今天给大家分享一个单颗后牙种植修复案例。
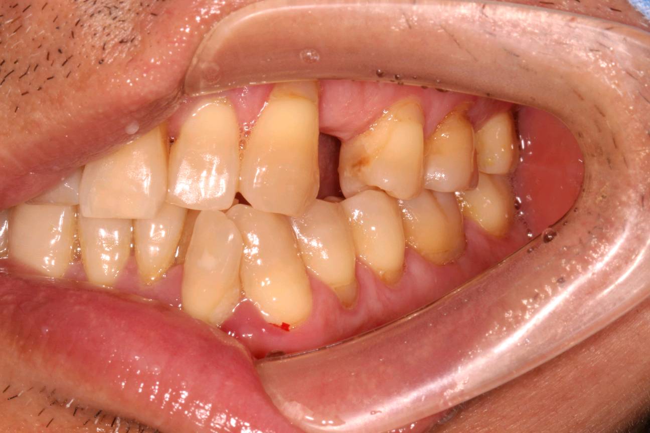
患者男 50 岁,24 缺失,拔牙窝平整,牙龈乳头形态正常,近远中径较宽;唇侧龈缘曲线良好,与邻牙基本协调 。CBCT示:唇侧骨板完整,牙长轴与上颌骨长轴平行。
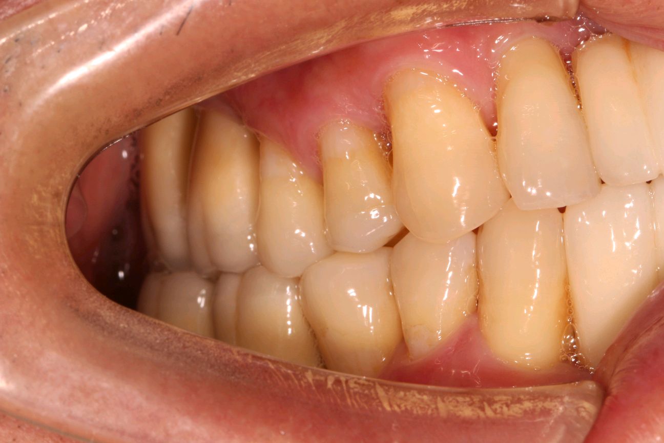
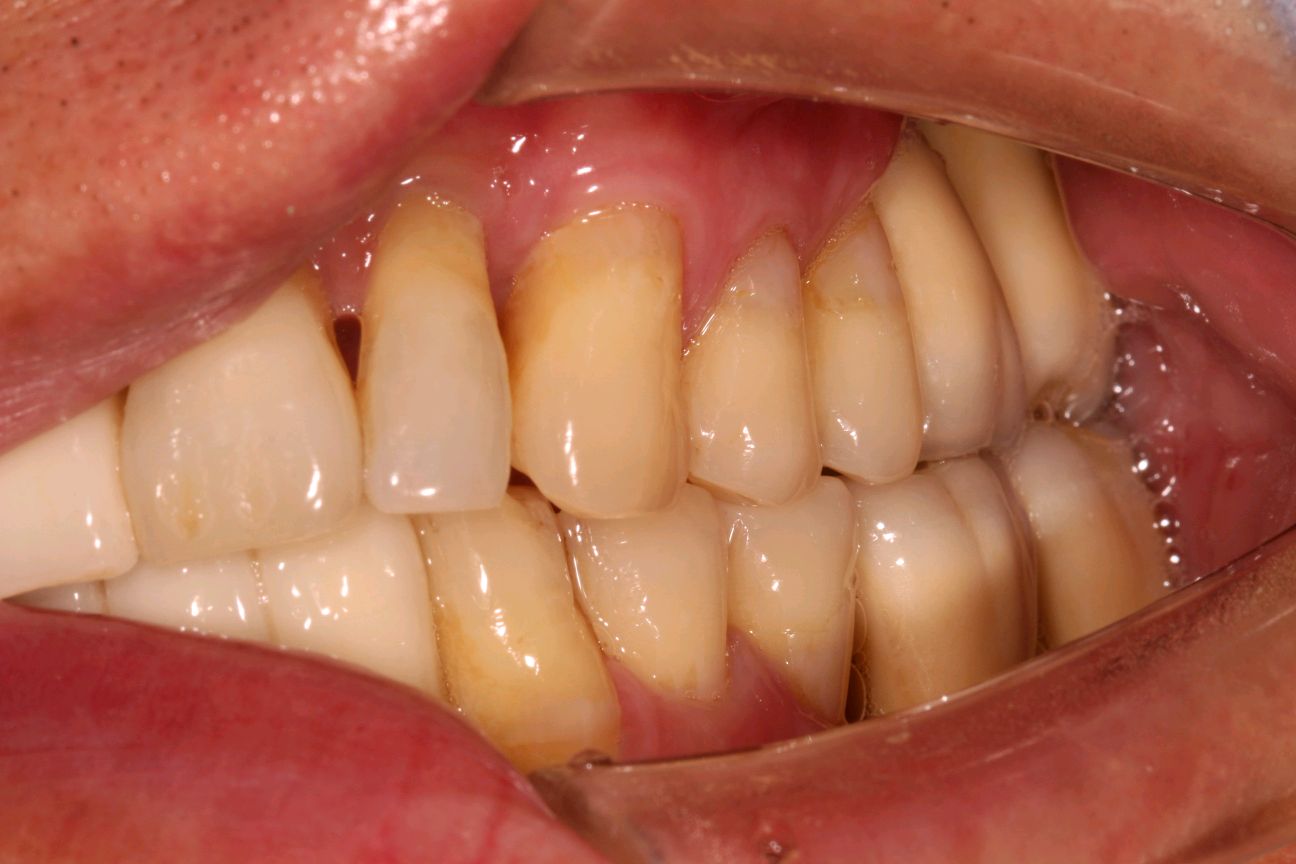
患者要求进行修复,恢复其美观。而种植牙刚好可以满足患者需求。种植牙还可以获得与天然牙功能、结构以及美观十分相似的修复效果。今日如期佩戴牙齿,患者十分满意,重拾自信微笑。
术前


术中全景片

术后修复



每一颗牙齿都是人体的一个器官,每颗牙都有它独特的作用,一口整齐的牙齿,会构成一个动态咬合平衡的状态,当其中一颗牙齿缺失了,短期内看起来并没有什么变化,但若是几个月、几年不修复,相邻的两个牙齿会往缺牙的空隙移动,而对颌牙则会出现牙齿变“长”的情况,继而缺牙周围倾斜移位伸长的牙齿更易滞留食物残渣,牙齿更难清洁干净,就会引起多颗牙齿龋坏。