随着口腔医学技术的发展,社会经济水平的提高,人们对美观和生活质量的要求达到了新高度,种植牙越来越受到缺牙患者的欢迎。前牙与我们的形象和发音功能息息相关,对于前牙缺失的患者,他们不仅仅只期望于种植修复体长期稳定地发挥咀嚼功能,更要求恢复美观。
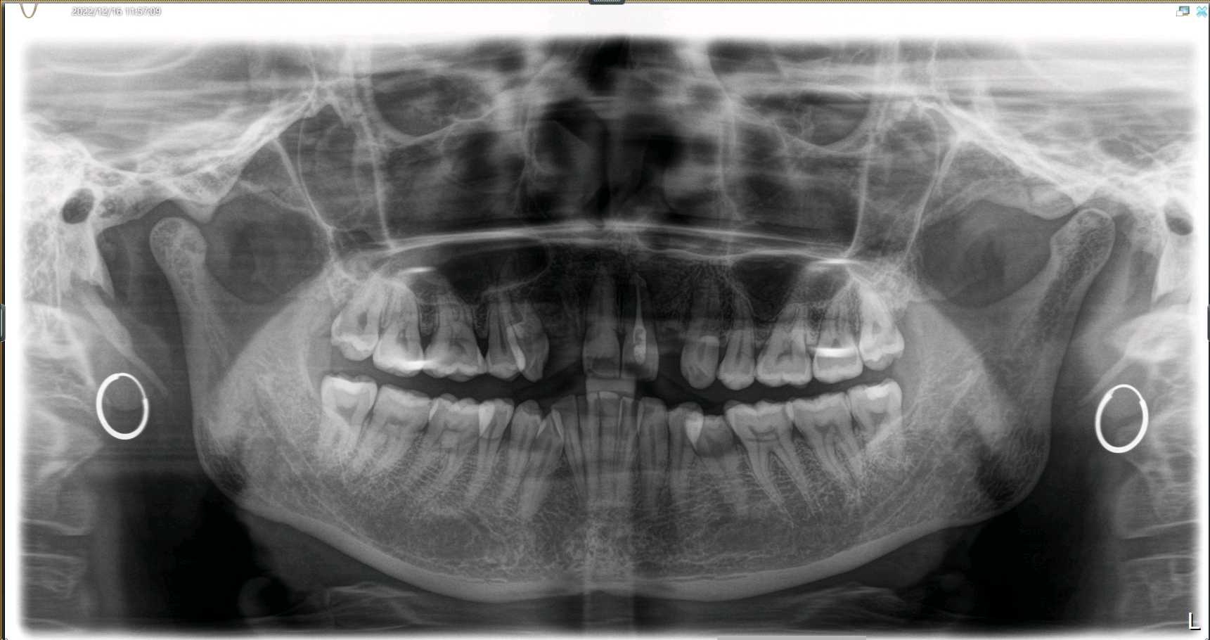
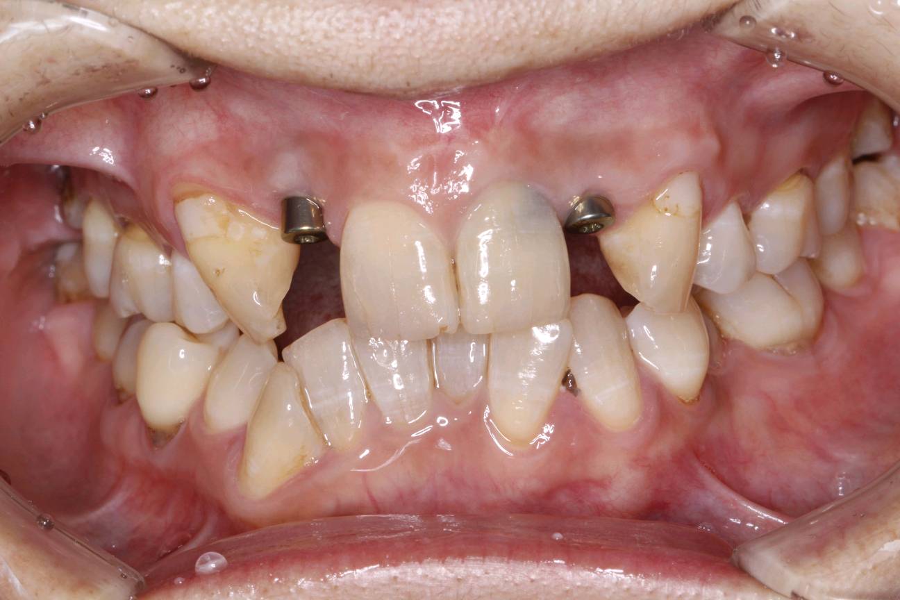
患者女40岁,12、22缺失,拔牙窝凹陷,牙龈乳头形态正常,近远中径较宽;唇侧龈缘曲线良好,与邻牙基本协调 。CBCT示:唇侧骨板不完整,牙长轴与上颌骨长轴平行。
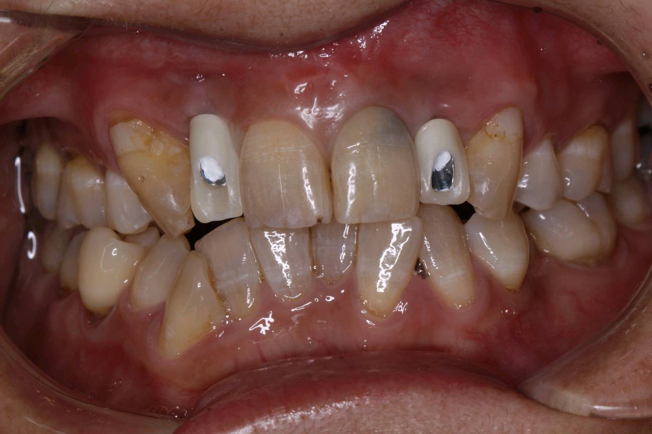
患者要求进行修复,恢复其美观行。而种植牙刚好可以满足患者需求。种植牙还可以获得与天然牙功能、结构以及美观十分相似的修复效果。今日如期佩戴牙齿,患者十分满意,重拾自信微笑。
最后,温馨提醒广大患者朋友们要爱护种植牙,每日保持口腔的清洁卫生,勤刷牙漱口,这也有助于保持种植体的长期修复效果,面对美味佳肴更能嚼得动、吃得香!
自信笑容。


术前

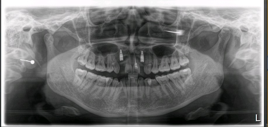
术中




术后
