今天给大家分享一个后牙嵌体即刻修复病例。
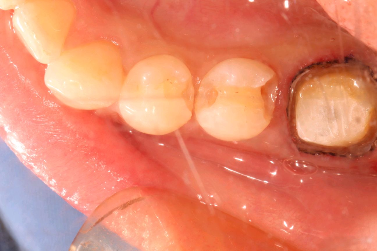
患者中年女性,右下 6 号牙,做的烤瓷冠,牙冠边缘不密合,想换成全瓷冠。右下 4、 5号牙邻接处龋坏,虽然表面没有明显龋坏,但釉质下可见低密度阴影,去龋过程中见釉质下大面积龋坏。由于龋坏面积较大,且位置处在邻接处,传统补牙强度较弱,所以我们建议这位患者采用嵌体修复的方式,一日就诊,一次搞定。
这种邻接龋坏多数是由于进食过后没有用牙线的习惯,食物嵌塞在2颗牙之间导致2颗牙都发生龋坏,卢医生建议大家要有进食过后使用牙线的习惯。定期检查。
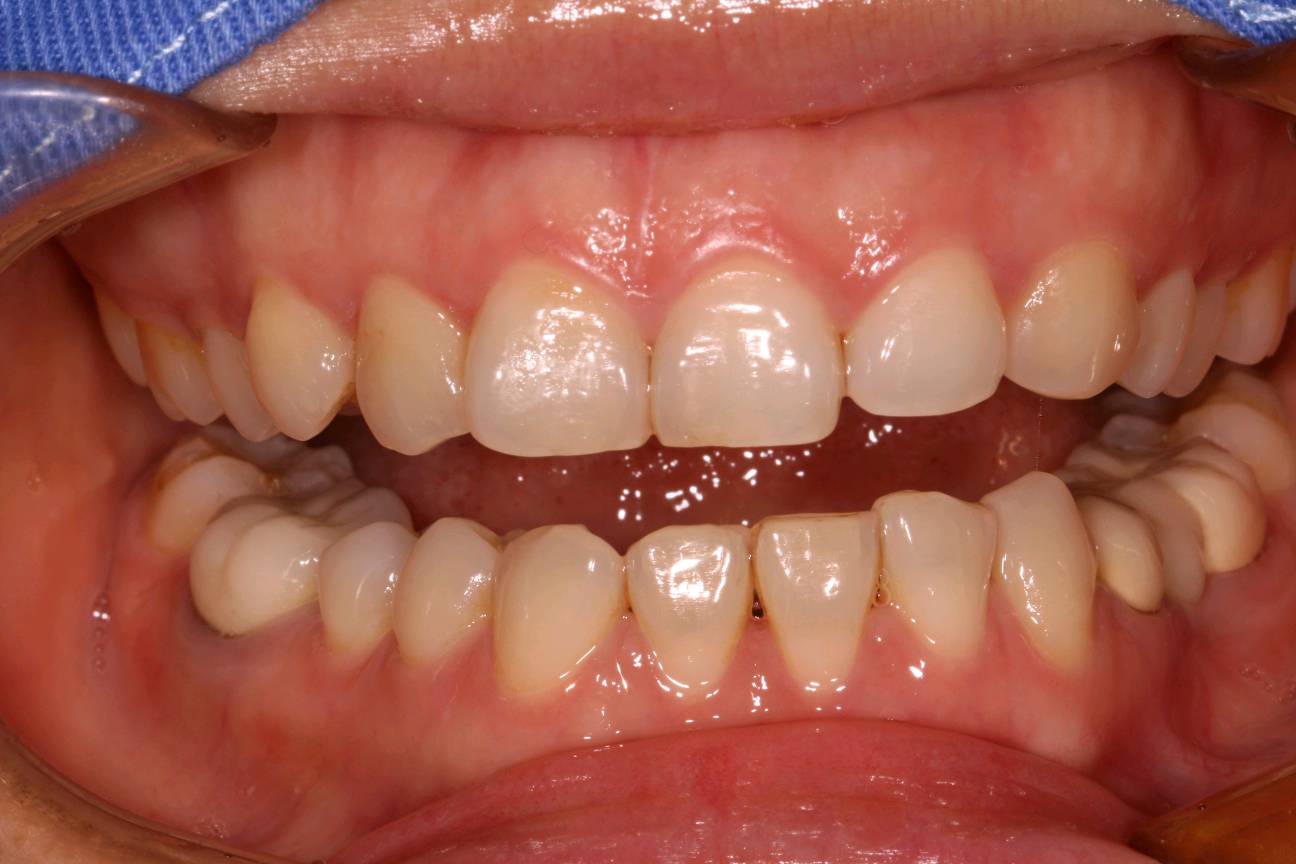
术前



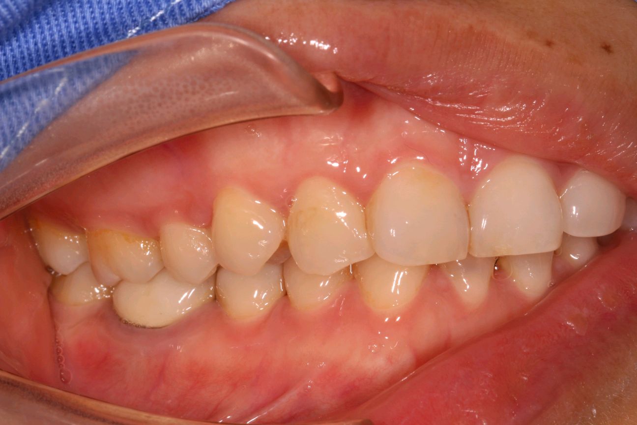
拆除 6 号牙冠后照片

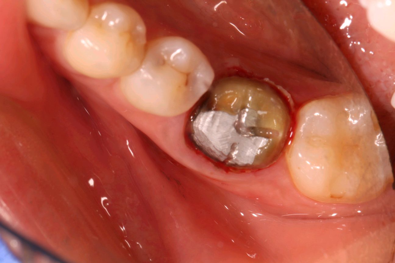
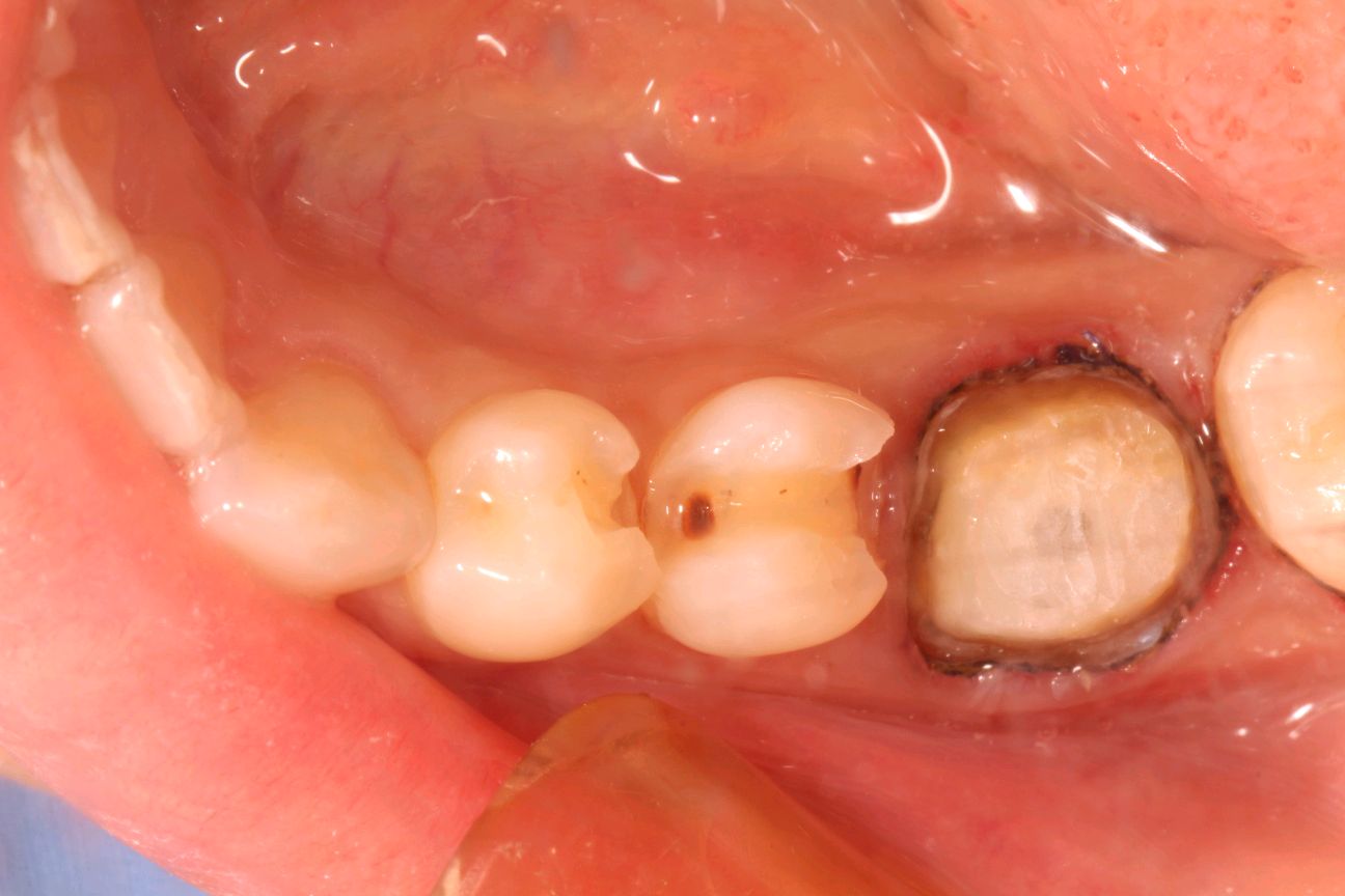
去除 4、5 号牙腐质

完全去尽龋坏后

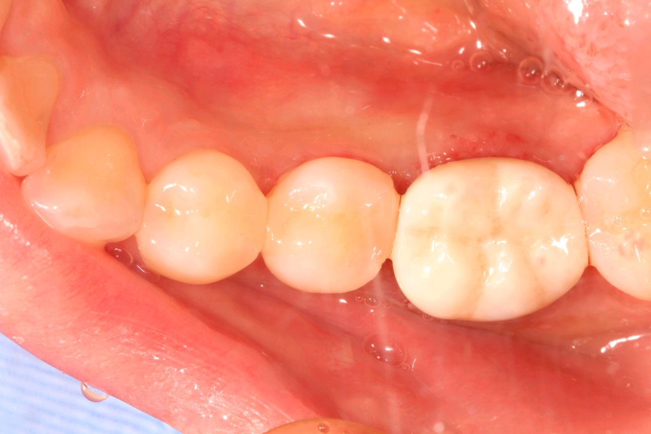
瓷睿刻扫描后,当日完成修复体制作


清洁基牙,75%乙醇溶液消毒基牙和修复体,氢氟酸酸蚀修复体,磷酸酸蚀基牙,隔湿,吹干,用双重固化树脂做永久固定,清理多余粘固材料,固化,调合,抛光。
术后


OHI口腔卫生宣教,刷牙、牙线、间隙刷使用宣教。