随着年龄的增长,很多患有牙周病的病人,牙齿会逐渐松动甚至脱落。缺一两颗牙齿的,不以为然,可有的患者缺失半口,甚至全口牙齿缺失。纵而在生活上带来了诸多不便。
而种植牙作为一种有效的修复方式,受到了广泛关注。但种植牙往往费用较高,对于半口缺牙的患者来说,是不是就意味着要种植十几颗甚至更多的种植体?
当然不是!随着种植牙技术的不断发展和创新,现代种植牙技术出现了All-on-4、All-on-6,或者种植八颗种植牙全口种植等先进理念。
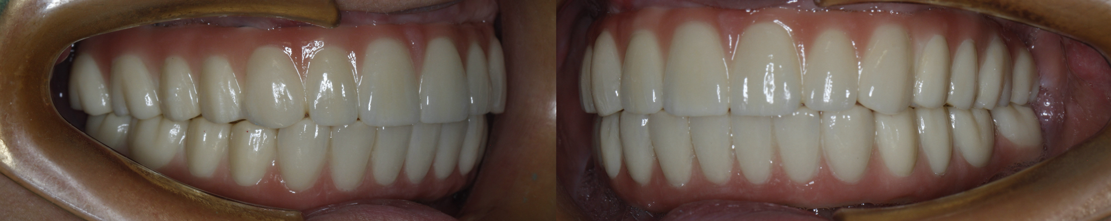
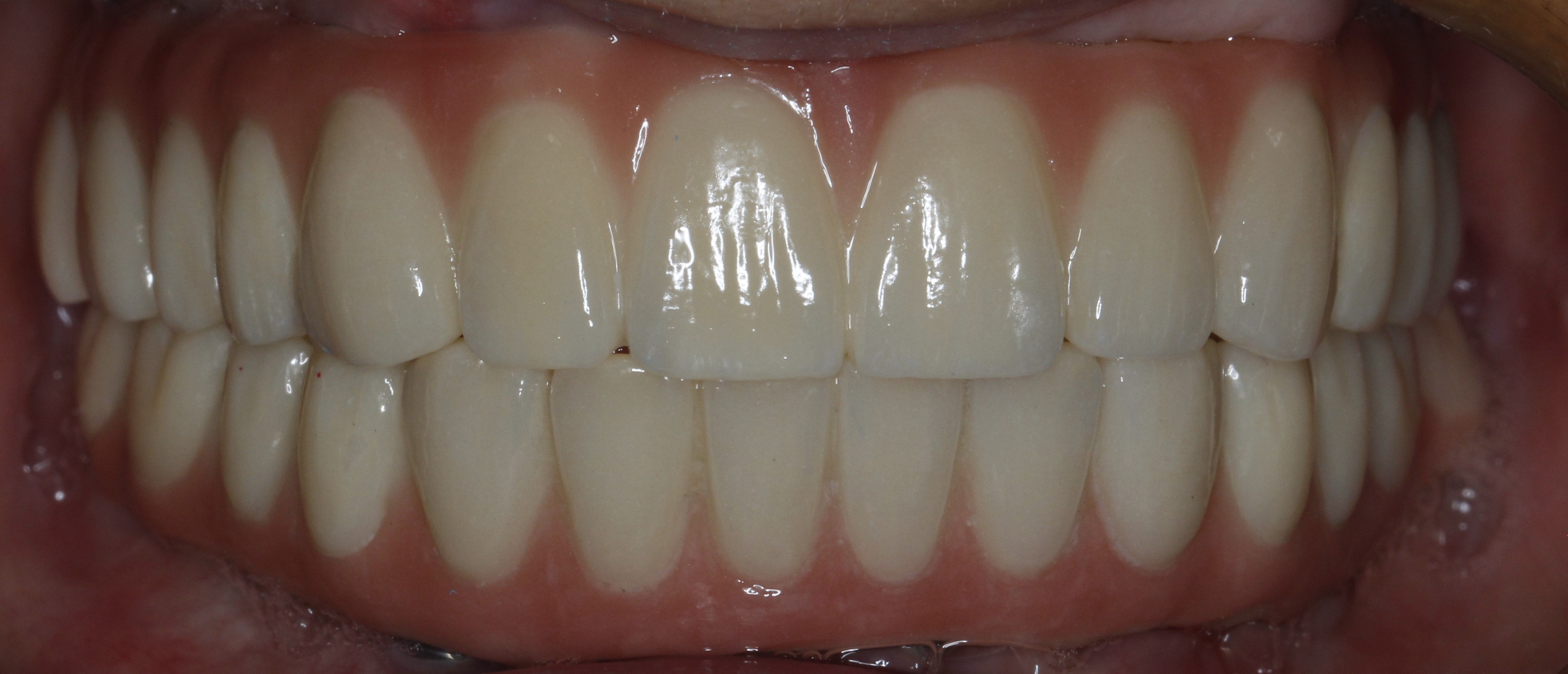
该患者就是因牙周病导致牙齿松动脱落,我们通过在全口牙槽骨上植入16颗种植体,然后在种植体上安装连桥牙冠,从而恢复半口牙齿的咀嚼功能和美观。相对于传统的种植修复方式缺一颗种一颗。4-8颗种植体的种植手术创伤相对较小,大大的减少了患者的疼痛感。
种植牙是当前缺牙修复的理想选择,但成功与否依赖医生技术、患者自身条件和术后维护。尽早修复缺牙,才能避免邻牙倾斜、咬合紊乱等问题,重获健康笑容。








