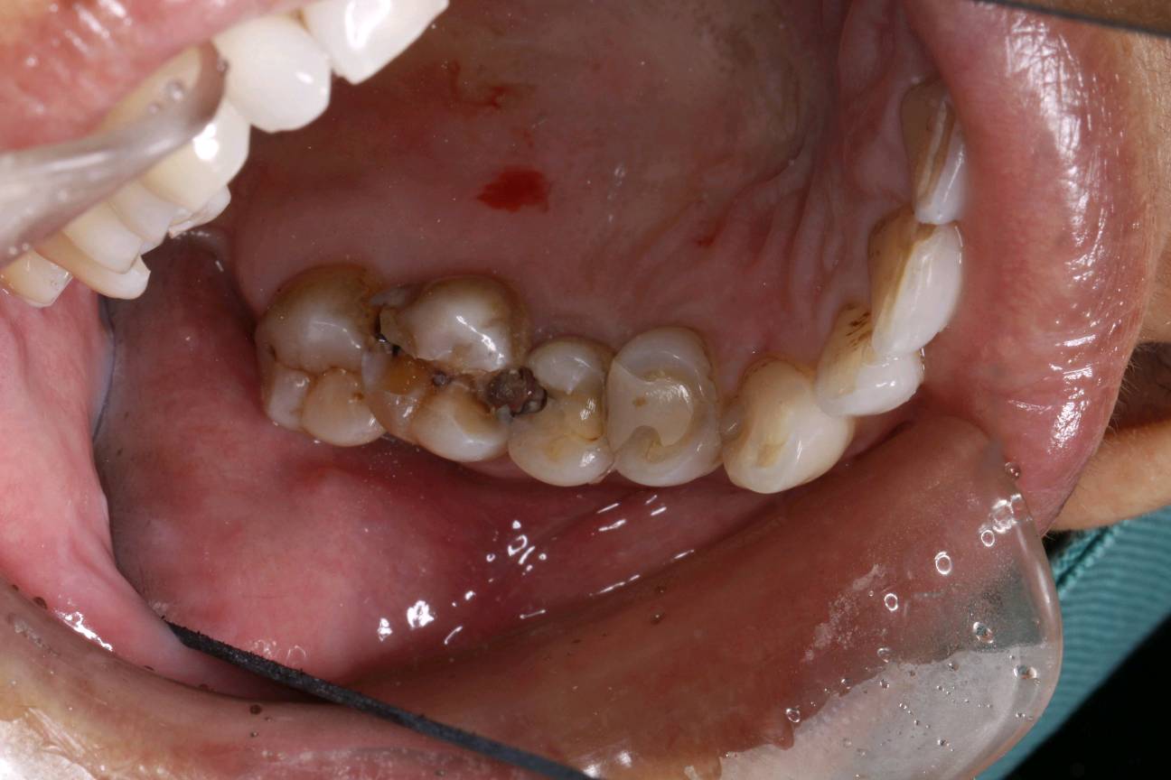
患者女,三十岁,15,17邻颌面龋坏,,16继发性龋坏。探(+-),叩(-),冷测试正常,余无不适。很多人牙体缺损面积较大,补牙后很会出现脱落的现象,还有的让选择简单的修复模式补牙,但大量的临床研究显示,牙科树脂充填材料会产生聚合收缩(树脂材料老化),形成微渗漏,引起继发龋(顺着充填材料周围,在牙齿上出现新的腐坏、变黑)。像这种面积比较大的龋齿单纯补牙的话,不耐用。这时候就可以选择嵌体修复。嵌体牙体预备量少,能够保持牙齿外形的完整,减少对牙髓的刺激。还有就是嵌体更耐磨使用寿命较长,从而减轻了患者频繁补牙的痛苦。通过 CEREC 扫描更加精准有效的提高了我们工作效率,当天即可戴牙,正常使用。
现代牙体修复逐渐向"微创"、"循序渐进"的理念转变下,大家要改变固有的思维,只有合适自己的牙齿情况的修复方式才是最好的修复方式。






