邻面龋坏嵌体修复瓷睿刻数字化扫描当天佩戴案例

卢松林医生 发布于2024-03-13 20:26 阅读量660

本文由卢松林原创

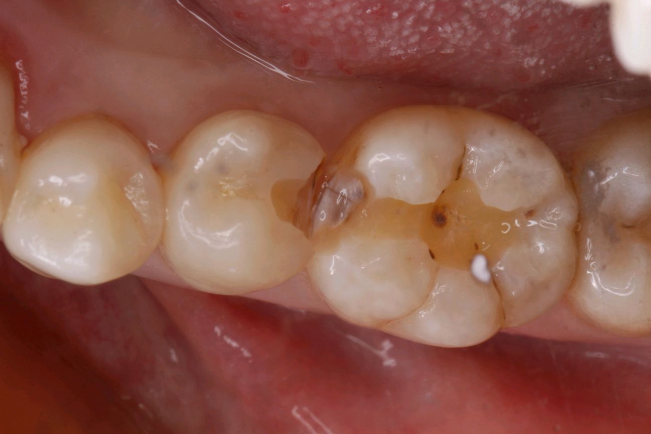
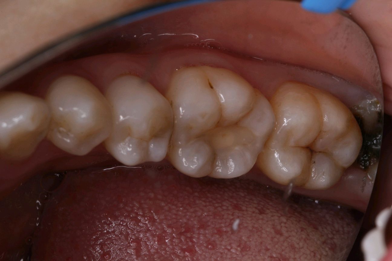
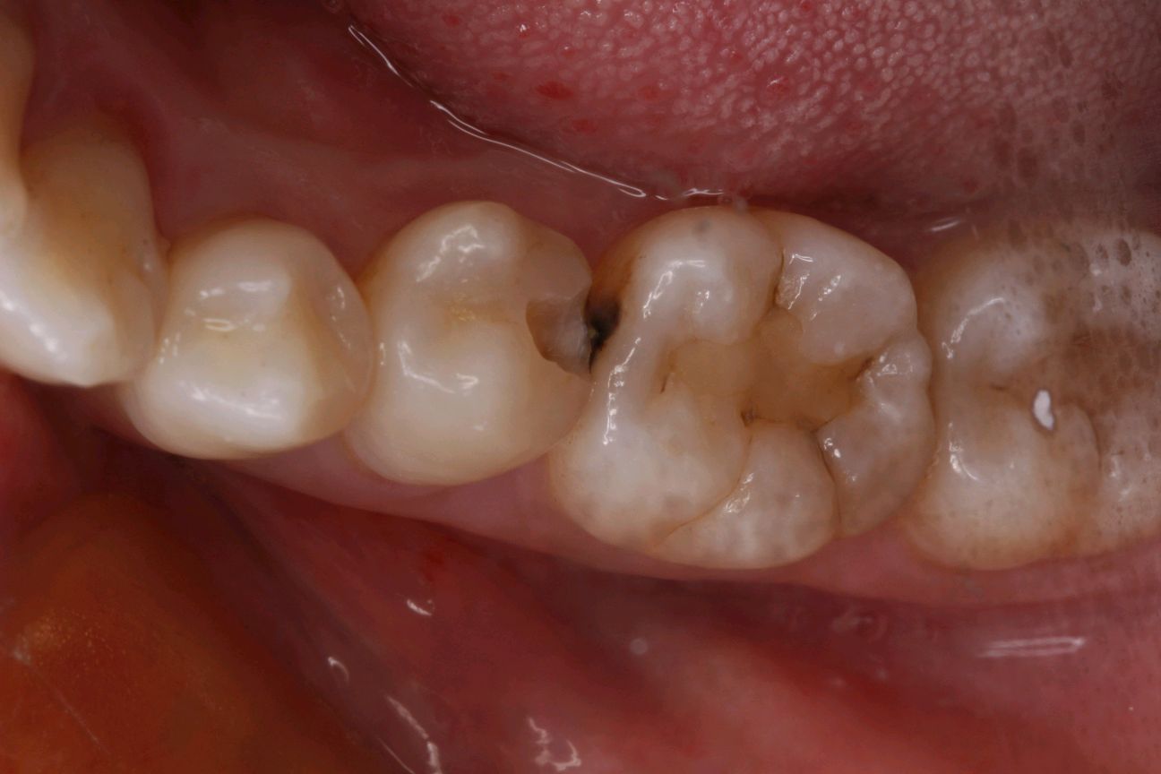
患者女三十岁,后牙邻面龋坏,去腐后牙体缺损较多,建议嵌体修复。告知患者治疗计划,患者自愿选择西诺德嵌体修复。随着口腔医学的迅速发展,嵌体以磨除牙体组织少、机械性能好、边缘密合性好、可高度抛光等良好性能,越来越多的被人们所接受。去腐备洞后,当天即可戴牙,大大提高了工作效率。


图片发自160App


图片发自160App

术前


图片发自160App

术中


图片发自160App


图片发自160App

术后


图片发自160App
相关疾病: