随着现代口腔保健意识的提升,大家都知道好好刷牙能保持口腔卫生,可是有些患者不知道不正确的刷牙方法也可能给牙齿带来伤害。在口腔科临床诊疗中,与刷牙有关的常见的牙体组织疾病是楔状缺损。
患者,男性,26岁,于 2 周前感觉左上后牙遇冷热刺激疼痛,逐渐加重,尤其在刷牙时,牙刷接触牙面时酸痛明显。1天前感觉相同部位牙齿进甜食时疼痛,遂来就诊。患者否认有自发痛、夜间痛及咬合痛。
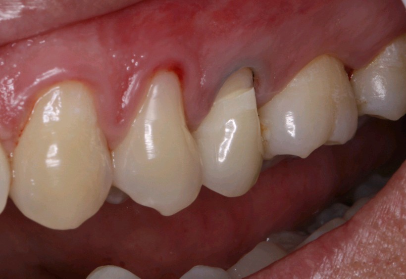
主诉部位检查:25颊颈部牙体组织呈楔形缺损,冷诊敏感,有探酸,无叩痛,无松动,牙龈无红肿,无退缩。正中咬合及侧方咬合时25 颊侧未扪及震颤。
诊断为:25、楔状缺损。
处理建议:25、建议试行充填治疗。
术前

术中,放置排龈线

术后

这里呢,还是建议大家正确地选用牙膏牙刷,采用正确的刷牙方式。爱护口腔牙齿。