在我们身边有很多老年朋友口腔内都有缺失牙,有些老年朋友还会出现全口牙齿全部缺失的情况。由于身边的现象是:往往年纪越大,牙齿缺失的可能性及缺失数目就越大,不免令人猜想,人年纪大了自然就会掉牙吗?
事实上,成年人牙齿缺失的最常见的原因是牙周炎,失牙是未经治疗的牙周炎的最终结局。尽管从流行病学角度,牙周炎的患病率和严重性随年龄增高而增加,但是牙周炎的发生与老龄并不存在必然的联系,而更可能是相关危险因素长期作用的结果。
我们的牙根包埋于骨头和牙床中,就像一颗在土壤中扎根的大树,而罹患牙周炎的牙齿,好似发生了水土流失,牙床和骨头发生吸收,大树扎根的基础动摇了,就会引起一系列的问题。
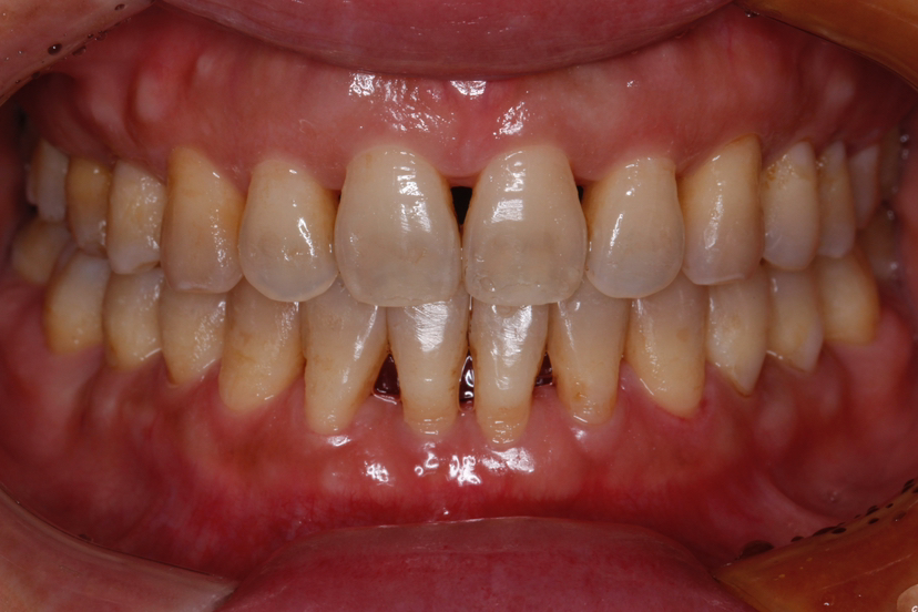
牙周炎可能出现的表现有:牙龈(牙肉)出血、变成暗红色、肿胀、松软脆弱甚至流脓,露出的牙齿变长,牙根表面有牙结石,牙齿松动或移位、咀嚼无力、刷牙出血、口腔异味等。
当出现以上症状,应寻求口腔科医师的帮助,全面系统的检查,确诊后采取有效的治疗程序,清除和控制致病因子,减缓“水土流失”,重建稳定功能的牙列并满足美观的需求。

因牙周炎缺牙后,首先应做好基础治疗,经彻底和完善的牙周治疗方可进行后续修复。常见的修复手段有固定桥、活动义齿和种植牙等。
种植牙技术与其他缺失牙修复方法相比,有避免了损伤邻近的牙齿、咀嚼功能好、舒适美观、为以往不能固定义齿修复(严重牙床吸收的无牙患者、后牙游离端缺失)的病例提供了可能,远期预后佳、能预防牙床进一步吸收等诸多好处。