嵌体修复瓷睿刻当日修复佩戴案例

卢松林医生 发布于2024-03-10 19:19 阅读量562

本文由卢松林原创

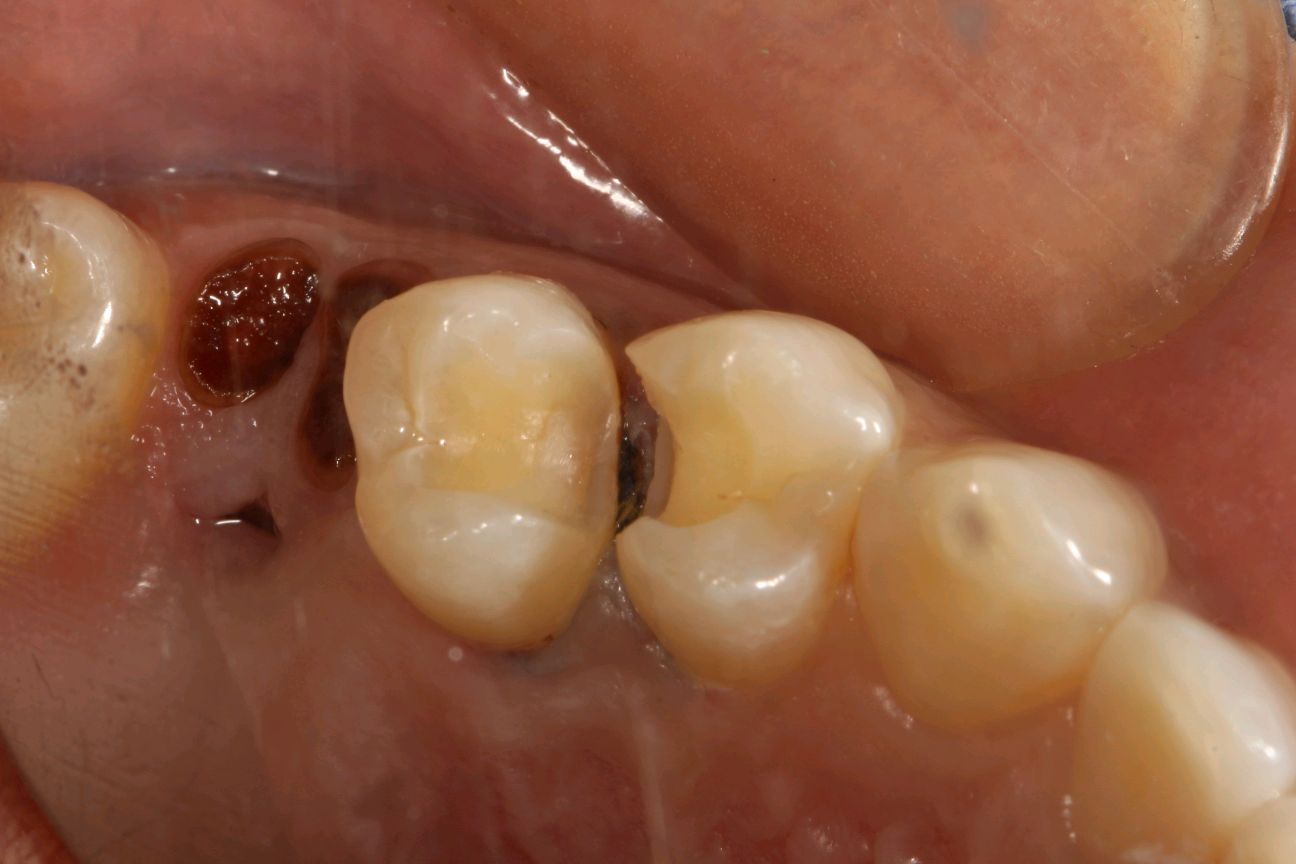
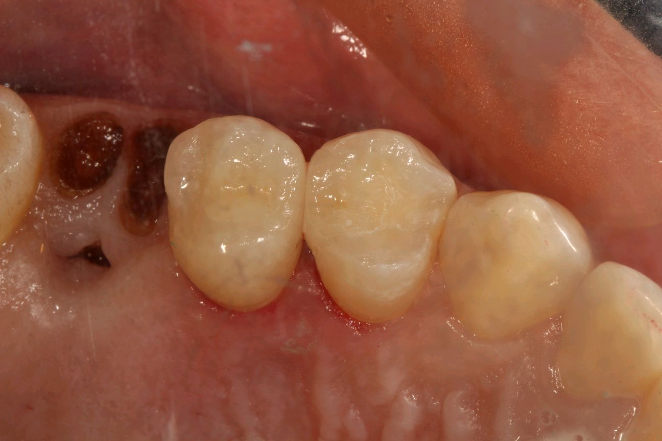
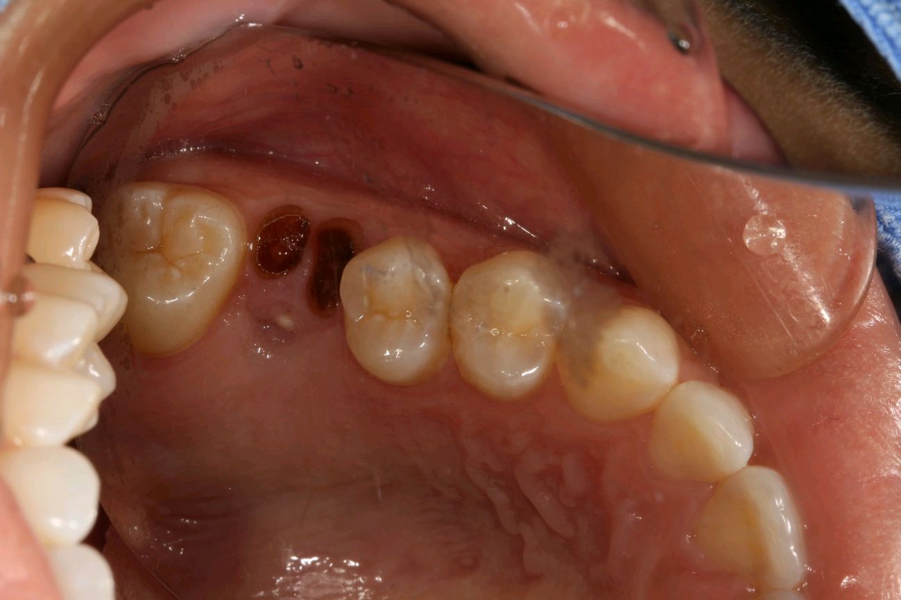
患者女,34岁,24、25邻面龋坏。经患者同意去腐备洞行嵌体修复。后通过德国 CEREC 技术扫描后,数据分析精准有效,"量身定做"专属于自己的修复体。患者当天即可配戴,既保证了边缘的密合性,还确保了色泽和形态的美观。患者不会有很强的异物感和咬合的不适。大大提高了工作的效率,也节省了患者的时间。


图片发自160App


图片发自160App


图片发自160App




图片发自160App

术前


图片发自160App

术中


图片发自160App


图片发自160App


图片发自160App

术后



相关疾病: