全冠修复案例分享

卢松林医生 发布于2024-05-02 20:41 阅读量339

本文由卢松林原创

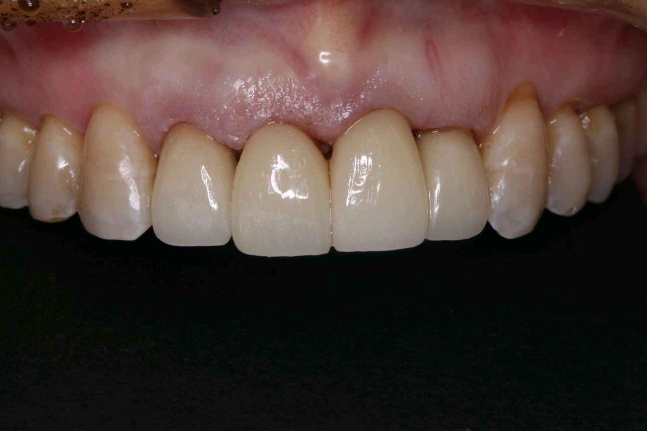
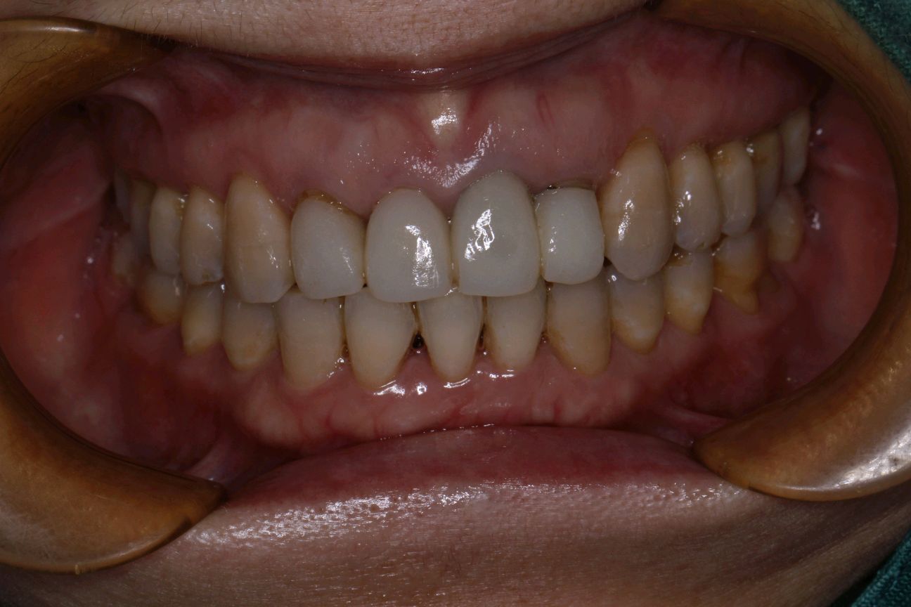
患者女,三十岁,11、12、21,22牙已行根管治疗+烤瓷全冠修复。由于长时间烤瓷牙的佩戴,导致牙龈边缘发黑,边缘不密合,颈缘处牙龈组织出现"黑线"。腭侧部分也出现了崩瓷的现象。对于这种情况,建议患者尽早重新修复,避免二次伤害。患者最终选择重新修复,也给出患者合理的方案,患者选全瓷冠修复,与今日佩戴完毕。边缘密合度良好,形态色泽自然美观,患者满意。




图片发自160App

术前


图片发自160App

术中


图片发自160App

术后


图片发自160App
相关疾病: