别把可乐当水喝,当心可乐牙!

卢松林医生 发布于2025-08-02 13:27 阅读量281

本文由卢松林原创

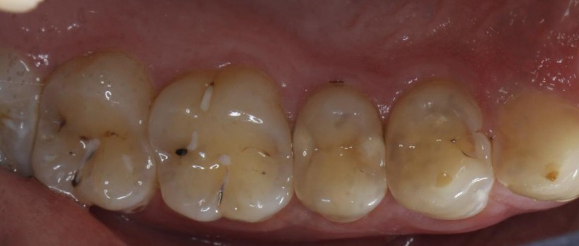
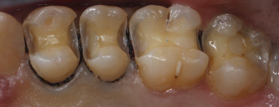
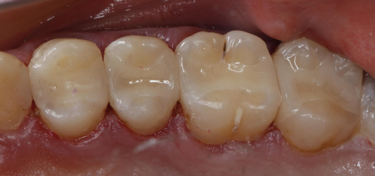
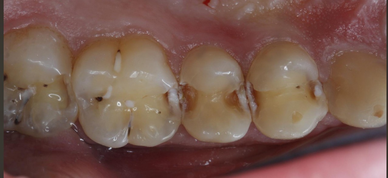
门诊经常遇到常年把碳酸饮料当水喝的患者,严重损伤了牙齿的健康,检查发现牙齿脱矿.龋坏特别严重,特别是邻面龋坏,治疗也非常麻烦,很多情况下,简单的补牙都解决不了长久性问题,想要经久耐用,可以选择嵌体,高嵌体,全瓷牙冠修复,更重要是杜绝不良嗜好;有图有真相!我们采用德国西诺德瓷睿刻即刻修复系统,等待1小时,完成当日修复。


图片发自160App


图片发自160App


图片发自160App


图片发自160App


图片发自160App


图片发自160App


图片发自160App


图片发自160App


图片发自160App
相关疾病: