烤瓷牙和全瓷牙,因这一字之差,很多人经常把它们两搞混,傻傻分不清哪个是哪个。其实,他们两者的分辨点很明显,而且对于想要做烤瓷牙或全瓷牙的朋友来说,了解清楚它们两者的区别真的很重要。
烤瓷牙主要材料是金属、贵金属外面覆盖瓷质,可以模拟天然牙齿的颜色和透明度,它主要优势是经济实用。缺点是时间长了金属容易氧化,引起牙龈龈缘有黑线。
全瓷冠优点是自然、通透性、色泽好,美观、效果佳,材料主要为氧化锆,它坚固、耐用,生物相容性好,对人体无害。缺点是价格相对较高。
从效果来说,烤瓷牙和全瓷牙都能达到恢复口腔咀嚼功能的目的。但烤瓷牙硬度会比全瓷牙大,正因为硬度大,质地比较脆,如果受到过大压力很容易崩瓷。该患者就是因为原有的烤瓷牙崩瓷才进行的二次修复。全瓷牙比烤瓷牙质地稍软,但是具有良好的韧性及抗折强度,不易发生断裂以及折断。
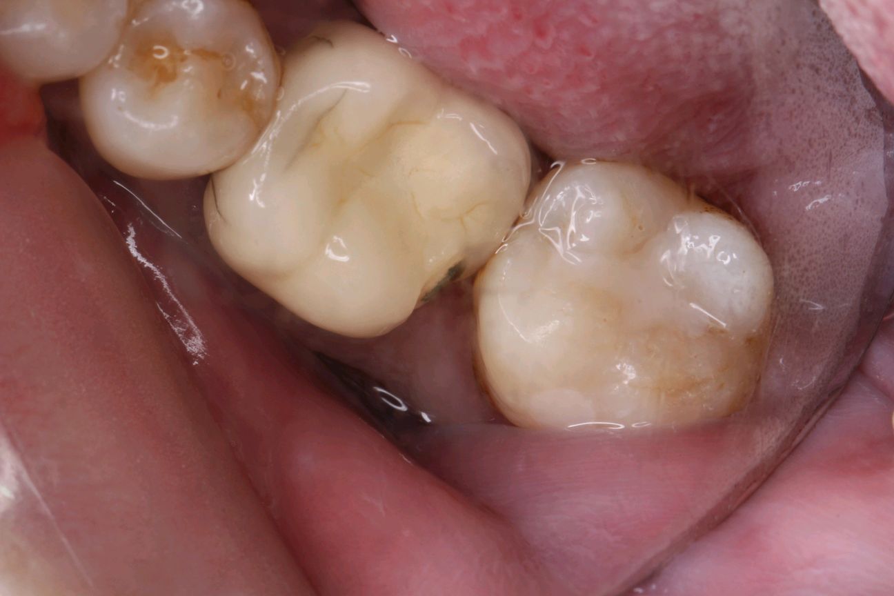
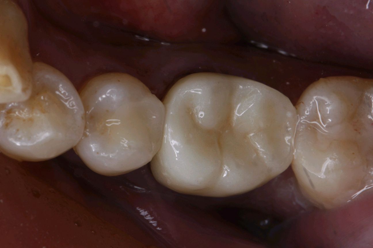
该患者46已行根管治疗,X线示根管恰填,根尖无阴影。远中崩瓷金属暴露,龈缘有黑线。拆除原有烤瓷牙冠,重新预备,通过德国西诺德 CEREC进行数字化口腔扫描 ,当日完成即可佩戴,患者满意。


术前

术中


术后
