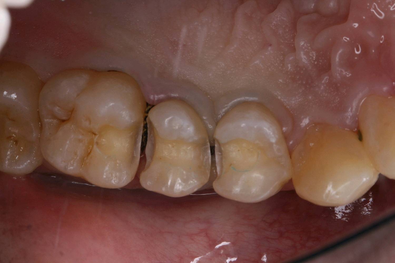
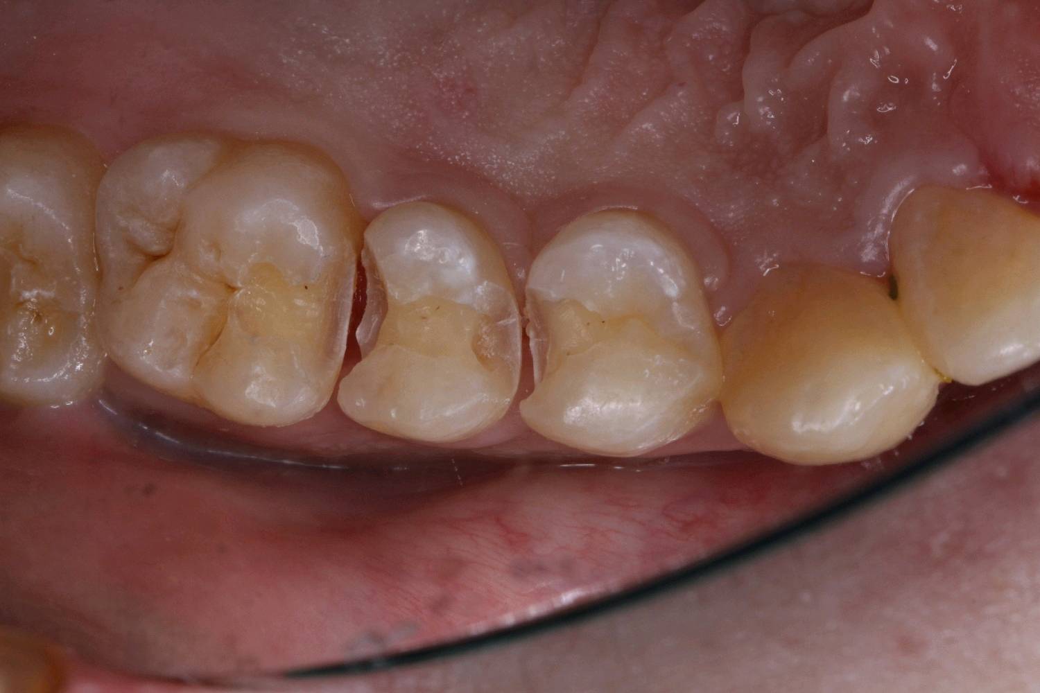
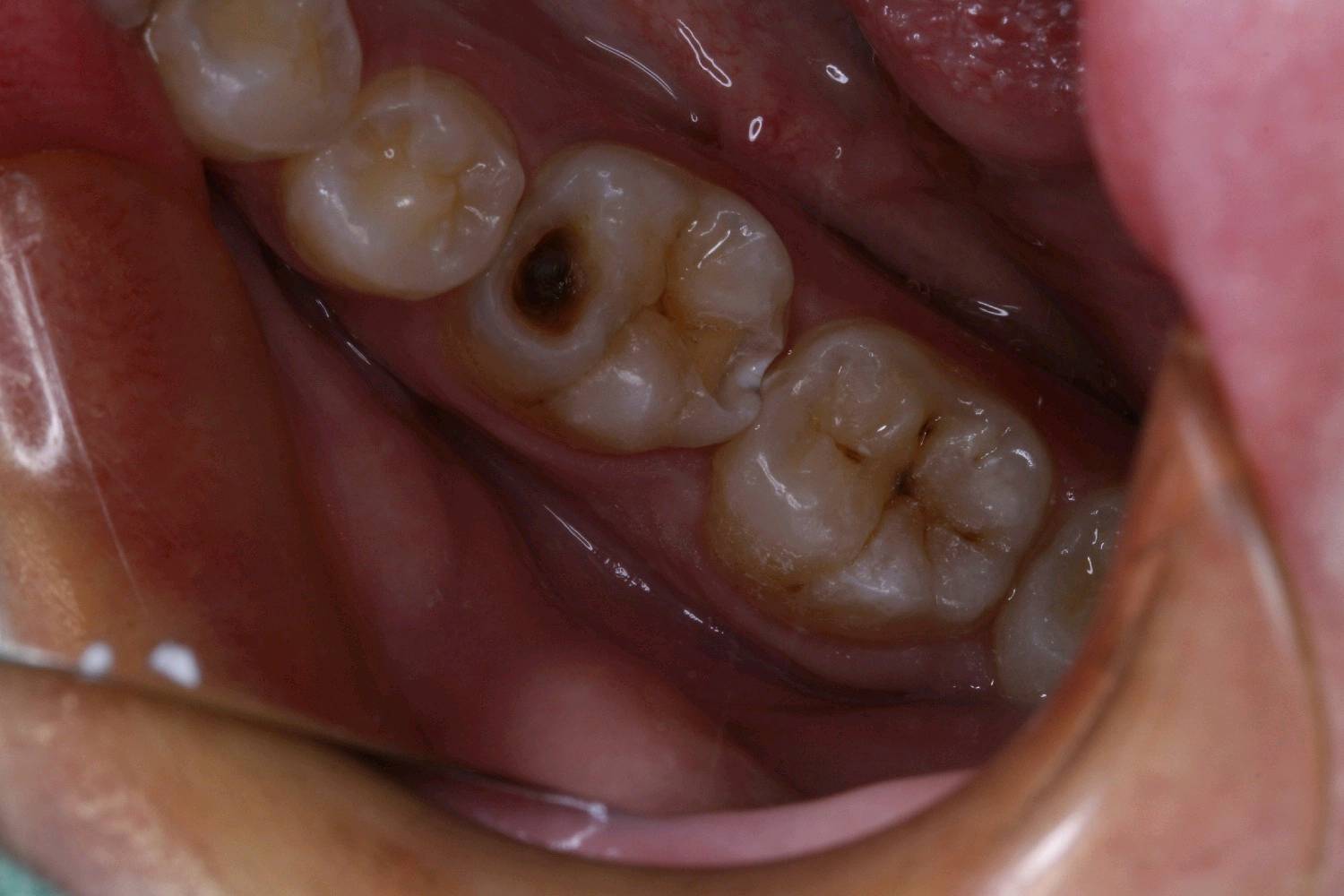
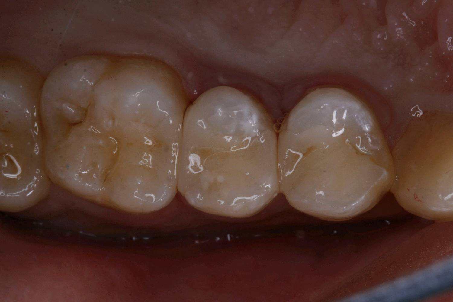
患者男24岁,自述右侧后牙食物嵌塞,无用牙线习惯。检查发现14,15,16,45,46 ,47邻颌面龋坏,探(-),扣(-),冷测正常,龋坏至牙本质中层,余无特殊。
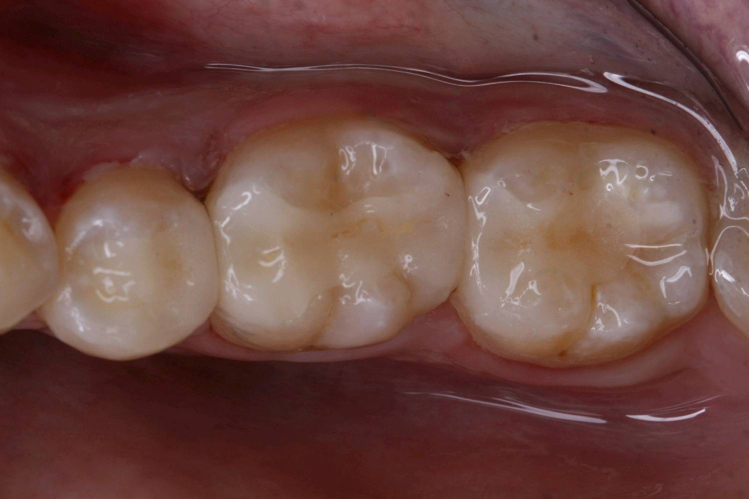
治疗计划:嵌体修复
食物嵌塞为细菌提供了良好的滋生环境,容易导致细菌大量繁殖,产生酸性物质,从而增加蛀牙的风险。最好是用嵌体修复,能更好的恢复牙体的形态和功能。想要有一口好牙齿,做起来也不难。但是,单单口腔清洁这件小事,大多数人都没做好。你以为刷遍了牙齿的每个角落,但可能只刷了一半的牙。刷毛无法有效进入牙缝隙刷牙后仍有食物残渣等残留于牙齿邻面部位导致邻面龋坏。平时不易察觉,需要定期检查,为了更恢复邻接关系,预备制作嵌体,更好的恢复了牙体形态,增加了固位力,恢复正常的邻接关系,可以得到更好洁。基牙预备后,通过德国西诺德 CEREC ,当日完成即可佩戴,患者满意。







