你对自己的笑容有那么一点点不满意,不妨去找个专业的牙医聊一聊,看看这件神奇的“美颜滤镜”是否适合你。
毕竟,一个自信灿烂的笑容,是最好的名片!

