今天给大家分享一例:因严重磨耗的牙齿,做了嵌体和高嵌体修复病例。
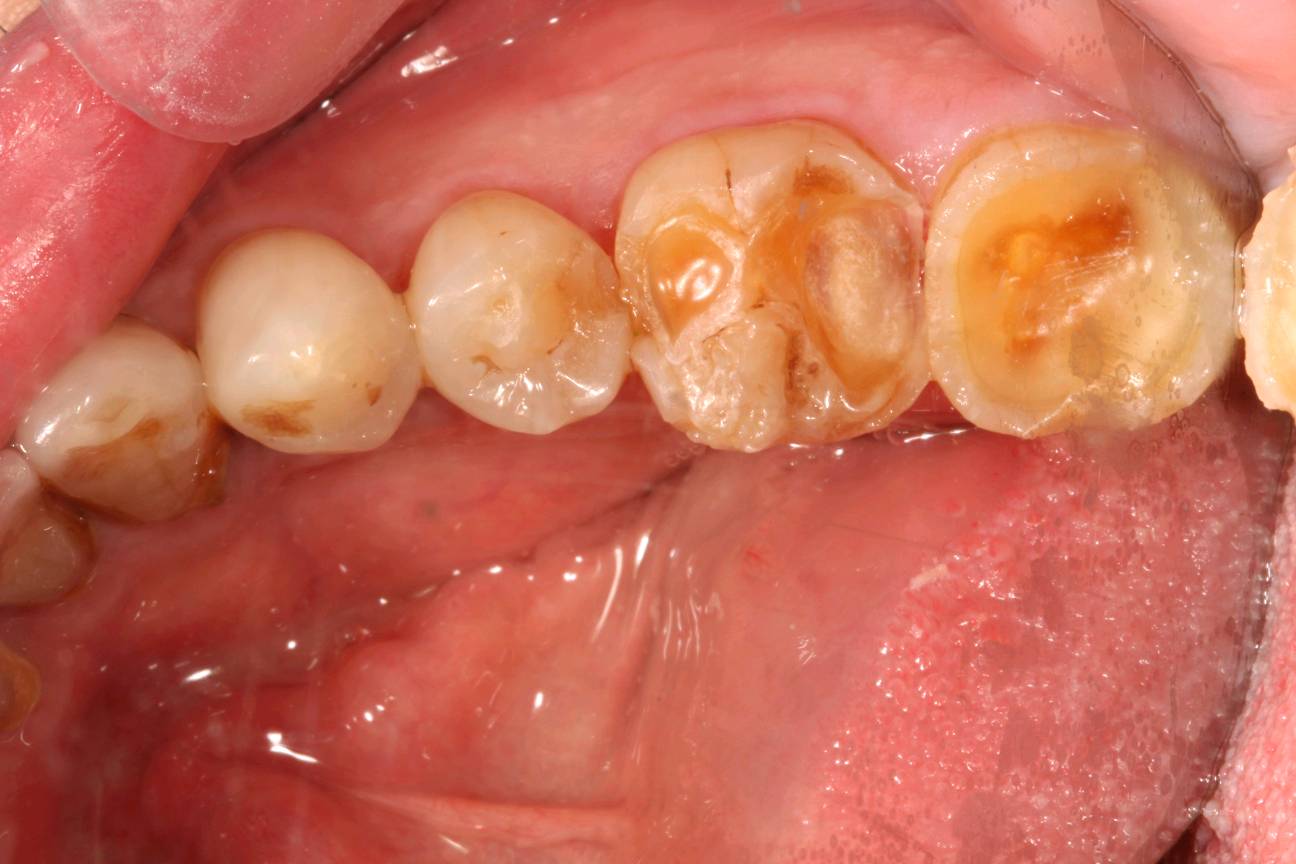
患者男,50 岁。 患者数年来自觉牙齿渐进性磨耗,近两年加重,咀嚼无力敏感,感觉吃东西时牙齿使不上劲,后牙敏感。前来我院就诊。
口腔检查: 36 、37 颌面重度磨耗, 叩痛(-),探略敏感,36 冷测同对照牙,37 牙冷测敏感, 不松动,牙龈无红肿。36远中邻颌面龋坏,龋坏至龈下 2mm, 全口口腔卫生一般,牙石(+),软垢(+)。
诊断:36、37 牙体缺损。
治疗方案:36 充填修复+嵌体修复。37 根管治疗后+高嵌体修复。
术前

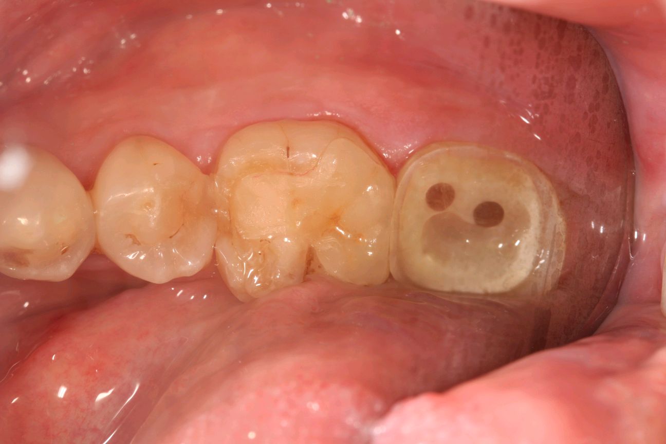
术中,去尽龋坏后

36 牙体制备后,取光学模型





椅旁CAD/CAM系统当日制作嵌体完成



36 喷砂处理基牙,75%乙醇溶液消毒基牙和修复体,氢氟酸酸蚀修复体,磷酸酸蚀基牙,隔湿,吹干,用双重固化树脂(RelyxUltimateClicer)做永久固定,清理多余粘固材料,固化,调合,抛光。
37 号牙,完善根管治疗后,内部重建。

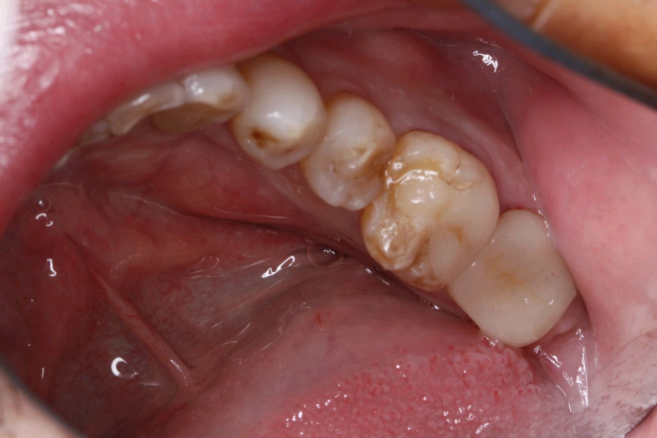
36、37 戴牙完成。术后片
