很多朋友会在不经意间,或是刷牙照镜子自己发现,或是大笑时被朋友发现,自己的牙齿上的沟沟变成了黑色,起初或许还会以为是食物残渣,但随后便可能会发现,沟的黑色怎么刷牙也刷不掉。
出现这种情况,其实您的牙齿可能是得了“窝沟龋”,也就是说,牙齿表面的窝、沟型的结构发生了龋坏,即老百姓说的蛀牙。
或许您会产生疑问,蛀牙不是爱吃糖的小朋友才会有的吗?成年人也会有龋齿吗?
事实上,成年人也会患有龋齿,龋病的原因有很多,如过多或过频繁地摄入含糖食物与饮料、食用较粘的食物、口水分泌较少、未做好个人口腔卫生维护等等。
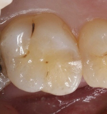
例如,这位女士的上后牙便是发生了窝沟龋,(如图1)

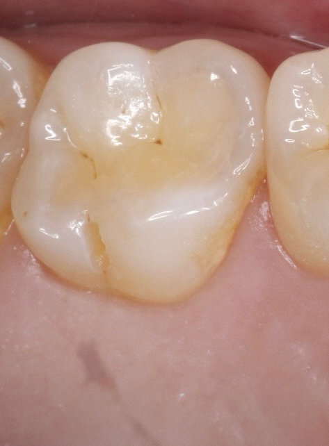
发现自己有窝沟龋后不用慌张,就医时,医生会在最大限度保留健康牙体组织的原则下 ,将龋坏的部分用器械彻底去除干净,(如图2)

去除龋坏部分以后,医生会使用与牙齿硬度(弹性模量)、颜色相近的复合树脂材料将去龋后的洞型充填起来,并修整外形,使得患牙恢复到正常的形态颜色,恢复充分的咀嚼食物的功能,起到防止龋病进一步发展的作用。(如图3)

当我们的牙齿上出现了不能被刷牙刷去的黑色沟沟的时候,应寻求口腔医生的帮助。及时、尽早处理窝沟龋能减轻患者的经济负担,避免引起牙痛、残根甚至失牙等一系列后续的并发症。