后牙嵌体修复案例分享

卢松林医生 发布于2024-03-25 18:11 阅读量827

本文由卢松林原创

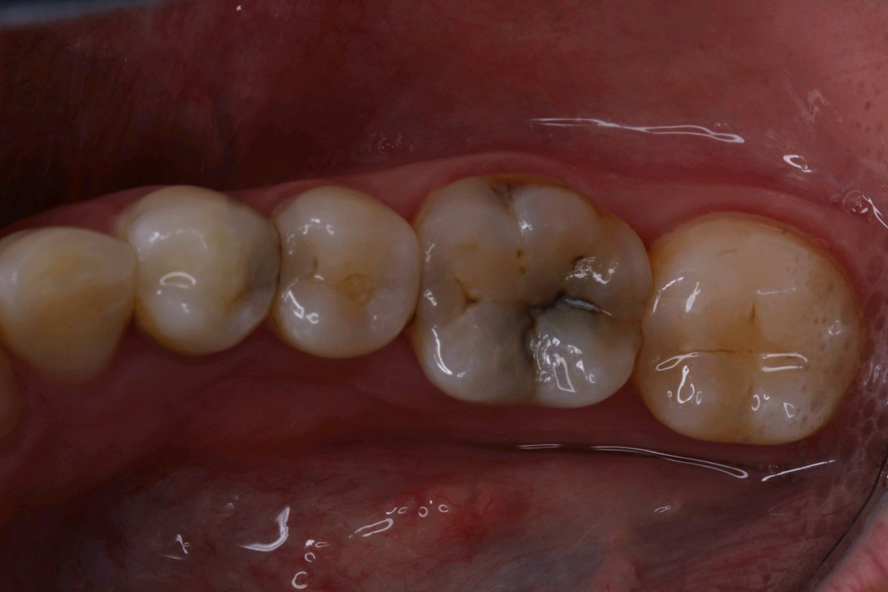
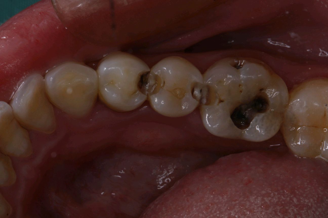
患者女,28岁。主诉左下后牙食物嵌塞。检查发现34、35、36邻面龋坏,色泽发黑,质硬冷测正常,余无特殊。

治疗计划:去腐后嵌体修复+当日佩戴

有时候你以为刷遍了牙齿的每个角落,但可能只刷了一半的牙。刷毛无法有效进入牙缝隙刷牙后仍有食物残渣等残留于牙齿邻面部位导致邻面龋坏。平时不易察觉,需要定期检查,为了更好的恢复邻接关系,预备制作嵌体,更好的恢复了牙体形态,增加了固位力,恢复正常的邻接关系,可以得到更好洁。基牙预备后,通过德国西诺德 CEREC ,当日完成即可佩戴,患者满意。




图片发自160App




图片发自160App


图片发自160App


图片发自160App


图片发自160App


图片发自160App


图片发自160App


图片发自160App


图片发自160App
相关疾病: