有些患者觉得治疗都做完了,我牙也不痛了,还做啥冠修复?但是还是要应付一下医生,于是,表面:好的好的其实,你的想法是内心:不是多此一举吗?于是你抱着侥幸心理,让牙齿在没有“防护衣"的情况下咬着小坚果,嗑着瓜子,牙齿咬裂了,前面所做的努力最终功亏一篑。
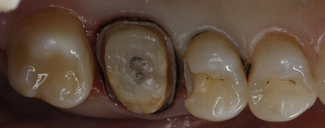
那是因为做完根管治疗后,牙齿就失去了牙髓,就像大树树干被掏空了,失去营养输送通道。失去牙髓供给营养后的牙齿就像一棵枯树般脆弱,稍微一用力咀嚼,剩余的残冠就会劈裂。
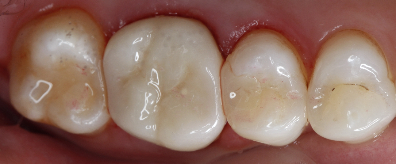
根管治疗后的牙冠修复是避免牙齿折断、延长使用寿命的关键步骤。根据牙齿位置和需求选择合适材料,并严格维护,可确保修复效果长期稳定。越早保护,越省成本!
所以,为了避免这种风险的出现,医生通常会在根管治疗修复后,为患者做一个新的牙冠或者高嵌体将牙齿保护起来。

