很多人觉得刷牙是一件小事,其实不然。正确的刷牙方法能有效地清除牙齿及牙周组织菌斑和软垢,可起到预防龋齿和牙周病的作用,而错误的刷牙方式,会毁掉我们的牙齿!
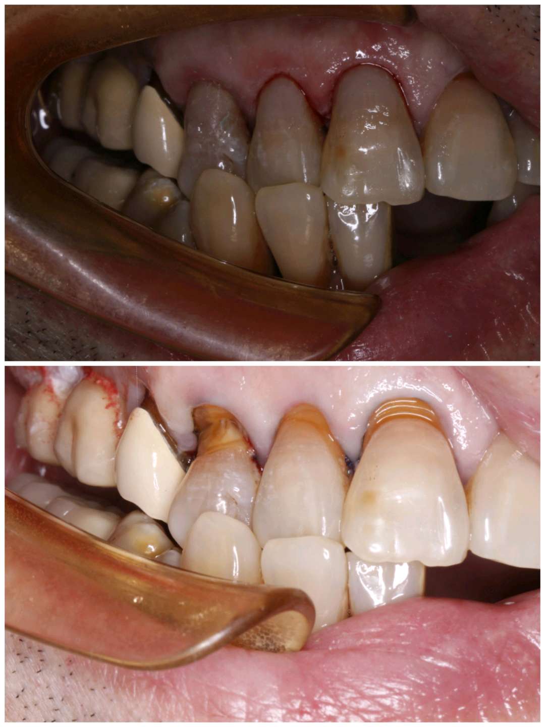
有些朋友常牙痛,遇冷热酸甜便觉得牙酸,总以为是蛀牙闹的,殊不知也很有可能是"楔状缺损"导致。
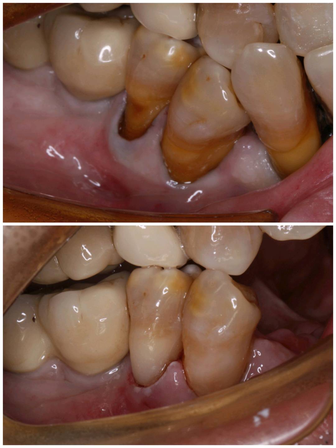
它是牙齿颈部经过缓慢消耗而形成的缺损,呈" V "状,由于它外形酷似木匠用的楔子,因此称为"楔状缺损"。造成楔状缺损的原因?
1、不正确的刷牙方法。横刷法是发生楔状缺损的主要原因,依据如下:用力横刷的人常有典型的楔状缺损,而不刷牙者很少发生楔状缺损;唇向错位的楔状缺损常比较严重;实验证明横刷法刷牙作为单一因素,即可发生牙颈部缺损等
2、口腔酸性环境。喜吃酸食、胃食管反流以及唾液腺的酸性分泌物,可使牙颈部硬组织脱矿、变软,受摩擦后容易发生缺损。
3、牙颈部的结构薄弱 牙颈部釉牙骨质交界处是整个牙中釉质和牙骨质覆盖量最少或无覆盖的部位,耐磨损能力最低,受到摩擦后容易发生缺损。
4、牙体组织应力疲劳。颊侧牙颈部是咬合时应力集中的部位,在长期咀嚼运动过程中,可出现疲劳性微小损伤,降低牙颈部硬组织的抗机械磨损和化学腐蚀能力,从而容易出现局部缺损。
希望各位能使用正确的刷牙方法。调节饮食习惯,纠正不良的咬合习惯。更好的预防楔状缺损的发生。



