每天都刷牙为什么还要洗牙呢?

卢松林医生 发布于2025-08-15 17:49 阅读量149

本文由卢松林原创

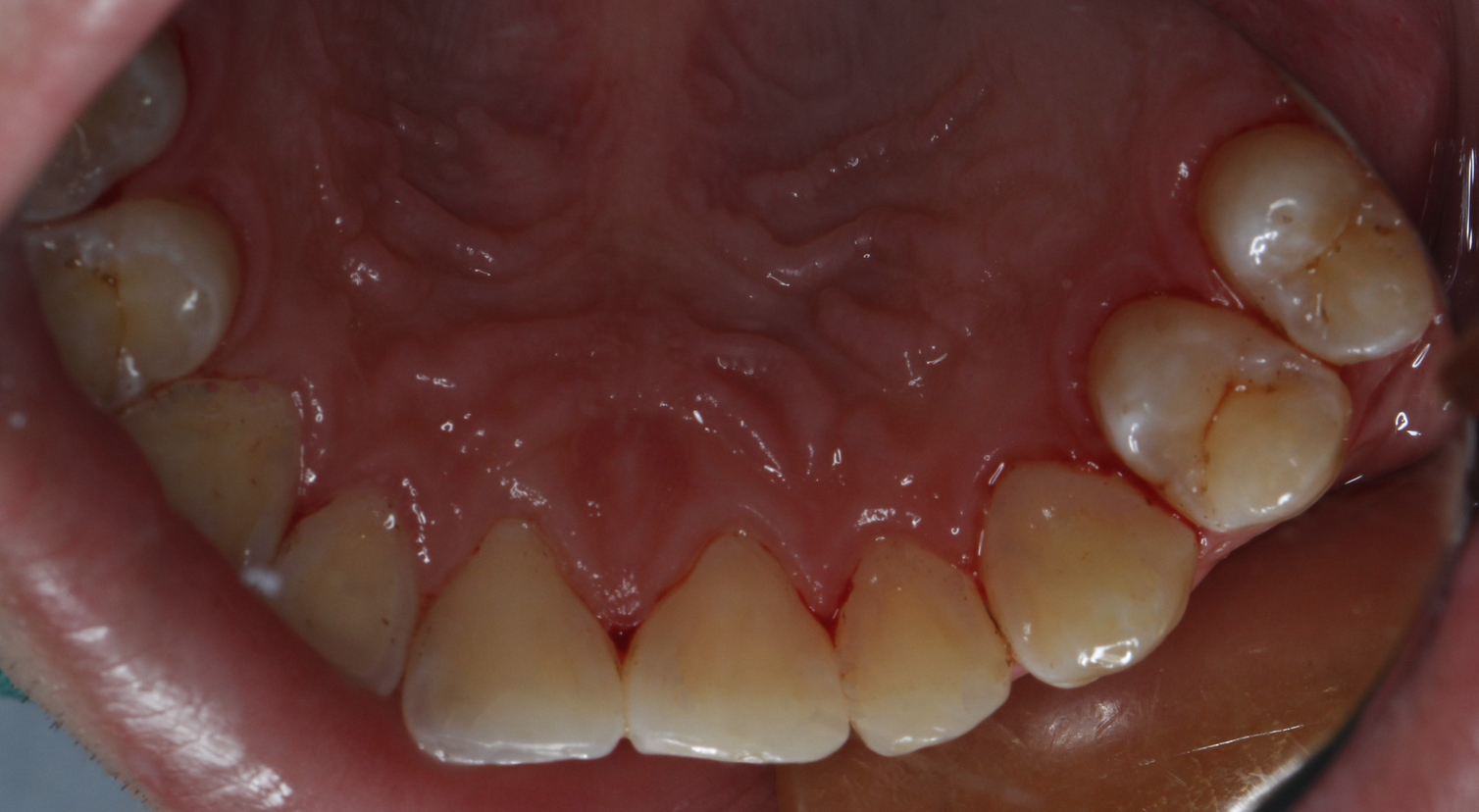
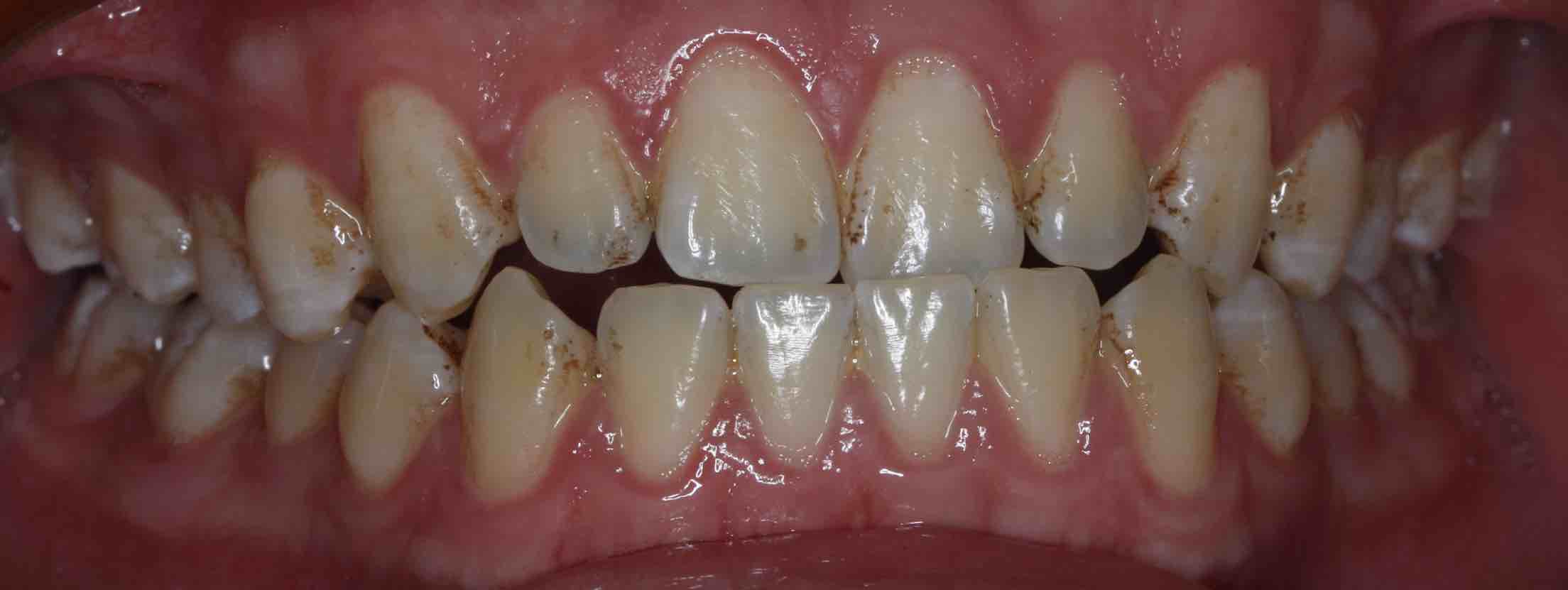
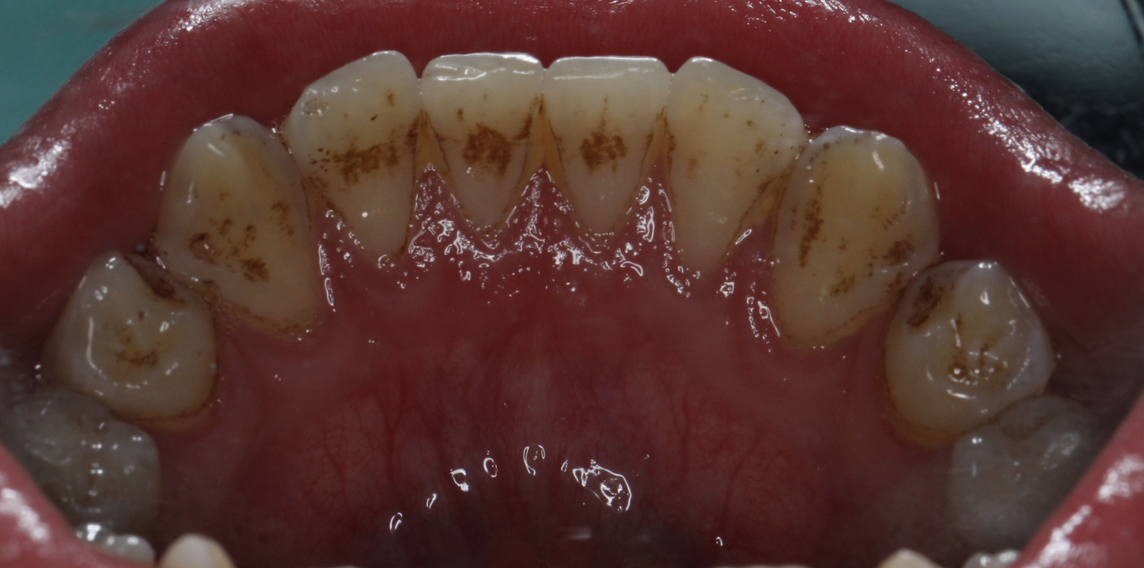
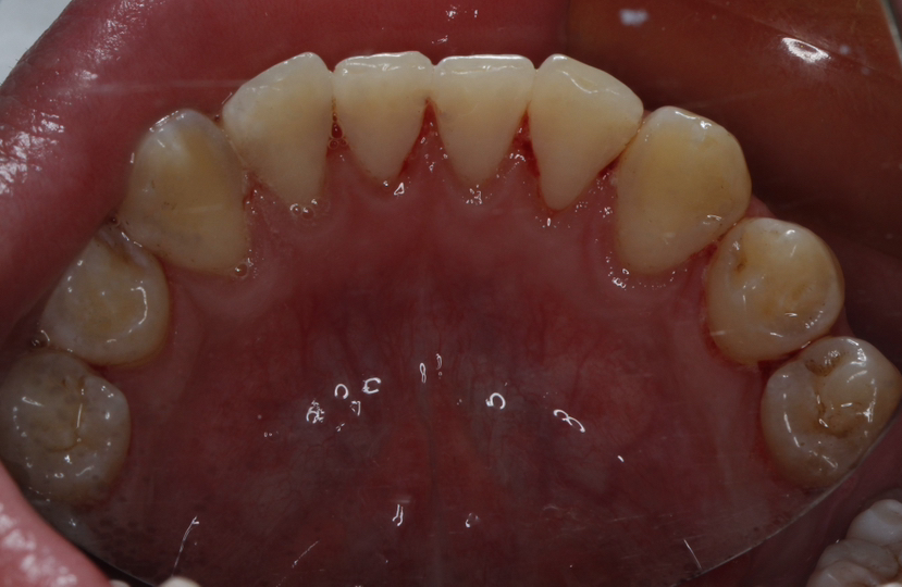
大家每天刷牙是口腔清洁的基础,但光靠刷牙,并不能完全清除顽固的牙结石和深藏的牙菌斑。洗牙,专业名称叫“龈上洁治术”,就是通过超声波震动或者手工器械,有效去除附着在牙齿表面和牙龈边缘的菌斑、软垢、色素和牙结石。这就像给牙齿做一次“深度大扫除”!

  每天刷牙≠不需要洗牙!即使每天认真刷牙,也只能清洁约70%的牙面。牙缝、牙龈沟等隐蔽部位残留的食物残渣和细菌会逐渐形成菌斑并矿化为牙结石。这些牙结石不仅会导致牙龈出血、口臭,还会引发牙周炎,最终可能导致牙齿松动甚至脱落!


图片发自160医护App



图片发自160医护App



图片发自160医护App



图片发自160医护App



图片发自160医护App



图片发自160医护App
相关疾病: