孩子的“大牙”上有很多高低不平的窝沟,平时刷牙很难刷干净,这些“卫生死角”容易积聚细菌,久而久之就会形成了蛀牙。
每当听到牙医说要给宝宝的牙齿涂一层奶油的时候,你是否对那一层白白的“奶油”充满了好奇?其实,那就是“窝沟封闭”了。
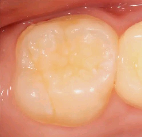
小朋友七岁了。六龄齿已完全萌出,要求预防做窝沟封闭。前来我院就诊。
术前


术后


窝沟封闭只是预防儿童窝沟龋,是一种防龋措施,但并不能一劳永逸,窝沟封闭只针对较深的窝沟,对其他牙面没有保护作用。暴露在口腔的其他牙面还是有可能产生龋齿的,所以正确的刷牙保护口腔卫生还是十分有必要的。