铒激光进行儿童唇系带切除术

卢松林医生 发布于2024-03-16 20:30 阅读量874

本文由卢松林原创

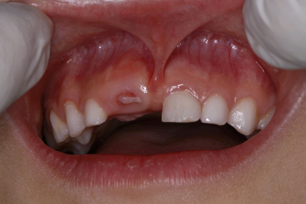
患者女,7 岁。前上唇系带过短,系带的牵拉使门牙缝隙变大。张口时上唇不能上翘,影响正常发音,前来我院就诊。

治疗方案:唇系带切除术。

相比较于采用传统手术刀进行系带切除,饵激光进行系带切除。手术过程中出血少、时间短。全程无痛,小朋友配合程度高。术后恢复快,能正常发音。

术前


图片发自160App

术中


图片发自160App


图片发自160App




图片发自160App

看看后期的恢复如何,感谢患者家属的信任和支持!

相关疾病: