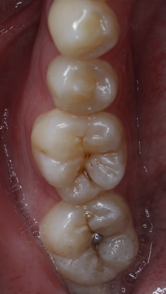
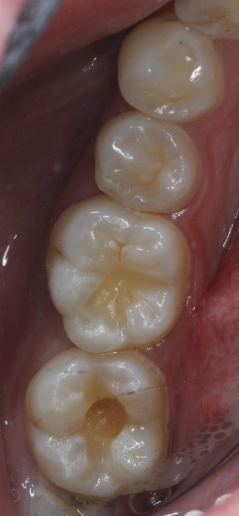
牙齿是我们咀嚼食物、展现笑容的重要工具,但蛀牙(龋齿)却可能悄悄破坏它的健康。当牙齿出现“小黑洞”时,补牙就成了恢复牙齿功能的常见方法。今天,我们就来聊聊关于补牙的那些事。
蛀牙是由细菌分解食物残渣产生的酸性物质腐蚀牙齿造成的。初期可能仅表现为牙面黑线或敏感,但若不及时处理,龋洞会加深,导致牙髓感染、剧烈疼痛甚至牙齿脱落。补牙能清除腐烂组织,填充缺损,防止蛀牙进一步恶化。
1. 检查与诊断
医生通过目视或X光片确定龋坏范围和深度。
2.清除腐质**
用牙钻或激光去除蛀坏部分,确保剩余牙齿结构健康。
3. 消毒与填充
清洁窝洞后,填入补牙材料(如树脂、玻璃离子等),塑形并固化。
4. 抛光调整
调整咬合高度,抛光表面,恢复牙齿自然外观。


1. 复合树脂
- 优点:颜色接近真牙,美观耐用,适合前牙。
- 缺点:价格较高,强度略逊于银汞。
2. 玻璃离子水门汀
- 优点:释放氟化物防蛀,适合儿童或近牙龈的蛀牙。
- 缺点:耐磨性较差。
3. 银汞合金(现已少用)
- 优点:强度高、价格低。
- 缺点:不美观,含汞争议(目前研究显示安全性可控)。

1. 短期敏感:补牙后1-2天可能对冷热敏感,通常自行缓解。
2.避免过硬食物:24小时内勿用补牙侧咀嚼硬物,防止材料脱落。
3. 保持口腔卫生:每日刷牙+牙线,定期检查,预防新蛀牙。
4. 及时复诊:若填充物脱落或出现持续疼痛,需尽快就医。
-正确刷牙:每天2次,每次2分钟,使用含氟牙膏。
- 限糖饮食:减少碳酸饮料、糖果等高频糖分摄入。
- 定期洗牙:每年1-2次洁牙,清除牙菌斑和牙结石。
- 补牙会疼吗?
A:浅龋通常无痛;深龋可能需局部麻醉,过程基本舒适。
- 补牙能用多久?
A:一般5-10年,取决于材料、护理及牙齿使用情况。
牙齿问题无小事,早发现早治疗不仅能减少痛苦,还能节省费用(浅龋补牙仅需几百元,拖到根管治疗则可能上千元)。下次刷牙时,记得多关注牙齿的变化哦!