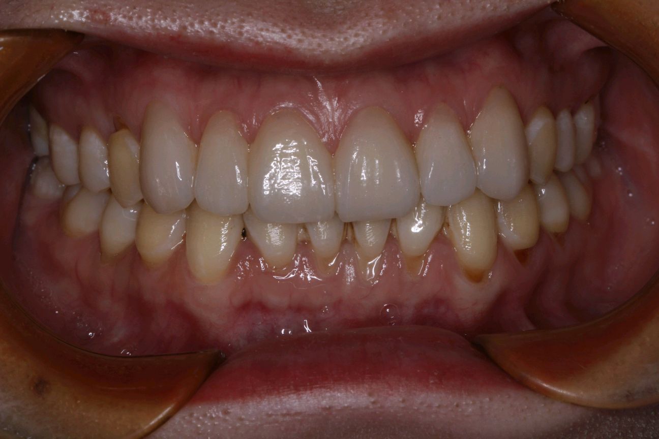
患者女 外院做瓷贴面6颗, 自觉色泽不够白,形态不美观,要求拆除原有瓷贴面后重新制备。听闻本院有饵激光拆除贴面的方法,特意从外地赶来。
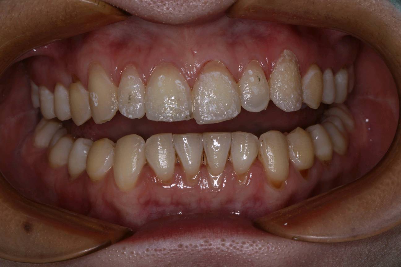
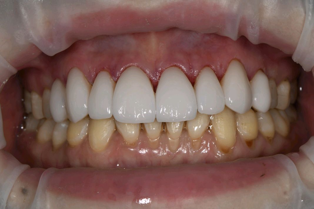
选用饵激光拆除尽量减少基牙损伤。传统的拆除方法像磨牙一样,一颗两颗还行,多颗的话会很辛苦,而且不可避免会磨掉自己的牙齿。拆除不干净等情况。所以相对于传统的拆卸方法,饵激光拆除用时会比较短,患者基本感觉不到疼痛,大大减少了拆除瓷贴面时对牙齿的损伤。无创,无痛,且高效。拆除瓷贴面后,精细的抛光打磨。制备贴面。当天扫描,当天粘接佩戴。患者满意。


术前


术中

术后

