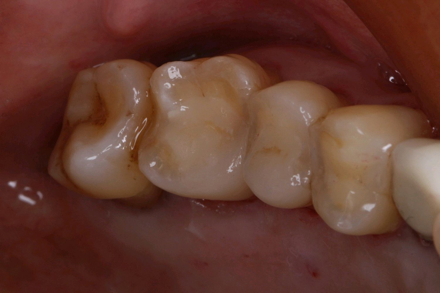
患者女六十岁,左上后牙咬硬物致牙体缺损,探(-),叩(-),无隐裂,根尖无阴影。冷测正常,余无特殊。
治疗方案:嵌体修复
像这种缺损面积比较大的牙齿,单纯补牙的话,不耐用。这时候就可以选择嵌体修复。嵌体牙体预备量少,能够保持牙齿外形的完整,减少对牙髓的刺激。还有就是嵌体更耐磨使用寿命较长,从而减轻了患者频繁补牙的痛苦。通过 CEREC 扫描更加精准有效的提高了我们工作效率,当天即可戴牙,正常使用。
现代牙体修复逐渐向"微创"、"循序渐进"的理念转变下,大家要改变固有的思维,只有合适自己的牙齿情况的修复方式才是最好的修复方式。




