楔状缺损是发生在牙齿颈部的一种常见牙体硬组织疾病,表现为牙齿唇颊侧颈部硬组织逐渐丧失,形成由两个光滑斜面组成的楔形缺损。这种牙齿疾病在临床上极为常见,却往往被患者忽视,直到出现明显的牙齿敏感或疼痛症状时才引起重视。
一、楔状缺损的形成机制
1. 机械磨损的作用
不正确的刷牙方式是导致楔状缺损的主要原因之一。横向刷牙、使用硬毛牙刷、刷牙力度过大等不良习惯,都会对牙齿颈部造成机械性磨损。特别是在牙釉质与牙骨质交界处,这种机械磨损更为明显。
2. 应力疲劳的影响
牙齿在咀嚼过程中承受着复杂的应力。长期过大的咬合力会导致牙齿颈部应力集中,产生微裂纹,最终导致硬组织疲劳性损伤。这种损伤在牙颈部尤为明显,因为此处是应力集中区。
3. 化学腐蚀的参与
酸性物质对牙齿的化学腐蚀也是楔状缺损形成的重要因素。频繁摄入酸性食物、饮料,或患有胃食管反流等疾病,都会增加牙齿表面的酸蚀风险,加速硬组织的丧失。
二、临床表现与诊断要点
1. 典型临床表现
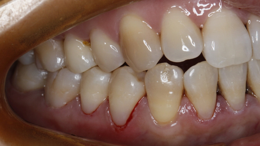
楔状缺损多发生在前磨牙和尖牙的唇颊侧颈部。缺损表面光滑、坚硬,边缘整齐,呈楔形。随着病情发展,缺损逐渐加深,可出现牙齿敏感、疼痛等症状。
2. 诊断与鉴别诊断
根据典型的临床表现即可作出诊断。需要与龋齿、牙颈部磨损等疾病相鉴别。龋齿病变部位质地较软,而楔状缺损表面坚硬;牙颈部磨损多呈碟形,与楔状缺损的形态不同。
三、预防与治疗策略
1. 预防措施
掌握正确的刷牙方法(Bass刷牙法),使用软毛牙刷,控制刷牙力度。减少酸性食物摄入,及时治疗胃食管反流等疾病。定期进行口腔检查,早期发现早期治疗。
2. 治疗方法
对于浅表的楔状缺损,可采用脱敏治疗。中等深度的缺损需要进行充填修复,常用材料包括复合树脂、玻璃离子等。深度缺损接近牙髓时,可能需要根管治疗。
3. 修复材料的选择
复合树脂具有良好的美观性和粘接性能,是修复楔状缺损的首选材料。玻璃离子水门汀具有释放氟离子的优点,但美观性较差。根据具体情况选择合适的修复材料。
楔状缺损的防治需要医患双方的共同努力。通过提高公众的口腔保健意识,纠正不良习惯,及时进行专业治疗,可以有效控制楔状缺损的发生发展,维护口腔健康。

