完善根管治疗后,瓷睿刻高嵌体当日修复完成病例分享

卢松林医生 发布于2024-03-06 17:43 阅读量545

本文由卢松林原创

患者中年女性,右下5号牙 龋坏引起牙髓炎,在进行妥善的根管治疗后,由于缺损面积较大,植入纤维桩*1根,牙体预备精修,德国瓷睿刻 CEREC椅旁扫描切割系统制作高嵌体,可当日完成,较传统取模舒适,又节省的就诊次数和时间。

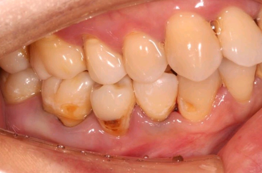
术前


图片发自160App


图片发自160App

进行妥善的根管治疗后,植入纤维桩照片如下️:


图片发自160App

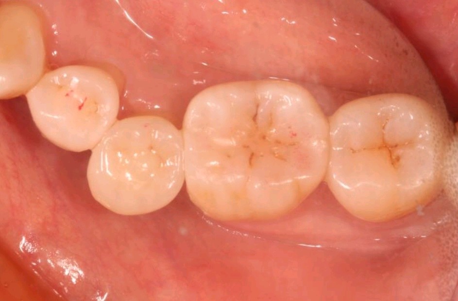
术后


图片发自160App

如果牙齿有问题一定要及时就医,不然越拖越恼火才真的要遭痛惨!

相关疾病: