烤瓷冠 更换 全瓷冠 修复案例

卢松林医生 发布于2024-03-15 11:11 阅读量1216

本文由卢松林原创

牙齿问题:患者之前在外院做的右下第一磨牙烤瓷牙冠,原烤瓷牙冠颜色苍白虚假,不美观,且金属内冠导致牙龈边缘开始发黑。

患者主诉:拆除烤瓷牙冠,换成全瓷牙冠修复,要求舒适美观。

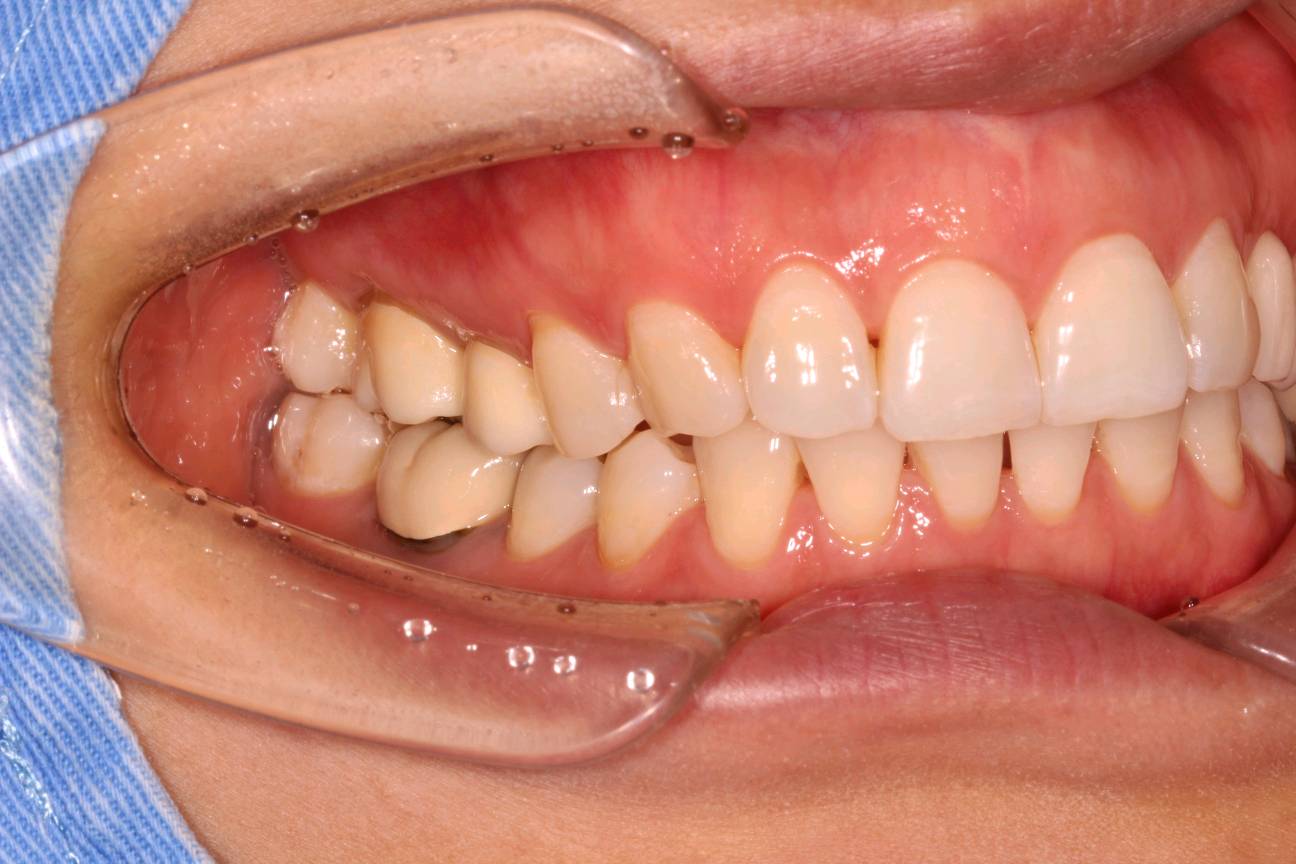
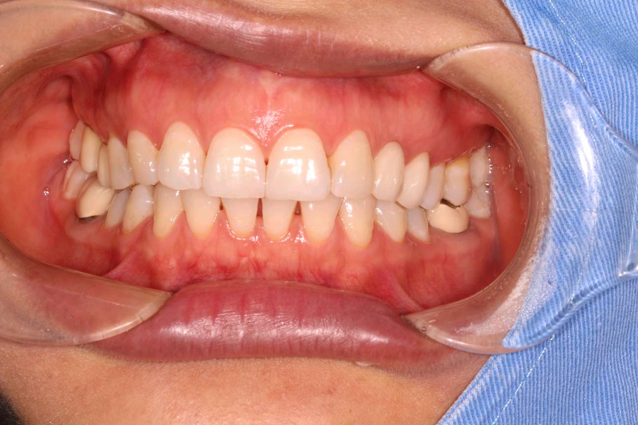
术前检查


图片发自160App


图片发自160App




图片发自160App

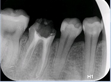
术中拆冠后



图片发自160App

进行 46 牙 纤维桩植入,45 牙旧充填物去除


图片发自160App

基牙预备,排龈,精修,瓷睿刻扫描,比色。


图片发自160App

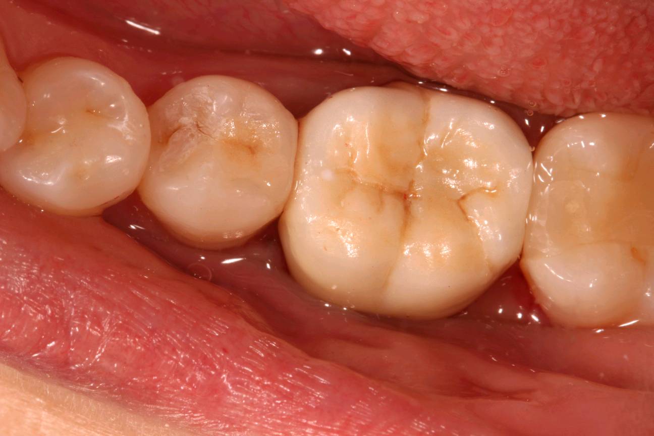
术后


图片发自160App




图片发自160App

修复效果:45 嵌体 、46牙 全瓷牙冠 修复 通透度极佳,色泽与患者真牙高度贴近,无异物感,患者非常满意。交代注意事项,常规医嘱。按时复诊,不适随诊。

相关疾病: