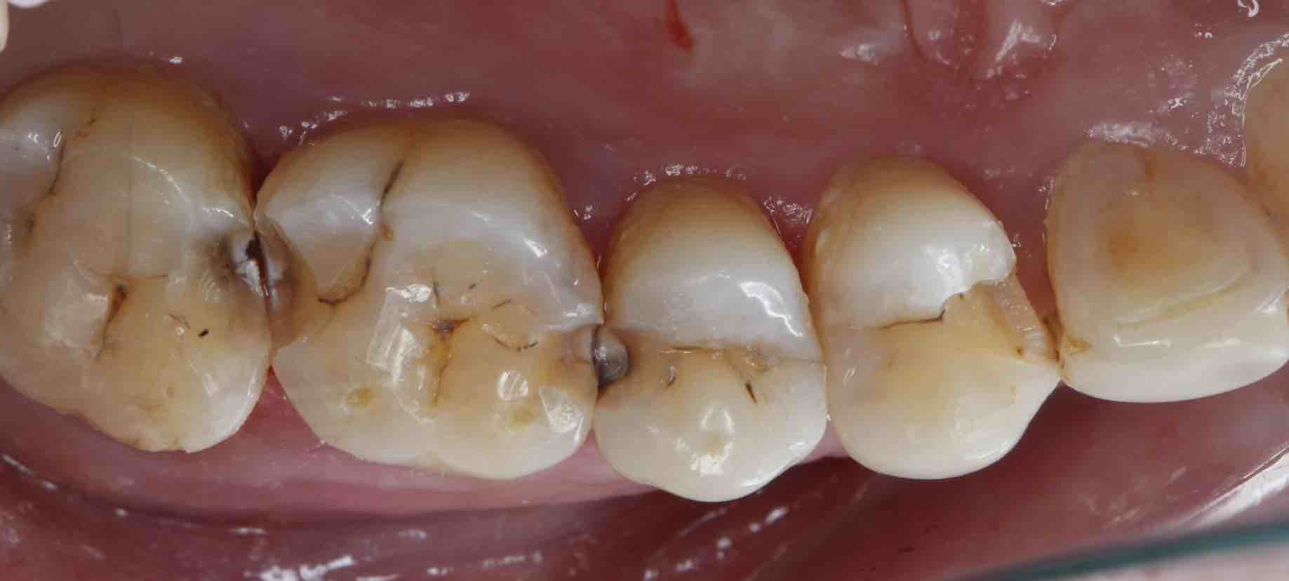
想要有一口好牙齿,做起来也不难。但是,单单口腔清洁这件小事,大多数人都没做好。你以为刷遍了牙齿的每个角落,但可能只刷了一半的牙。牙齿的外侧面、内侧面、咬合面都可以靠牙刷清洁但牙刷的刷毛却无法有效进入牙缝隙刷牙后仍有食物残渣等残留于牙齿邻面部位导致邻面龋坏。因为牙齿是肩并着肩排排站的,所以还有两个面,我们既看不到,也刷不到,称为"邻面",两个邻面就形成了一个"牙缝",在邻面发生的蛀牙就是我们所说的“邻面龋”。
平时不易察觉,需要定期检查,这位患者就是右下后牙没有清理到位导致一个接着一个的发生龋坏,一坏坏两颗。可以通过嵌体进行修复。嵌体是通过口外制作,相对于传统补牙制作更为精细,比色更为精准,颜色更加逼真,且可以避免口内唾液的污染,减少继发龋的发生。我院还可以通过瓷睿克进行数字化口扫。建模打印,精准且高效,实现当天制备,当天佩戴。







