传统的补牙方法是将龋坏部分磨掉,再用配制的补牙材料对牙齿进行填充,填充结束后再对其进行抛光。
随着医疗技术的提升,近年来,嵌体修复已经成为治疗牙体缺损的新宠。嵌体是为牙齿量身定做的修复体,通过黏合剂将其黏在有缺损的牙齿上,在形态上与牙齿高度吻合,硬度高、密闭性强,不易折断、不易脱落,减轻了患者频繁补牙的痛苦。传统补牙方法方便快捷,能一次完成,但是由于传统的补牙是在口腔内一次性完成的,整个操作过程易受到口腔唾液及一些客观因素比如面积过大、缺损部位特殊的影响,易引发脱落和继发龋,最终使牙齿寿命不长。
后牙牙体缺损会明显影响患者的咀嚼功能,故及时实施嵌体修复是十分必要的。因为瓷嵌体是在模型上做的,可以360°全方位吻合牙缺损,高度效仿原牙的凹凸咬合关系,牙体预备量较少,能够保持牙齿外形的完整,减少牙髓牙周刺激,保留更多的牙体组织。
嵌体是通过口外制作,相对于传统补牙制作更为精细,比色更为精准,颜色更加逼真,且可以避免口内唾液的污染,减少继发龋的发生。我院还可以通过瓷睿刻修复技术建模打印,精准且高效,实现当天制备,当天佩戴。
边缘密合性好、咀嚼倍感舒适,避免了传统补牙容易脱落、嵌塞食物并造成继发龋等问题。可谓是一举多得!
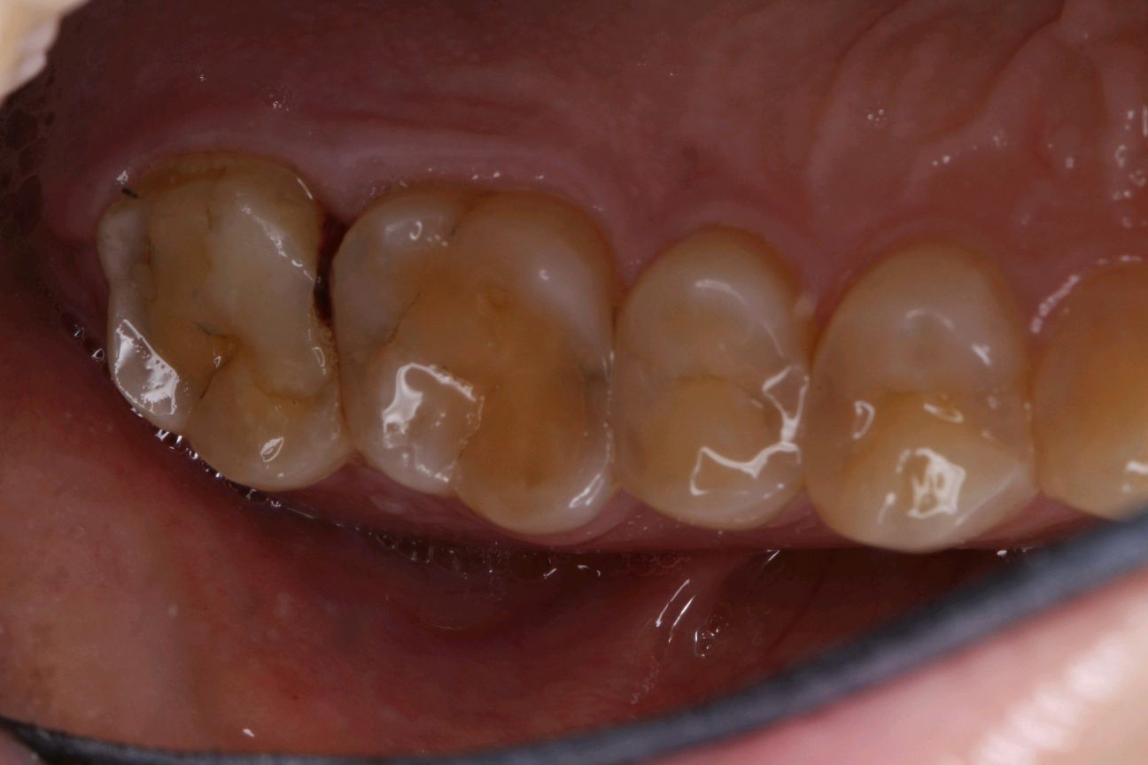
术前

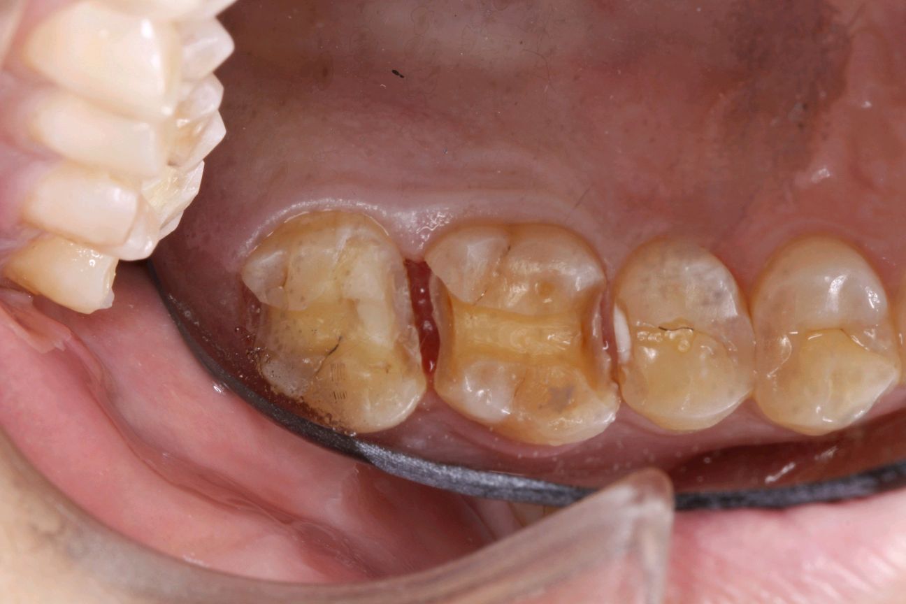
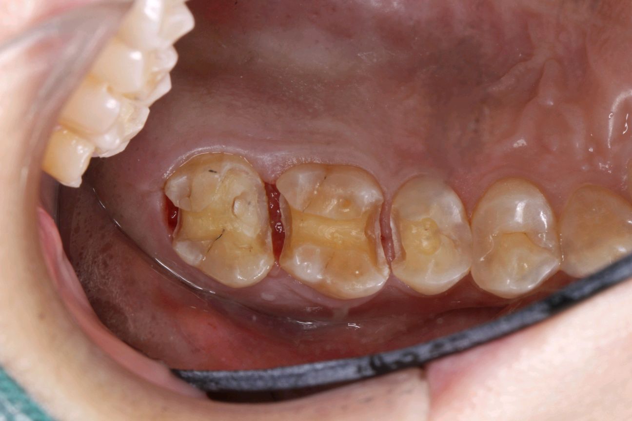
术中




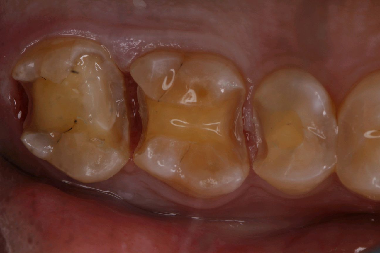
术后
