饵激光拆除瓷贴面

卢松林医生 发布于2024-05-18 09:02 阅读量459

本文由卢松林原创

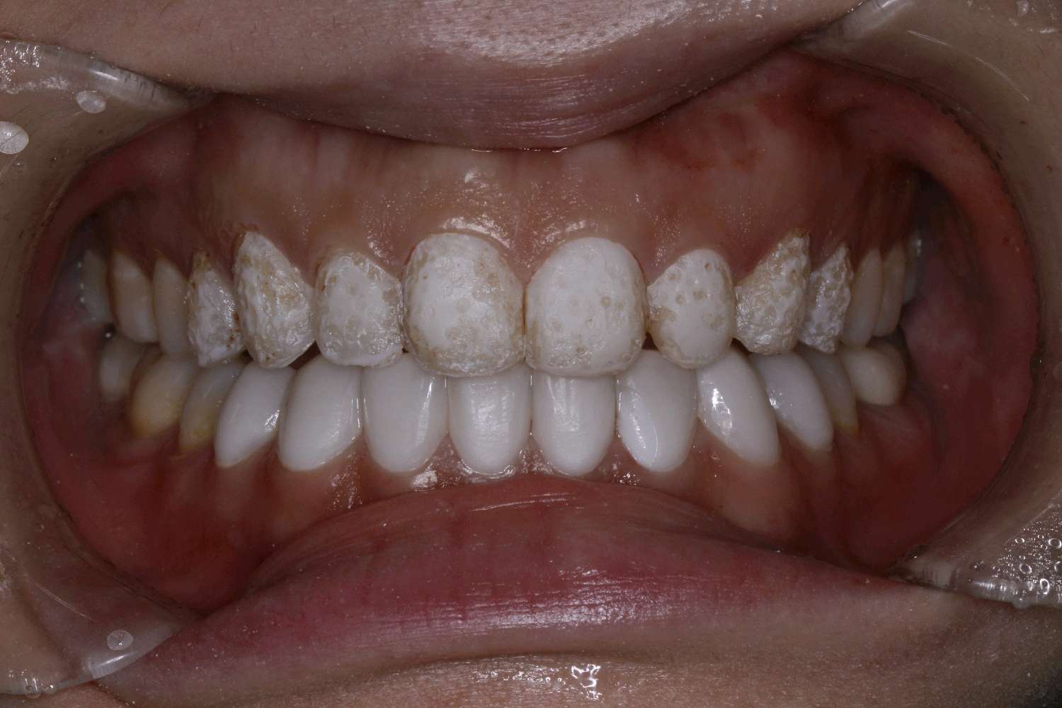
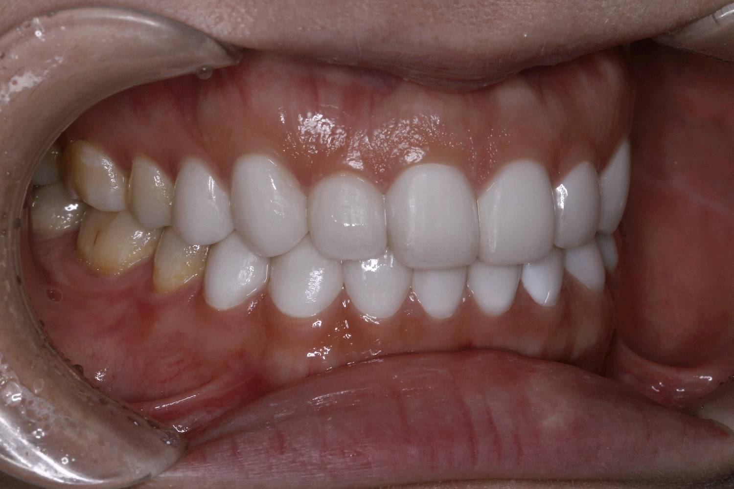
患者女四十岁,外院做瓷贴面16颗,刷牙出血,牙龈红肿出血,自觉异物感,色泽偏白,不美观,要求拆除其余修复体。听闻本院有饵激光拆除贴面的方法,特意从外地赶来,选用饵激光拆除尽量减少基牙损伤。传统的拆除方法像磨牙一样,一颗两颗还行,多颗的话会很辛苦,而且不可避免会磨掉自己的牙齿。所以相对于传统的拆卸方法,饵激光拆除用时会比较短,患者基本感觉不到疼痛,大大减少了拆除瓷贴面时对牙齿的损伤。无创,无痛,且高效。拆除瓷贴面后,精细的抛光打磨。恢复本有牙体形态和色泽,患者满意。

术前


图片发自160App


图片发自160App


图片发自160App

术后


图片发自160App
相关疾病: