今天给大家分享一个后牙的根管治疗。
患者中年男性,左上 7 号牙周病引起的逆行性牙髓炎,牙齿松动 II 度。
向患者交代病情、治疗计划、费用、预后等。患者知情并同意选择的治疗方案为:
完善根管治疗后+冠修复。
根管治疗是目前治疗牙髓病和根尖周病最有效、最常用的手段,它通过清除根管内的炎症牙髓和坏死物质,并进行适当消毒,充填根管,以达到控制感染、修复缺损、防止发生根尖周病变或促进根尖周病变的愈合的目的。避免了拔牙,最大程度的保留了我们的自然牙,制止了牙疼。
术前


术中拔出的完整“牙神经”(牙髓)

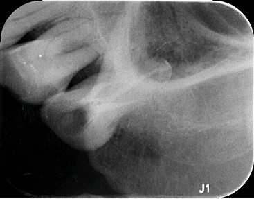
试尖片

术后根充片

期待后期的冠修复治疗!