磨损与磨耗的区别,很多人其实常常分不清楚,甚至在许多文章里里都能看到二者混为一谈,虽然二者之间是有相关联系,但磨损和磨耗的定义,同中存异。
牙齿磨损是指主要由机械摩擦作用造成的牙体硬组织渐进性丧失,如夜磨牙症,酸蚀症等都会导致牙齿磨损的发生。
牙齿磨耗是指在正常生理咀嚼过程中,随年龄的增长,牙齿咬合面和邻面由于咀嚼作用而发生的均衡的生理性的硬组织丧失。
所以这两者的不同在于其,一个是病理性的,一个是生理性的,一个是由其他机械摩擦造成的,一个是发生在正常咀嚼过程中,所以我们又将磨耗称为咀嚼磨损或者生理性磨损。
后牙重度磨损、能够维持咬合垂直距离,患者有足够的后牙支持,修复后可以建立稳定的正中颌位关系,上、下颌牙均可以磨出适当间隙容纳修复材料时----可以对磨损的牙齿进行全冠修复。
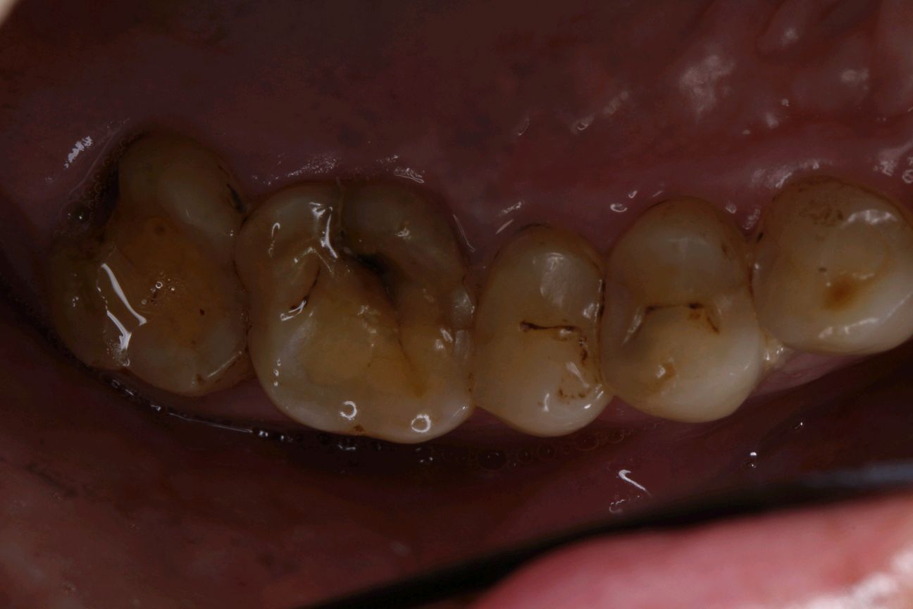
患者男,58岁。多年来感觉后牙咬合刺激痛,吃东西时咀嚼咬不烂,有时牙齿冷热刺激敏感,影响咀嚼,现来我院就诊。
术前照片

术后照片
