贴面修复案例

卢松林医生 发布于2024-03-15 10:52 阅读量786

本文由卢松林原创

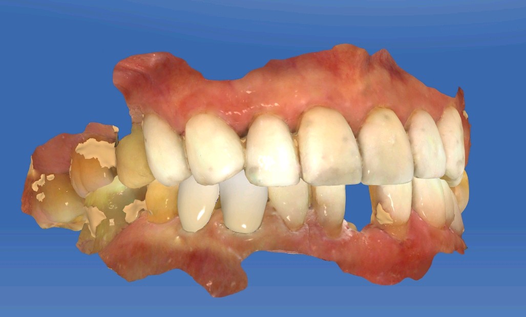
患者女,三十岁 ,在外院进行了贴面修复,43、44贴面脱落,自觉影响自身形象,要求贴面修复。在尽量少磨牙的情况下,通过粘接技术,覆盖牙齿表面,恢复牙齿形态和色泽。很好的保护了天然牙。

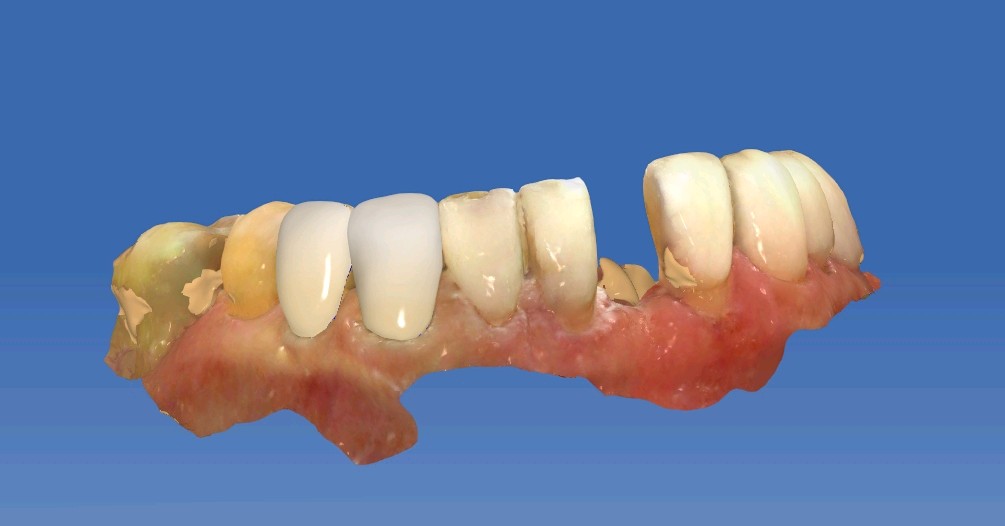
最后运用瓷睿刻修复技术进行口腔扫描,当天即可佩戴。使得牙齿色泽与原有贴面接近,牙齿的形态色泽间隙自然流畅。通过贴面的修复,使患者可以恰如其分的展露自然的微笑。


图片发自160App




图片发自160App


图片发自160App

术前


图片发自160App

术后


图片发自160App
相关疾病: