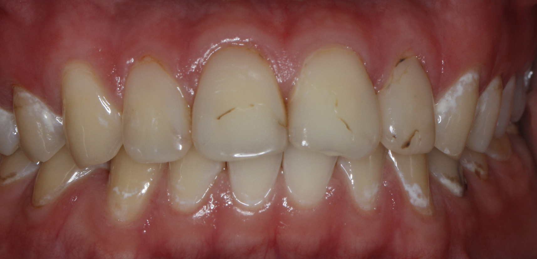
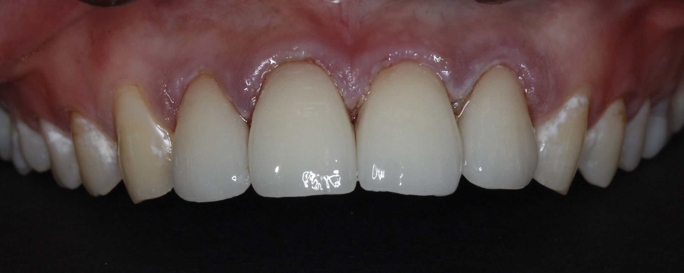
当我们的门牙因为蛀牙、缺损、变色或形态不佳而影响美观时,牙科医生常会给出两种主流的修复方案:树脂充填和瓷贴面。很多朋友都会疑惑:它们看起来效果都不错,到底该怎么选呢?
其实,这两种技术如同装修中的“局部修补”和“整体精装”,各有其适用的场景和特点。下面我们就从多个维度来详细解读它们的区别。
· 可以理解为 “补牙” 。医生会使用与牙齿颜色相近的高分子树脂材料,直接在你的口内进行塑形、雕刻、光照固化,一层层地堆叠出牙齿的形态,以修复缺损的部分。这是一种直接修复法。
· 可以比喻为给牙齿穿上一件 “超薄瓷质铠甲” 。它是在牙科实验室里量身定制的一片薄薄的瓷壳(通常厚度在0.2-0.5毫米),然后由医生将其粘接在牙齿的唇侧(外侧面)。这是一种间接修复法。
· 树脂充填:
· 优点: 现代树脂材料颜色选择丰富,优秀的医生可以将其抛光得非常光亮,达到以假乱真的效果。
· 缺点: 树脂本身存在老化问题。时间长(通常3-7年,取决于维护情况)可能发生染色(咖啡、茶、烟渍等)、磨损,表面光泽度会下降,边缘可能出现着色线。
· 瓷贴面:
· 优点: 美学效果的“天花板”。陶瓷的透光性、色泽和质感都极接近天然牙釉质,颜色非常稳定,几乎永不染色,表面光泽度可长期保持。
· 缺点: 陶瓷材质脆,受到巨大外力时可能崩裂。
· 树脂充填: 强度较低,主要用于修复承受咬合力较小的前牙。对于大面积的缺损,其抗裂性能相对较弱。
· 瓷贴面: 强度高,耐用性好。优质的瓷贴面在正常使用和良好维护下,其使用寿命可长达10年甚至20年以上,被誉为“半永久性”修复。
· 树脂充填: 属于微创修复,最大程度地保留了健康的牙体组织。
· 瓷贴面: 需要磨除一层薄薄的牙釉质,为贴面提供空间和固位力。这个过程是不可逆的。虽然磨除量很少,但一旦制作并粘接贴面,这颗牙齿通常就需要终身佩戴贴面或进行其他形式的修复。
· 树脂充填更适合:
· 较小的龋洞补牙。
· 轻微的牙齿形态调整(如小缺口、短小牙)。
· 较小的牙齿间隙关闭。
· 轻度变色牙的遮盖(效果有限)。
· 瓷贴面更适合:
· 中度至重度的四环素牙、氟斑牙等染色牙。
· 改善牙齿形态、大小(如瓜子牙、发育不良)。
· 关闭较大的牙缝。
· 轻度牙齿不齐的“微创美学矫正”。
· 修复树脂无法达到的、对美学要求极高的病例。
简单来说,树脂充填是经济实用的“高效修补”,而瓷贴面是高端精致的“美学重塑”。
最终的决定权在于您,但务必听取专业牙医的建议。医生会全面检查您的口腔状况,结合您的诉求、预算和预期,给出最合适的个性化方案。无论选择哪种方式,术后的精心维护和定期口腔检查都是让笑容长久绽放的关键!
以下是树脂充填与瓷贴面修复半年后效果图

