前牙贴面修复案例

卢松林医生 发布于2024-06-03 17:56 阅读量226

本文由卢松林原创

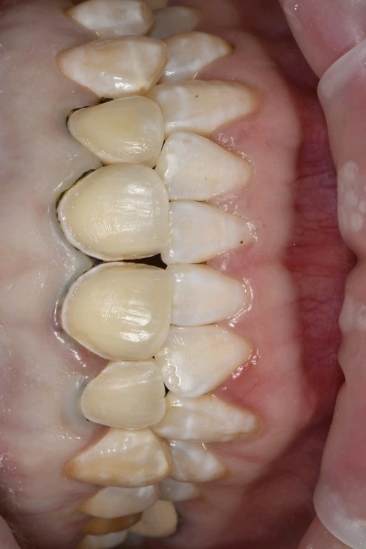
患者女,三十岁,氟斑牙,牙齿呈黑褐色,牙龈颜色正常,自觉影响自身形象,要求美白。治疗计划:前牙瓷贴面修复。瓷贴面尤其适合四环素牙,氟斑牙患者的审美需求。在尽量少磨牙的情况下,通过粘接技术,覆盖牙齿表面,恢复牙齿形态和色泽。很好的保护了天然牙。最终修复结果:完美的遮盖住四环素牙颜色的通露。使牙齿的形态色泽间隙自然流畅。通过贴面的修复使患者可以恰如其分的展露自然的微笑,赋予了人生另一阶段蜕变式的崭新意义。


图片发自160App


图片发自160App


图片发自160App


图片发自160App


图片发自160App


图片发自160App
相关疾病: