今天和大家分享一例种植连冠修复病例。
患者女,65 岁。右上 6、7 已做过两颗种植牙,因右上 5 松动,影响咀嚼,要求治疗。 口腔检查:右上 67 种植牙存,右上 5 叩诊+,探诊深牙周袋,冷热无反应,龈周-。X 线示 根尖周大面积阴影,颌面可见近远中折裂。诊断慢性根尖炎,牙根折裂。无法保留,建议拔除后,种植修复。
修复方案:拔除 5 号牙+种植,再 567 三颗连冠修复。
术前




先拔除 5 号牙,复诊牙龈愈合良好。

患者知情并同意治疗。抽静脉血30ml,制作CGF,0.1%聚维酮碘溶液口内粘膜消毒,0.5%聚维酮碘溶液口外皮肤消毒,4%盐酸阿替卡因肾上腺素注射液2.0ml浸润麻醉,牙槽嵴顶切开粘骨膜,翻瓣,见腭侧大面积骨缺损,球钻定位,先锋钻导向,骨质钻扩大种植窝,并攻丝,植入法国安卓建种植体4.0*10mm,上覆盖帽,腭侧骨缺损区植入bio-oss骨粉0.5g及CGF,并盖bio-Gide膜及CGF膜,严密缝合,常规医嘱,15天拆线。
进行 5 号牙种植术中

植入后 X 线照片

0.1%聚维酮碘溶液局部粘膜消毒,4%盐酸阿替卡因肾上腺素1.7mlX1支注射1.2ml局部浸润麻醉,切开翻瓣,暴露覆盖螺丝。拆下覆盖螺丝,局部冲洗,旋入愈合帽,加扭力15Ncm。明胶海绵填入,缝合后压迫止血,交代术后注意事项,观察30分钟后离院。
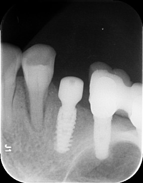
种植二期,拍片检查

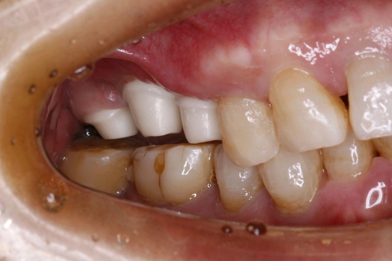
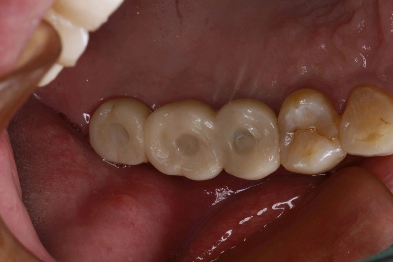
旋出愈合帽,局部冲洗吹干。在就位导板的引导下旋入种植基台,拍片确认基台到位。全瓷冠试戴,冠边缘密合性良好,邻接良好。
术中戴牙拍片


调合、抛光。患者对修复体形态颜色满意,确认后,基台加扭力35Ncm。置入特氟龙胶布,用双重固化树脂(RelyxUltimateClicer)做永久固定,清理多余粘固材料,固化,调合,抛光。
完成戴牙



常规医嘱,不适随诊。OHI口腔卫生宣教,刷牙、牙线、间隙刷使用宣教。