随着大众对牙齿美观要求的提高,牙贴面是为了一种受欢迎的修复方法,那么什么事贴面呢?你可以简单比喻为装修房子时墙面贴瓷砖,不需要墙面进行过多的处理,只需要将喜欢某种颜色图案的瓷砖贴上,让整个墙改头换面。
专业一点来说,贴面修复是指在不磨牙或是尽量少磨牙的情况下,通过粘接材料,将一层薄薄的瓷料修复体固定在牙齿表面,从而达到恢复牙齿缺损或是改善牙色的一种方法。
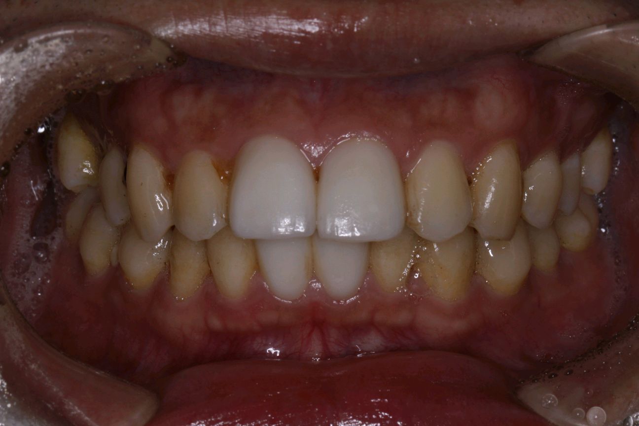
而这位患者在外院已进行了贴面修复,牙体预备量太大,牙齿敏感,色泽形态不满意,特地从香港来就诊,要求拆除后重新修复。
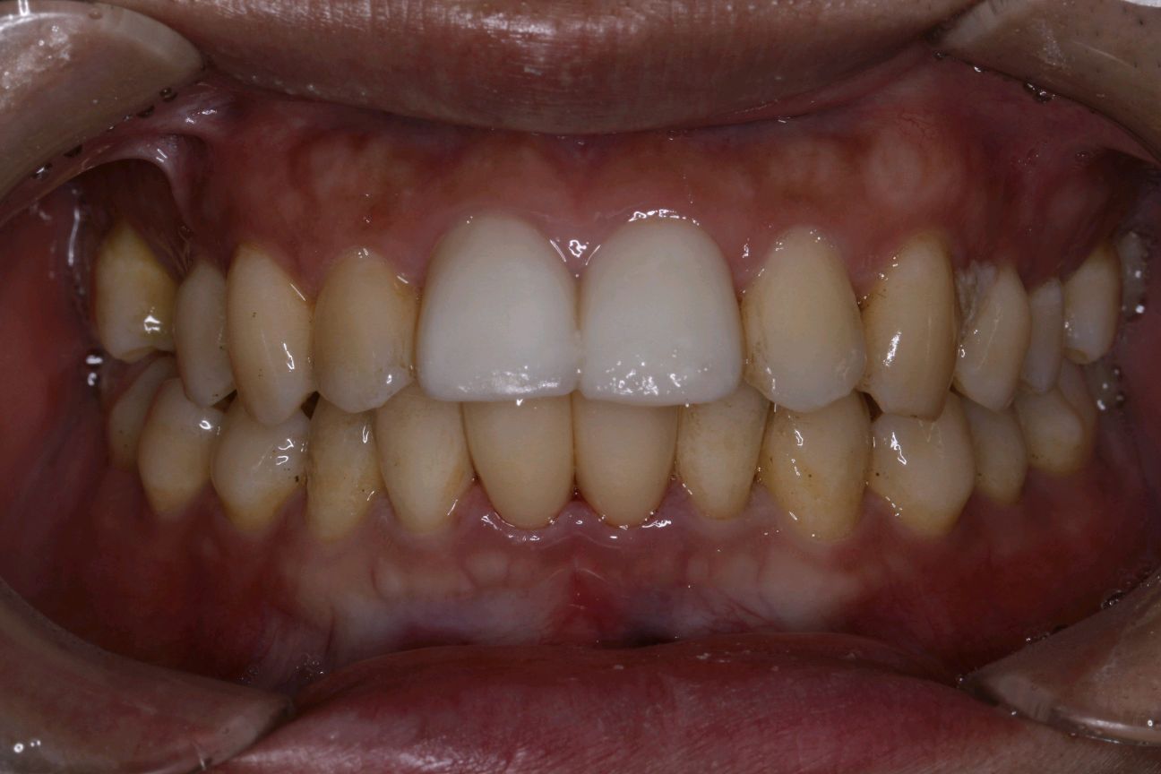
治疗计划:饵激光拆除瓷贴面+抛光预备+德国西诺德 CEREC 口扫+当天贴面粘接
最后提醒大家做牙齿贴面之后,要做好口腔维护工作,定期去医院检查贴面情况。最重要的是一定要去正规口腔医院去做,这样不仅能保证效果,还能减少对牙齿本身的伤害。
术前

术中


术后
